Mouse Monoclonal Antibody to SERPINA7
货号:
30556
别名:
TBG
应用:
IHC,IF,FCM
反应种属:
Human
抗体类型:
Primary antibody
Swissprot:
P05543
规格:
目录价
在线咨询
Description |
|---|
There are three proteins including thyroxine-binding globulin (TBG), transthyretin and albumin responsible for carrying the thyroid hormones thyroxine (T4) and 3,5,3'-triiodothyronine (T3) in the bloodstream. This gene encodes the major thyroid hormone transport protein, TBG, in serum. It belongs to the serpin family in genomics, but the protein has no inhibitory function like many other members of the serpin family. Mutations in this gene result in TGB deficiency, which has been classified as partial deficiency, complete deficiency, and excess, based on the level of serum TBG. Alternatively spliced transcript variants encoding different isoforms have been found, but the full-length nature of these variants has not been determined. |
References |
|---|
| 1. Gene. 2012 Sep 15;506(2):289-94. 2. Endocr Regul. 2010 Apr;44(2):43-7. |
Specification |
|
|---|---|
| Aliases | TBG |
| Entrez GeneID | 6906 |
| Swissprot | P05543 |
| clone | 5B11E9 |
| WB Predicted band size | 46.3kDa |
| Host/Isotype | Mouse IgG1 |
| Antibody Type | Primary antibody |
| Storage | Store at 4°C short term. Aliquot and store at -20°C long term. Avoid freeze/thaw cycles. |
| Species Reactivity | Human |
| Immunogen | Purified recombinant fragment of human SERPINA7 (AA: 168-302) expressed in E. Coli. |
| Formulation | Purified antibody in PBS with 0.05% sodium azide |
Application |
|
|---|---|
| IHC | 1/200 - 1/1000 |
| IF | 1/200 - 1/1000 |
| FCM | 1/200 - 1/400 |
| ELISA | 1/10000 |
Product Image
-
Black line: Control Antigen (100 ng); Purple line: Antigen(10ng); Blue line: Antigen (50 ng); Red line: Antigen (100 ng);

-
Immunofluorescence analysis of A431 cells using SERPINA7 mouse mAb (green). Blue: DRAQ5 fluorescent DNA dye.

-
Flow cytometric analysis of A431 cells using SERPINA7 mouse mAb (green) and negative control (red).

-
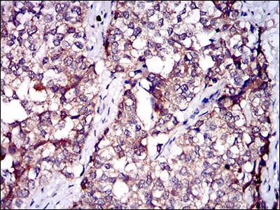
Immunohistochemical analysis of paraffin-embedded human liver cancer tissues using SERPINA7 mouse mAb with DAB staining.

-
Immunohistochemical analysis of paraffin-embedded human bladder cancer tissues using SERPINA7 mouse mAb with DAB staining.






鄂公网安备42018502007531号

