Mouse Monoclonal Antibody to CD22
货号:
30550
别名:
SIGLEC2; SIGLEC-2
应用:
WB,IHC,IF,FCM
反应种属:
Human
抗体类型:
Primary antibody
Swissprot:
P20273
规格:
目录价
在线咨询
Description |
|---|
CD22 may be involved in the localization of B-cells in lymphoid tissues. Binds sialylated glycoproteins; one of which is CD45. Preferentially binds to alpha-2,6-linked sialic acid. The sialic acid recognition site can be masked by cis interactions with sialic acids on the same cell surface. Upon ligand induced tyrosine phosphorylation in the immune response seems to be involved in regulation of B-cell antigen receptor signaling. Plays a role in positive regulation through interaction with Src family tyrosine kinases and may also act as an inhibitory receptor by recruiting cytoplasmic phosphatases via their SH2 domains that block signal transduction through dephosphorylation of signaling molecules |
References |
|---|
| 1. Cancer Res. 2012 Nov 1;72(21):5556-65. 2. J Innate Immun. 2011;3(4):411-9. |
Specification |
|
|---|---|
| Aliases | SIGLEC2; SIGLEC-2 |
| Entrez GeneID | 933 |
| Swissprot | P20273 |
| clone | 2H1C4 |
| WB Predicted band size | 95.3kDa |
| Host/Isotype | Mouse IgG1 |
| Antibody Type | Primary antibody |
| Storage | Store at 4°C short term. Aliquot and store at -20°C long term. Avoid freeze/thaw cycles. |
| Species Reactivity | Human |
| Immunogen | Purified recombinant fragment of human CD22 (AA: 621-725) expressed in E. Coli. |
| Formulation | Purified antibody in PBS with 0.05% sodium azide |
Application |
|
|---|---|
| WB | 1/500 - 1/2000 |
| IHC | 1/200 - 1/1000 |
| IF | 1/50 - 1/200 |
| FCM | 1/200 - 1/400 |
| ELISA | 1/10000 |
Product Image
-
Black line: Control Antigen (100 ng); Purple line: Antigen(10ng); Blue line: Antigen (50 ng); Red line: Antigen (100 ng);

-
Western blot analysis using CD22 mouse mAb against L1210 (1), Hela (2), HEK293 (3), Jurkat (4), OCM-1 (5), A432 (6) and NIH/3T3 (7) cell lysate.

-
Immunofluorescence analysis of Hela cells using CD22 mouse mAb (green). Blue: DRAQ5 fluorescent DNA dye. Red: Actin filaments have been labeled with Alexa Fluor-555 phalloidin.

-
Flow cytometric analysis of Hela cells using CD22 mouse mAb (green) and negative control (red).

-
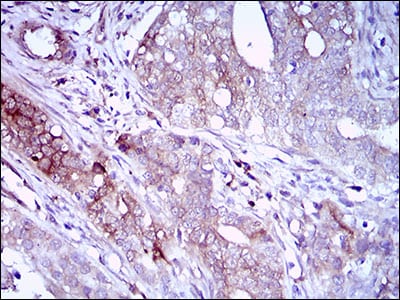
Immunohistochemical analysis of paraffin-embedded human cervical cancer tissues using CD22 mouse mAb with DAB staining.

-
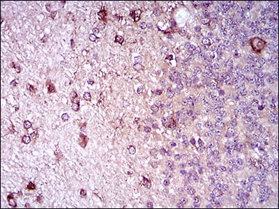
Immunohistochemical analysis of paraffin-embedded human cerebellum tissues using CD22 mouse mAb with DAB staining.







鄂公网安备42018502007531号

