Mouse Monoclonal Antibody to SQSTM1
货号:
30497
别名:
p60; p62; A170; OSIL; PDB3; ZIP3; p62B
应用:
WB,IHC,IF,FCM
反应种属:
Human,Mouse,Rat,Rabbit,Monkey
抗体类型:
Primary antibody
Swissprot:
Q13501
规格:
目录价
在线咨询
Description |
|---|
This gene encodes a multifunctional protein that binds ubiquitin and regulates activation of the nuclear factor kappa-B (NF-kB) signaling pathway. The protein functions as a scaffolding/adaptor protein in concert with TNF receptor-associated factor 6 to mediate activation of NF-kB in response to upstream signals. Alternatively spliced transcript variants encoding either the same or different isoforms have been identified for this gene. Mutations in this gene result in sporadic and familial Paget disease of bone. |
References |
|---|
| 1.Cancer Sci. 2012 Apr;103(4):760-6. 2.Mol Cell. 2011 Oct 7;44(1):134-46. |
Specification |
|
|---|---|
| Aliases | p60; p62; A170; OSIL; PDB3; ZIP3; p62B |
| Entrez GeneID | 8878 |
| Swissprot | Q13501 |
| clone | 5H7E2 |
| WB Predicted band size | 47.7kDa |
| Host/Isotype | Mouse IgG1 |
| Antibody Type | Primary antibody |
| Storage | Store at 4°C short term. Aliquot and store at -20°C long term. Avoid freeze/thaw cycles. |
| Species Reactivity | Human,Mouse,Rat,Rabbit,Monkey |
| Immunogen | Purified recombinant fragment of human SQSTM1 (AA: 232-356) expressed in E. Coli. |
| Formulation | Purified antibody in PBS with 0.05% sodium azide |
Application |
|
|---|---|
| WB | 1/500 - 1/2000 |
| IHC | 1/200 - 1/1000 |
| IF | 1/100-1/200 |
| FCM | 1/200 - 1/400 |
| ELISA | 1/10000 |
Product Image
-
Black line: Control Antigen (100 ng); Purple line: Antigen(10ng); Blue line: Antigen (50 ng); Red line: Antigen (100 ng);

-
Western blot analysis using SQSTM1 mouse mAb against Hela (1), Jurkat (2), THP-1 (3), HEK293 (4), A549 (5), MCF-7 (6), HepG2 (7), COS7 (8) and SK-BR-3 (9) cell lysate.

-
Immunofluorescence analysis of Rat cortical tissue using SQSTM1 mouse mAb (Red). Blue: DRAQ5 fluorescent DNA dye.

-
Immunofluorescence analysis of Mouse cortical tissue using SQSTM1 mouse mAb (Red). Blue: DRAQ5 fluorescent DNA dye.

-
Flow cytometric analysis of HEK293 cells using SQSTM1 mouse mAb (green) and negative control (red).

-
Flow cytometric analysis of C6 cells using SQSTM1 mouse mAb (green) and negative control (red).

-
Flow cytometric analysis of NIH/3T3 cells using SQSTM1 mouse mAb (green) and negative control (red).

-
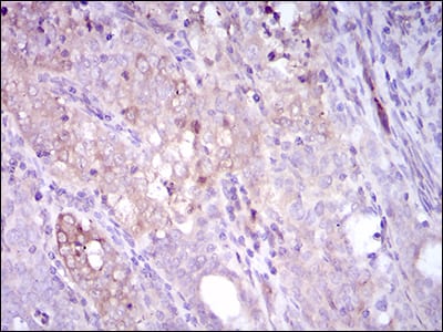
Immunohistochemical analysis of paraffin-embedded human cervical cancer tissues using SQSTM1 mouse mAb with DAB staining.

-
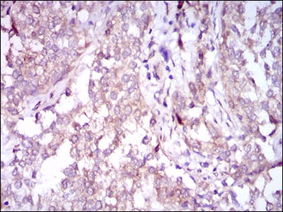
Immunohistochemical analysis of paraffin-embedded human bladder cancer tissues using SQSTM1 mouse mAb with DAB staining.

-
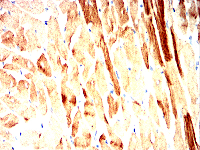
Immunohistochemical analysis of paraffin-embedded Mouse Heart using SQSTM1 mouse mAb with DAB staining.

-
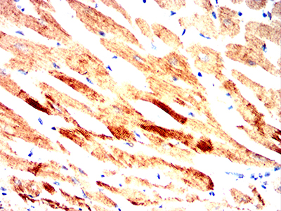
Immunohistochemical analysis of paraffin-embedded Rat Heart using SQSTM1 mouse mAb with DAB staining.

-
Immunohistochemical analysis of paraffin-embedded Rabbit Heart using SQSTM1 mouse mAb with DAB staining.













鄂公网安备42018502007531号

