Mouse Monoclonal Antibody to MRPL42
货号:
30483P
别名:
L31MT; L42MT; S32MT; MRPL31; MRPS32; PTD007; RPML31; HSPC204; MRP-L31; MRP-L42; MRP-S32
应用:
WB,IHC,FCM
反应种属:
Human
抗体类型:
Primary antibody
Swissprot:
Q9Y6G3
规格:
目录价
在线咨询
Description |
|---|
Mammalian mitochondrial ribosomal proteins are encoded by nuclear genes and help in protein synthesis within the mitochondrion. Mitochondrial ribosomes (mitoribosomes) consist of a small 28S subunit and a large 39S subunit. They have an estimated 75% protein to rRNA composition compared to prokaryotic ribosomes, where this ratio is reversed. Another difference between mammalian mitoribosomes and prokaryotic ribosomes is that the latter contain a 5S rRNA. Among different species, the proteins comprising the mitoribosome differ greatly in sequence, and sometimes in biochemical properties, which prevents easy recognition by sequence homology. This gene encodes a protein identified as belonging to both the 28S and the 39S subunits. Alternative splicing results in multiple transcript variants. Pseudogenes corresponding to this gene are found on chromosomes 4q, 6p, 6q, 7p, and 15q. |
References |
|---|
| 1. Genomics. 2003 May;81(5):468-80. 2. J Biol Chem. 2001 Nov 23;276(47):43958-69. |
Specification |
|
|---|---|
| Aliases | L31MT; L42MT; S32MT; MRPL31; MRPS32; PTD007; RPML31; HSPC204; MRP-L31; MRP-L42; MRP-S32 |
| Entrez GeneID | 28977 |
| Swissprot | Q9Y6G3 |
| clone | 3H6H2 |
| WB Predicted band size | 16.6kDa |
| Host/Isotype | Mouse IgG1 |
| Antibody Type | Primary antibody |
| Storage | Store at 4°C short term. Aliquot and store at -20°C long term. Avoid freeze/thaw cycles. |
| Species Reactivity | Human |
| Immunogen | Purified recombinant fragment of human MRPL42 (AA: 10-142) expressed in E. Coli. |
| Formulation | Purified antibody in PBS with 0.05% sodium azide |
Application |
|
|---|---|
| WB | 1/500 - 1/2000 |
| IHC | 1/200 - 1/1000 |
| FCM | 1/200 - 1/400 |
| ELISA | 1/10000 |
Product Image
-
Black line: Control Antigen (100 ng); Purple line: Antigen(10ng); Blue line: Antigen (50 ng); Red line: Antigen (100 ng);

-
Western blot analysis using MRPL42 mouse mAb against HL7702 (1), SMMC-7721 (2), HEK293 (3) , HeLa (4) and Raji (5) cell lysate.

-
Flow cytometric analysis of HepG2 cells using MRPL42 mouse mAb (green) and negative control (purple).

-
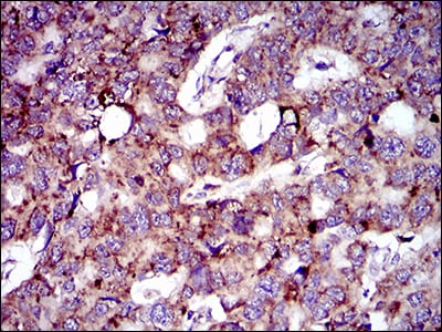
Immunohistochemical analysis of paraffin-embedded human breast cancer tissues using MRPL42 mouse mAb with DAB staining.

-
Immunohistochemical analysis of paraffin-embedded human esophageal cancer tissues using MRPL42 mouse mAb with DAB staining.






鄂公网安备42018502007531号

