Mouse Monoclonal Antibody to ZEB1
货号:
30547
别名:
BZP; TCF8; AREB6; FECD6; NIL2A; PPCD3; ZFHEP; ZFHX1A; DELTAEF1
应用:
IHC,IF,FCM
反应种属:
Human
抗体类型:
Primary antibody
Swissprot:
P37275
规格:
目录价
在线咨询
Description |
|---|
This gene encodes a zinc finger transcription factor. The encoded protein likely plays a role in transcriptional repression of interleukin 2. Mutations in this gene have been associated with posterior polymorphous corneal dystrophy-3 and late-onset Fuchs endothelial corneal dystrophy. Alternatively spliced transcript variants encoding different isoforms have been described. |
References |
|---|
| 1. J Cancer Res Clin Oncol. 2012 Aug;138(8):1329-38. 2. Mol Cell Biochem. 2012 Jul;366(1-2):223-9. |
Specification |
|
|---|---|
| Aliases | BZP; TCF8; AREB6; FECD6; NIL2A; PPCD3; ZFHEP; ZFHX1A; DELTAEF1 |
| Entrez GeneID | 6935 |
| Swissprot | P37275 |
| clone | 2A8A6 |
| WB Predicted band size | 124kDa |
| Host/Isotype | Mouse IgG1 |
| Antibody Type | Primary antibody |
| Storage | Store at 4°C short term. Aliquot and store at -20°C long term. Avoid freeze/thaw cycles. |
| Species Reactivity | Human |
| Immunogen | Purified recombinant fragment of human ZEB1 (AA: 967-1108) expressed in E. Coli. |
| Formulation | Purified antibody in PBS with 0.05% sodium azide |
Application |
|
|---|---|
| IHC | 1/200 - 1/1000 |
| IF | 1/200 - 1/1000 |
| FCM | 1/200 - 1/400 |
| ELISA | 1/10000 |
Product Image
-
Black line: Control Antigen (100 ng); Purple line: Antigen(10ng); Blue line: Antigen (50 ng); Red line: Antigen (100 ng);

-
Immunofluorescence analysis of Hela cells using ZEB1 mouse mAb (green). Blue: DRAQ5 fluorescent DNA dye. Red: Actin filaments have been labeled with Alexa Fluor-555 phalloidin.

-
Flow cytometric analysis of Hela cells using ZEB1 mouse mAb (green) and negative control (red).

-
Immunohistochemical analysis of paraffin-embedded human cervical cancer tissues using ZEB1 mouse mAb with DAB staining.

-
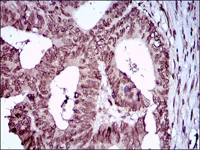
Immunohistochemical analysis of paraffin-embedded human rectum cancer tissues using ZEB1 mouse mAb with DAB staining.






鄂公网安备42018502007531号

