Mouse Monoclonal Antibody to DIS3L2
货号:
30562
别名:
FAM6A; PRLMNS
应用:
WB,IHC,FCM
反应种属:
Human
抗体类型:
Primary antibody
Swissprot:
Q8IYB7
规格:
目录价
在线咨询
Description |
|---|
The protein encoded by this gene is similar in sequence to 3'/5' exonucleolytic subunits of the RNA exosome. The exosome is a large multimeric ribonucleotide complex responsible for degrading various RNA substrates. Several transcript variants, some protein-coding and some not, have been found for this gene. |
References |
|---|
| 1. Nat Rev Mol Cell Biol. 2013 Jun;14(6):328. 2. Nat Genet. 2012 Feb 5;44(3):277-84. |
Specification |
|
|---|---|
| Aliases | FAM6A; PRLMNS |
| Entrez GeneID | 129563 |
| Swissprot | Q8IYB7 |
| clone | 6C7B2 |
| WB Predicted band size | 99.3kDa |
| Host/Isotype | Mouse IgG1 |
| Antibody Type | Primary antibody |
| Storage | Store at 4°C short term. Aliquot and store at -20°C long term. Avoid freeze/thaw cycles. |
| Species Reactivity | Human |
| Immunogen | Purified recombinant fragment of human DIS3L2 (AA: 27-250) expressed in E. Coli. |
| Formulation | Purified antibody in PBS with 0.05% sodium azide |
Application |
|
|---|---|
| WB | 1/500 - 1/2000 |
| IHC | 1/200 - 1/1000 |
| FCM | 1/200 - 1/400 |
| ELISA | 1/10000 |
Product Image
-
Black line: Control Antigen (100 ng); Purple line: Antigen(10ng); Blue line: Antigen (50 ng); Red line: Antigen (100 ng);

-
Western blot analysis using DIS3L2 mouse mAb against Hela (1) and HepG2 (2) cell lysate.

-
Flow cytometric analysis of Jurkat cells using DIS3L2 mouse mAb (green) and negative control (red).

-
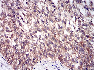
Immunohistochemical analysis of paraffin-embedded human endometrial cancer tissues using DIS3L2 mouse mAb with DAB staining.

-
Immunohistochemical analysis of paraffin-embedded human bladder cancer tissues using DIS3L2 mouse mAb with DAB staining.






鄂公网安备42018502007531号

