Mouse Monoclonal Antibody to ALCAM
货号:
30528
别名:
MEMD; CD166; FLJ38514; MGC71733
应用:
WB,IHC,FCM
反应种属:
Human,Mouse
抗体类型:
Primary antibody
Swissprot:
Q13740
规格:
目录价
在线咨询
Description |
|---|
This gene encodes activated leukocyte cell adhesion molecule (ALCAM), also known as CD166 (cluster of differentiation 166), which is a member of a subfamily of immunoglobulin receptors with five immunoglobulin-like domains (VVC2C2C2) in the extracellular domain. This protein binds to T-cell differentiation antigene CD6, and is implicated in the processes of cell adhesion and migration. Multiple alternatively spliced transcript variants encoding different isoforms have been found. |
References |
|---|
| 1. Vascul Pharmacol. 2011 Mar-Jun;54(3-6):93-9. 2. Int J Gynecol Cancer. 2011 Apr;21(3):523-8. |
Specification |
|
|---|---|
| Aliases | MEMD; CD166; FLJ38514; MGC71733 |
| Entrez GeneID | 214 |
| Swissprot | Q13740 |
| clone | 4H9A5 |
| WB Predicted band size | 65.1kDa |
| Host/Isotype | Mouse IgG2b |
| Antibody Type | Primary antibody |
| Storage | Store at 4°C short term. Aliquot and store at -20°C long term. Avoid freeze/thaw cycles. |
| Species Reactivity | Human,Mouse |
| Immunogen | Purified recombinant fragment of human ALCAM (AA: 48-216) expressed in E. Coli. |
| Formulation | Purified antibody in PBS with 0.05% sodium azide |
Application |
|
|---|---|
| WB | 1/500 - 1/2000 |
| IHC | 1/200 - 1/1000 |
| FCM | 1/200 - 1/400 |
| ELISA | 1/10000 |
Product Image
-
Black line: Control Antigen (100 ng); Purple line: Antigen(10ng); Blue line: Antigen (50 ng); Red line: Antigen (100 ng);

-
Western blot analysis using ALCAM mouse mAb against NIH/3T3 cell lysate.

-
Flow cytometric analysis of Jurkat cells using ALCAM mouse mAb (green) and negative control (red).

-
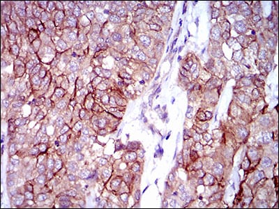
Immunohistochemical analysis of paraffin-embedded human prostate cancer tissues using ALCAM mouse mAb with DAB staining.

-
Immunohistochemical analysis of paraffin-embedded human bladder cancer tissues using ALCAM mouse mAb with DAB staining.






鄂公网安备42018502007531号

