Mouse Monoclonal Antibody to THY1
货号:
30546
别名:
CD90
应用:
WB,IHC,IF
反应种属:
Human,Rat
抗体类型:
Primary antibody
Swissprot:
P04216
规格:
目录价
在线咨询
Description |
|---|
THY1 may play a role in cell-cell or cell-ligand interactions during synaptogenesis and other events in the brain |
References |
|---|
| 1. Acta Histochem. 2011 Dec;113(8):833-8. 2. J Immunol. 2012 Feb 1;188(3):981-91. |
Specification |
|
|---|---|
| Aliases | CD90 |
| Entrez GeneID | 7070 |
| Swissprot | P04216 |
| clone | 7E1B11 |
| WB Predicted band size | 18kDa |
| Host/Isotype | Mouse IgG1 |
| Antibody Type | Primary antibody |
| Storage | Store at 4°C short term. Aliquot and store at -20°C long term. Avoid freeze/thaw cycles. |
| Species Reactivity | Human,Rat |
| Immunogen | Purified recombinant fragment of human THY1 (AA: 17-132) expressed in E. Coli. |
| Formulation | Purified antibody in PBS with 0.05% sodium azide |
Application |
|
|---|---|
| WB | 1/500 - 1/2000 |
| IHC | 1/200 - 1/1000 |
| IF | 1/200 - 1/1000 |
| ELISA | 1/10000 |
Product Image
-
Black line: Control Antigen (100 ng); Purple line: Antigen(10ng); Blue line: Antigen (50 ng); Red line: Antigen (100 ng);

-
Western blot analysis using THY1 mouse mAb against T47D (1), HepG2 (2) and PC-12 (3) cell lysate.

-
Immunofluorescence analysis of Hela cells using THY1 mouse mAb (green). Blue: DRAQ5 fluorescent DNA dye. Red: Actin filaments have been labeled with Alexa Fluor-555 phalloidin.

-
Immunohistochemical analysis of paraffin-embedded human endometrial cancer tissues using THY1 mouse mAb with DAB staining.

-
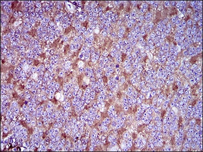
Immunohistochemical analysis of paraffin-embedded human cerebellum tissues using THY1 mouse mAb with DAB staining.

-
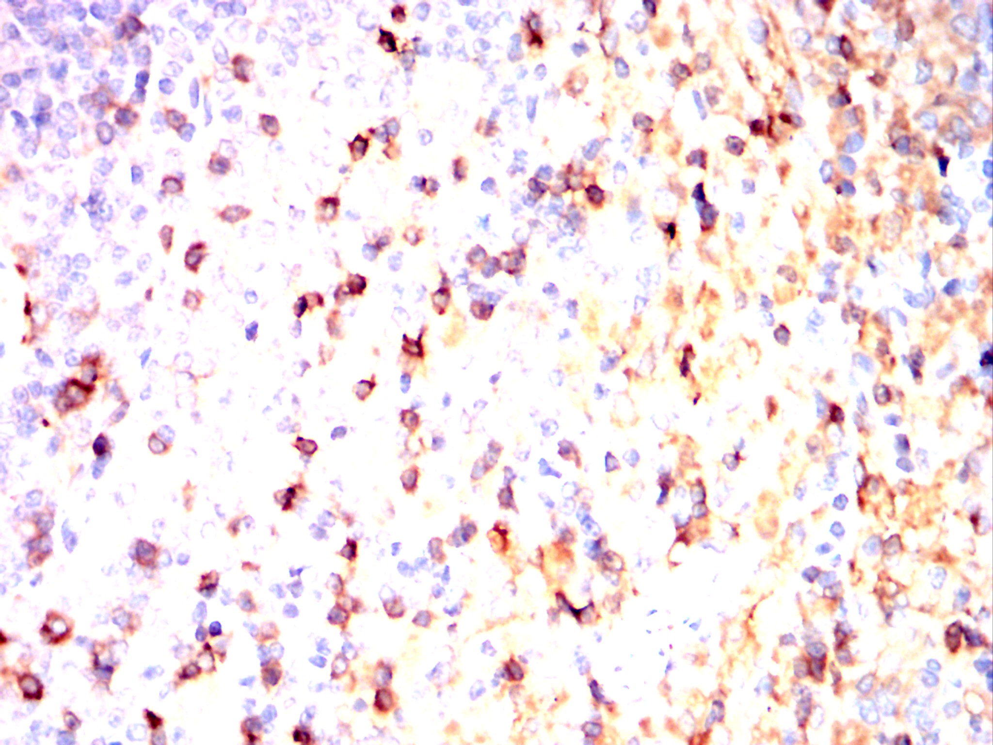
Immunohistochemical analysis of paraffin-embedded Rat spleen using THY1 mouse mAb with DAB staining.

-
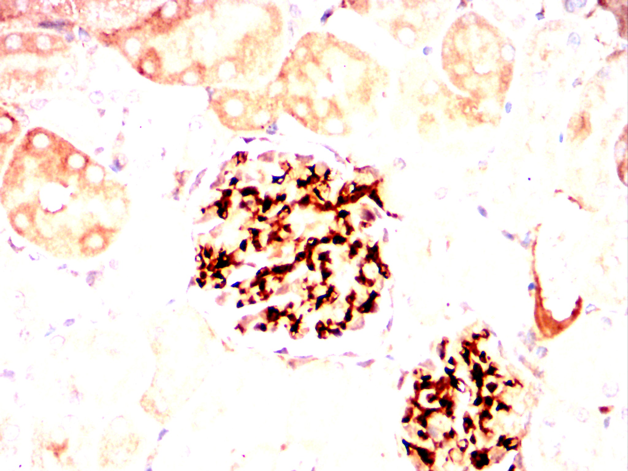
Immunohistochemical analysis of paraffin-embedded Rat kidney using THY1 mouse mAb with DAB staining.








鄂公网安备42018502007531号

