Mouse Monoclonal Antibody to EGFR mutant
货号:
30486A
别名:
ERBB; HER1; mENA; ERBB1; PIG61
应用:
WB,IHC,FCM
反应种属:
Human
抗体类型:
Primary antibody
Swissprot:
P00533
规格:
目录价
在线咨询
Description |
|---|
The protein encoded by this gene is a transmembrane glycoprotein that is a member of the protein kinase superfamily. This protein is a receptor for members of the epidermal growth factor family. EGFR is a cell surface protein that binds to epidermal growth factor. Binding of the protein to a ligand induces receptor dimerization and tyrosine autophosphorylation and leads to cell proliferation. Mutations in this gene are associated with lung cancer. Multiple alternatively spliced transcript variants that encode different protein isoforms have been found for this gene. |
References |
|---|
| 1. J Immunol. 2012 Dec 1;189(11):5230-9. 2. J Biol Chem. 2012 Oct 12;287(42):35201-11. |
Specification |
|
|---|---|
| Aliases | ERBB; HER1; mENA; ERBB1; PIG61 |
| Entrez GeneID | 1956 |
| Swissprot | P00533 |
| clone | 5G9B5 |
| WB Predicted band size | 175kDa |
| Host/Isotype | Mouse IgG1 |
| Antibody Type | Primary antibody |
| Storage | Store at 4°C short term. Aliquot and store at -20°C long term. Avoid freeze/thaw cycles. |
| Species Reactivity | Human |
| Immunogen | Purified recombinant fragment of human EGFR mutant (AA: 693-893) expressed in E. Coli. |
| Formulation | Ascitic fluid containing 0.03% sodium azide. |
Application |
|
|---|---|
| IHC | 1/200 - 1/1000 |
| FCM | 1/200 - 1/400 |
| ELISA | 1/10000 |
Product Image
-
Black line: Control Antigen (100 ng); Purple line: Antigen(10ng); Blue line: Antigen (50 ng); Red line: Antigen (100 ng);

-
Western blot analysis using EGFR mutant mouse mAb against SPC-A-1 (1), A549 (2), HepG2 (3) and MCF-7 (4) cell lysate.

-
Flow cytometric analysis of HepG2 cells using EGFR mutant mouse mAb (green) and negative control (purple).

-
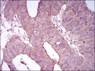
Immunohistochemical analysis of paraffin-embedded human cervical cancer tissues using EGFR mutant mouse mAb with DAB staining.

-
Immunohistochemical analysis of paraffin-embedded human rectum cancer tissues using EGFR mutant mouse mAb with DAB staining.






鄂公网安备42018502007531号

