Mouse Monoclonal Antibody to CFLAR
货号:
30511
别名:
CASH; FLIP; MRIT; CLARP; FLAME; Casper; FLAME1; c-FLIP; FLAME-1; I-FLICE; c-FLIPL; c-FLIPR; c-FLIPS; CASP8AP1
应用:
WB,IHC,FCM
反应种属:
Human,Mouse
抗体类型:
Primary antibody
Swissprot:
O15519
规格:
目录价
在线咨询
Description |
|---|
The protein encoded by this gene is a regulator of apoptosis and is structurally similar to caspase-8. However, the encoded protein lacks caspase activity and appears to be itself cleaved into two peptides by caspase-8. Several transcript variants encoding different isoforms have been found for this gene, and partial evidence for several more variants exists. |
References |
|---|
| 1. PLoS One. 2012;7(9):e44917. 2. Cancer Prev Res (Phila). 2012 Apr;5(4):612-20. |
Specification |
|
|---|---|
| Aliases | CASH; FLIP; MRIT; CLARP; FLAME; Casper; FLAME1; c-FLIP; FLAME-1; I-FLICE; c-FLIPL; c-FLIPR; c-FLIPS; CASP8AP1 |
| Entrez GeneID | 8837 |
| Swissprot | O15519 |
| clone | 7A3D12 |
| WB Predicted band size | 55kDa |
| Host/Isotype | Mouse IgG1 |
| Antibody Type | Primary antibody |
| Storage | Store at 4°C short term. Aliquot and store at -20°C long term. Avoid freeze/thaw cycles. |
| Species Reactivity | Human,Mouse |
| Immunogen | Purified recombinant fragment of human CFLAR (AA: 100-251) expressed in E. Coli. |
| Formulation | Purified antibody in PBS with 0.05% sodium azide |
Application |
|
|---|---|
| WB | 1/500 - 1/2000 |
| IHC | 1/200 - 1/1000 |
| FCM | 1/200 - 1/400 |
| ELISA | 1/10000 |
Product Image
-
Black line: Control Antigen (100 ng); Purple line: Antigen(10ng); Blue line: Antigen (50 ng); Red line: Antigen (100 ng);

-
Western blot analysis using CFLAR mouse mAb against JURKAT (1), 3T3L1 (2) and RAJI (3) cell lysate.

-
Flow cytometric analysis of JURKAT cells using CFLAR mouse mAb (green) and negative control (red).

-
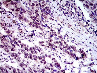
Immunohistochemical analysis of paraffin-embedded human cervical cancer tissues using CFLAR mouse mAb with DAB staining.

-
Immunohistochemical analysis of paraffin-embedded human esophagus cancer tissues using CFLAR mouse mAb with DAB staining.






鄂公网安备42018502007531号

