Mouse Monoclonal Antibody to ZFP42
货号:
30513
别名:
REX1; ZNF754
应用:
WB,IHC,FCM
反应种属:
Human,Mouse
抗体类型:
Primary antibody
Swissprot:
Q96MM3
规格:
目录价
在线咨询
Description |
|---|
ZFP42 involved in the reprogramming of X-chromosome inactivation during the acquisition of pluripotency. Required for efficient elongation of TSIX, a non-coding RNA antisense to XIST. Binds DXPas34 enhancer within the TSIX promoter. |
References |
|---|
| 1. Stem Cell Res. 2011 Jul;7(1):1-16. 2. J Cell Physiol. 2010 Jul;224(1):17-27. |
Specification |
|
|---|---|
| Aliases | REX1; ZNF754 |
| Entrez GeneID | 132625 |
| Swissprot | Q96MM3 |
| clone | 5E11A6 |
| WB Predicted band size | 34.8kDa |
| Host/Isotype | Mouse IgG1 |
| Antibody Type | Primary antibody |
| Storage | Store at 4°C short term. Aliquot and store at -20°C long term. Avoid freeze/thaw cycles. |
| Species Reactivity | Human,Mouse |
| Immunogen | Purified recombinant fragment of human ZFP42 (AA: 249-310) expressed in E. Coli. |
| Formulation | Purified antibody in PBS with 0.05% sodium azide |
Application |
|
|---|---|
| WB | 1/500 - 1/2000 |
| IHC | 1/200 - 1/1000 |
| FCM | 1/200 - 1/400 |
| ELISA | 1/10000 |
Product Image
-
Black line: Control Antigen (100 ng); Purple line: Antigen(10ng); Blue line: Antigen (50 ng); Red line: Antigen (100 ng);

-
Western blot analysis using ZFP42 mouse mAb against NIH/3T3 cell lysate.

-
Flow cytometric analysis of HEK293 cells using ZFP42 mouse mAb (green) and negative control (red).

-
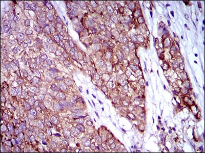
Immunohistochemical analysis of paraffin-embedded human lung cancer tissues using ZFP42 mouse mAb with DAB staining.

-
Immunohistochemical analysis of paraffin-embedded human bladder cancer tissues using ZFP42 mouse mAb with DAB staining.






鄂公网安备42018502007531号

