Mouse Monoclonal Antibody to CLGN
货号:
30523
别名:
应用:
WB,IHC,IF
反应种属:
Human
抗体类型:
Primary antibody
Swissprot:
O14967
规格:
目录价
在线咨询
Description |
|---|
Calmegin is a testis-specific endoplasmic reticulum chaperone protein. CLGN may play a role in spermatogeneisis and infertility. |
References |
|---|
| 1. Arch Histol Cytol. 1999 Aug;62(3):283-93. 2. Dev Biol. 2001 Dec 1;240(1):254-61. |
Specification |
|
|---|---|
| Entrez GeneID | 1047 |
| Swissprot | O14967 |
| clone | 1C8B6 |
| WB Predicted band size | 70kDa |
| Host/Isotype | Mouse IgG1 |
| Antibody Type | Primary antibody |
| Storage | Store at 4°C short term. Aliquot and store at -20°C long term. Avoid freeze/thaw cycles. |
| Species Reactivity | Human |
| Immunogen | Purified recombinant fragment of human CLGN (AA: 249-405) expressed in E. Coli. |
| Formulation | Purified antibody in PBS with 0.05% sodium azide |
Application |
|
|---|---|
| WB | 1/500 - 1/2000 |
| IHC | 1/200 - 1/1000 |
| IF | 1/200 - 1/1000 |
| ELISA | 1/10000 |
Product Image
-
Black line: Control Antigen (100 ng); Purple line: Antigen(10ng); Blue line: Antigen (50 ng); Red line: Antigen (100 ng);

-
Western blot analysis using CLGN mouse mAb against LNCAP cell lysate.

-
Immunofluorescence analysis of Hela cells using CLGN mouse mAb (green). Blue: DRAQ5 fluorescent DNA dye. Red: Actin filaments have been labeled with Alexa Fluor-555 phalloidin.

-
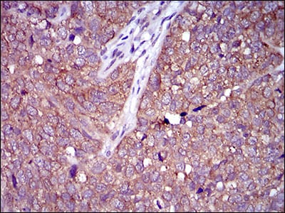
Immunohistochemical analysis of paraffin-embedded human endometrial cancer tissues using CLGN mouse mAb with DAB staining.

-
Immunohistochemical analysis of paraffin-embedded human bladder cancer tissues using CLGN mouse mAb with DAB staining.






鄂公网安备42018502007531号

