Mouse Monoclonal Antibody to SYCP3
货号:
30553
别名:
COR1; SCP3; SPGF4
应用:
IHC,IF,FCM
反应种属:
Human
抗体类型:
Primary antibody
Swissprot:
Q8IZU3
规格:
目录价
在线咨询
Description |
|---|
This gene encodes an essential structural component of the synaptonemal complex. This complex is involved in synapsis, recombination and segregation of meiotic chromosomes. Mutations in this gene are associated with azoospermia in males and susceptibility to pregnancy loss in females. Alternate splicing results in multiple transcript variants that encode the same protein. |
References |
|---|
| 1. Hum Pathol. 2013 Apr;44(4):472-9. 2. Cytogenet Genome Res. 2010;128(1-3):162-8. |
Specification |
|
|---|---|
| Aliases | COR1; SCP3; SPGF4 |
| Entrez GeneID | 50511 |
| Swissprot | Q8IZU3 |
| clone | 6F9B6 |
| WB Predicted band size | 27.7kDa |
| Host/Isotype | Mouse IgG1 |
| Antibody Type | Primary antibody |
| Storage | Store at 4°C short term. Aliquot and store at -20°C long term. Avoid freeze/thaw cycles. |
| Species Reactivity | Human |
| Immunogen | Purified recombinant fragment of human SYCP3 (AA: 27-128) expressed in E. Coli. |
| Formulation | Purified antibody in PBS with 0.05% sodium azide |
Application |
|
|---|---|
| IHC | 1/200 - 1/1000 |
| IF | 1/200 - 1/1000 |
| FCM | 1/200 - 1/400 |
| ELISA | 1/10000 |
Product Image
-
Black line: Control Antigen (100 ng); Purple line: Antigen(10ng); Blue line: Antigen (50 ng); Red line: Antigen (100 ng);

-
Immunofluorescence analysis of HepG2 cells using SYCP3 mouse mAb (green). Blue: DRAQ5 fluorescent DNA dye. Red: Actin filaments have been labeled with Alexa Fluor-555 phalloidin.

-
Flow cytometric analysis of Jurkat cells using SYCP3 mouse mAb (green) and negative control (red).

-
Immunohistochemical analysis of paraffin-embedded human endometrial cancer tissues using SYCP3 mouse mAb with DAB staining.

-
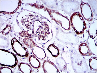
Immunohistochemical analysis of paraffin-embedded human kidney tissues using SYCP3 mouse mAb with DAB staining.






鄂公网安备42018502007531号

