Mouse Monoclonal Antibody to TWIST1
货号:
30506
别名:
SCS; ACS3; CRS1; BPES2; BPES3; TWIST; bHLHa38
应用:
WB,IHC,IF,FCM
反应种属:
Human,Mouse,Rat,Rabbit
抗体类型:
Primary antibody
Swissprot:
Q15672
规格:
目录价
在线咨询
Description |
|---|
Basic helix-loop-helix (bHLH) transcription factors have been implicated in cell lineage determination and differentiation. The protein encoded by this gene is a bHLH transcription factor and shares similarity with another bHLH transcription factor, Dermo1. The strongest expression of this mRNA is in placental tissue; in adults, mesodermally derived tissues express this mRNA preferentially. Mutations in this gene have been found in patients with Saethre-Chotzen syndrome. |
References |
|---|
| 1. Cancer Res. 2013 Jan 15;73(2):662-71. 2. Cancer Res. 2012 Dec 15;72(24):6382-92. |
Specification |
|
|---|---|
| Aliases | SCS; ACS3; CRS1; BPES2; BPES3; TWIST; bHLHa38 |
| Entrez GeneID | 7291 |
| Swissprot | Q15672 |
| clone | 10E4E6 |
| WB Predicted band size | 21kDa |
| Host/Isotype | Mouse IgG1 |
| Antibody Type | Primary antibody |
| Storage | Store at 4°C short term. Aliquot and store at -20°C long term. Avoid freeze/thaw cycles. |
| Species Reactivity | Human,Mouse,Rat,Rabbit |
| Immunogen | Purified recombinant fragment of human TWIST1 (AA: 9-74) expressed in E. Coli. |
| Formulation | Purified antibody in PBS with 0.05% sodium azide |
Application |
|
|---|---|
| WB | 1/500 - 1/2000 |
| IHC | 1/100 - 1/500 |
| IF | 1/50 - 1/500 |
| FCM | 1/200 - 1/400 |
| ELISA | 1/10000 |
Product Image
-
Black line: Control Antigen (100 ng); Purple line: Antigen(10ng); Blue line: Antigen (50 ng); Red line: Antigen (100 ng);

-
Western blot analysis using TWIST1 mouse mAb against NIH/3T3 (1), JURKAT (2), HELA (3), A549 (4), RAJI (5) and OCM-1 (6) cell lysate.

-
Immunofluorescence analysis of Hela cells using TWIST1 mouse mAb (green). Blue: DRAQ5 fluorescent DNA dye.

-
Flow cytometric analysis of Hela cells using TWIST1 mouse mAb (green) and negative control (red).

-
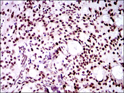
Immunohistochemical analysis of paraffin-embedded human cervical cancer tissues using TWIST1 mouse mAb with DAB staining.

-
Immunohistochemical analysis of paraffin-embedded human colon cancer tissues using TWIST1 mouse mAb with DAB staining.

-
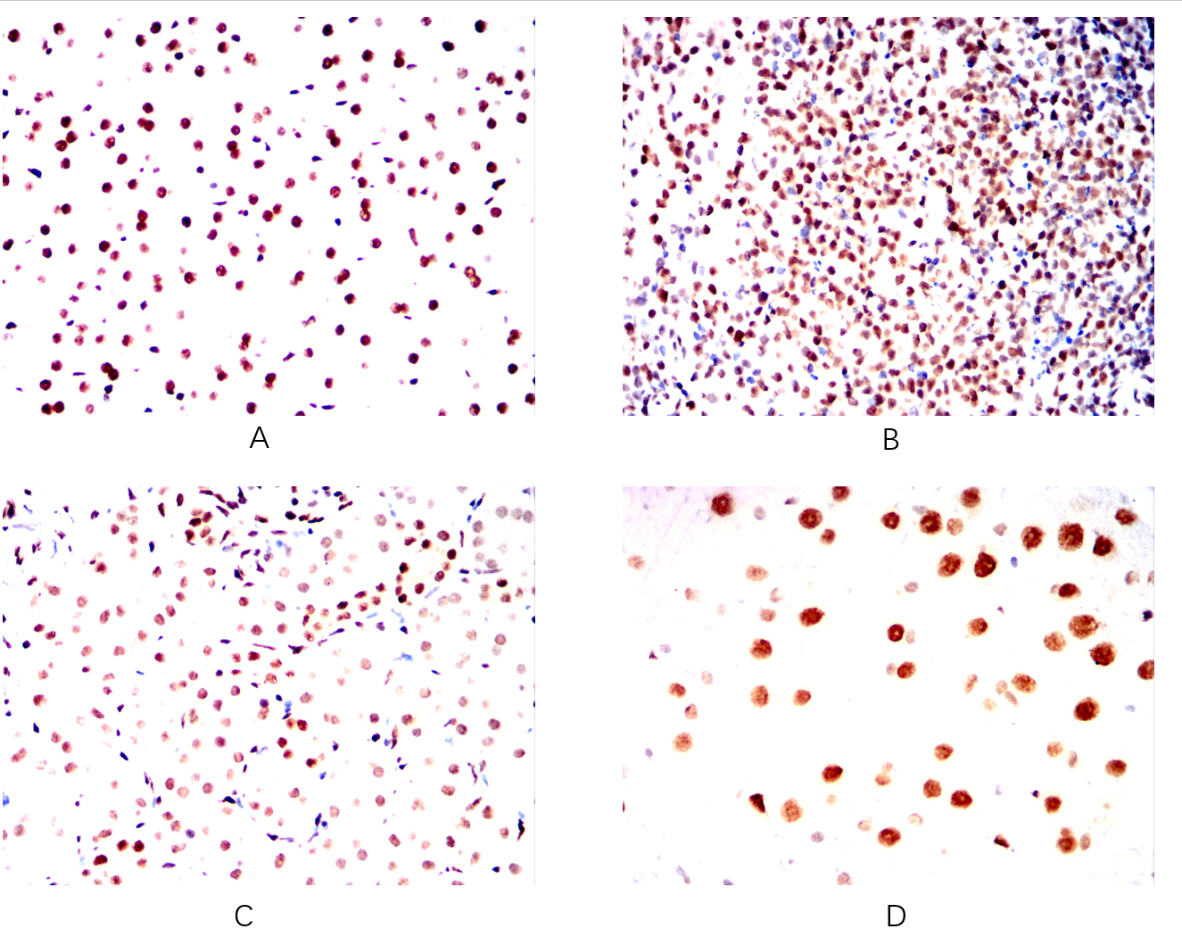
Immunohistochemical analysis of paraffin-embedded Mouse kidney(A)Mouse spleen(B)Mouse liver(C)Mouse brain(D) using TWIST1 mouse mAb with DAB staining.

-
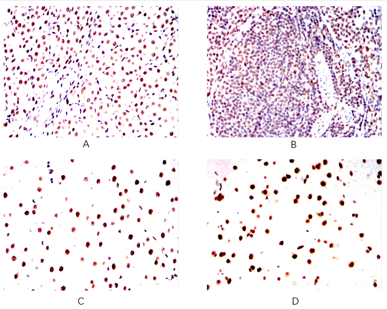
Immunohistochemical analysis of paraffin-embedded Rat kidney(A)Rat spleen(B)Rat liver(C)Rat brain(D) using TWIST1 mouse mAb with DAB staining.

-
Immunohistochemical analysis of paraffin-embedded Rabbit kidney(A)Rabbit spleen(B)Rabbit liver(C)Rabbit brain(D) using TWIST1 mouse mAb with DAB staining.










鄂公网安备42018502007531号

