Mouse Monoclonal Antibody to IL3RA
货号:
30516
别名:
IL3R; CD123; IL3RX; IL3RY; IL3RAY; hIL-3Ra
应用:
IHC,IF,FCM
反应种属:
Human
抗体类型:
Primary antibody
Swissprot:
P26951
规格:
目录价
在线咨询
Description |
|---|
The protein encoded by this gene is an interleukin 3 specific subunit of a heterodimeric cytokine receptor. The receptor is comprised of a ligand specific alpha subunit and a signal transducing beta subunit shared by the receptors for interleukin 3 (IL3), colony stimulating factor 2 (CSF2/GM-CSF), and interleukin 5 (IL5). The binding of this protein to IL3 depends on the beta subunit. The beta subunit is activated by the ligand binding, and is required for the biological activities of IL3. This gene and the gene encoding the colony stimulating factor 2 receptor alpha chain (CSF2RA) form a cytokine receptor gene cluster in a X-Y pseudoautosomal region on chromosomes X or Y. Alternatively spliced transcript variants encoding distinct isoforms have been found. |
References |
|---|
| 1. Am J Clin Pathol. 2011 Oct;136(4):625-30. 2. Chin Med J (Engl). 2010 Aug 5;123(15):2034-7. |
Specification |
|
|---|---|
| Aliases | IL3R; CD123; IL3RX; IL3RY; IL3RAY; hIL-3Ra |
| Entrez GeneID | 3563 |
| Swissprot | P26951 |
| clone | 8E11C5 |
| WB Predicted band size | 43.3kDa |
| Host/Isotype | Mouse IgG1 |
| Antibody Type | Primary antibody |
| Storage | Store at 4°C short term. Aliquot and store at -20°C long term. Avoid freeze/thaw cycles. |
| Species Reactivity | Human |
| Immunogen | Purified recombinant fragment of human IL3RA (AA: 200-305) expressed in E. Coli. |
| Formulation | Purified antibody in PBS with 0.05% sodium azide |
Application |
|
|---|---|
| IHC | 1/200 - 1/1000 |
| IF | 1/200 - 1/1000 |
| FCM | 1/200 - 1/400 |
| ELISA | 1/10000 |
Product Image
-
Black line: Control Antigen (100 ng); Purple line: Antigen(10ng); Blue line: Antigen (50 ng); Red line: Antigen (100 ng);

-
Immunofluorescence analysis of Hela cells using IL3RA mouse mAb (green). Blue: DRAQ5 fluorescent DNA dye. Red: Actin filaments have been labeled with Alexa Fluor-555 phalloidin.

-
Flow cytometric analysis of Hela cells using IL3RA mouse mAb (green) and negative control (red).

-
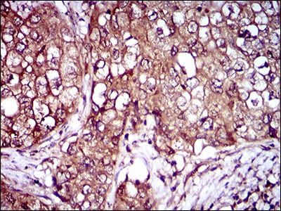
Immunohistochemical analysis of paraffin-embedded human ovarian cancer tissues using IL3RA mouse mAb with DAB staining.

-
Immunohistochemical analysis of paraffin-embedded human lung cancer tissues using IL3RA mouse mAb with DAB staining.






鄂公网安备42018502007531号

