Mouse Monoclonal Antibody to ABCG5
货号:
30518
别名:
STSL
应用:
WB,IHC,FCM
反应种属:
Human
抗体类型:
Primary antibody
Swissprot:
Q9H222
规格:
目录价
在线咨询
Description |
|---|
The protein encoded by this gene is a member of the superfamily of ATP-binding cassette (ABC) transporters. ABC proteins transport various molecules across extra- and intra-cellular membranes. ABC genes are divided into seven distinct subfamilies (ABC1, MDR/TAP, MRP, ALD, OABP, GCN20, White). This protein is a member of the White subfamily. The protein encoded by this gene functions as a half-transporter to limit intestinal absorption and promote biliary excretion of sterols. It is expressed in a tissue-specific manner in the liver, colon, and intestine. This gene is tandemly arrayed on chromosome 2, in a head-to-head orientation with family member ABCG8. Mutations in this gene may contribute to sterol accumulation and atheroschlerosis, and have been observed in patients with sitosterolemia. |
References |
|---|
| 1. PLoS One. 2012;7(5):e37972. 2. Biochemistry. 2010 Apr 27;49(16):3403-11. |
Specification |
|
|---|---|
| Aliases | STSL |
| Entrez GeneID | 64240 |
| Swissprot | Q9H222 |
| clone | 1B5E10 |
| WB Predicted band size | 72.5kDa |
| Host/Isotype | Mouse IgG1 |
| Antibody Type | Primary antibody |
| Storage | Store at 4°C short term. Aliquot and store at -20°C long term. Avoid freeze/thaw cycles. |
| Species Reactivity | Human |
| Immunogen | Purified recombinant fragment of human ABCG5 (AA: 306-367) expressed in E. Coli. |
| Formulation | Purified antibody in PBS with 0.05% sodium azide |
Application |
|
|---|---|
| WB | 1/500 - 1/2000 |
| IHC | 1/200 - 1/1000 |
| FCM | 1/200 - 1/400 |
| ELISA | 1/10000 |
Product Image
-
Black line: Control Antigen (100 ng); Purple line: Antigen(10ng); Blue line: Antigen (50 ng); Red line: Antigen (100 ng);

-
Western blot analysis using ABCG5 mouse mAb against HL7702 (1), RAJI (2) and Jurkat (3) cell lysate.

-
Flow cytometric analysis of A549 cells using ABCG5 mouse mAb (green) and negative control (red).

-
Immunohistochemical analysis of paraffin-embedded human cervical cancer tissues using ABCG5 mouse mAb with DAB staining.

-
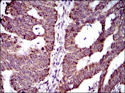
Immunohistochemical analysis of paraffin-embedded human rectum cancer tissues using ABCG5 mouse mAb with DAB staining.






鄂公网安备42018502007531号

