Mouse Monoclonal Antibody to ALDH2
货号:
30471P
别名:
ALDM; ALDHI; ALDH-E2
应用:
WB,IHC,IF,FCM
反应种属:
Human,Mouse,Rat,Monkey,Rabbit
抗体类型:
Primary antibody
Swissprot:
P05091
规格:
目录价
在线咨询
Description |
|---|
This protein belongs to the aldehyde dehydrogenase family of proteins. Aldehyde dehydrogenase is the second enzyme of the major oxidative pathway of alcohol metabolism. Two major liver isoforms of aldehyde dehydrogenase, cytosolic and mitochondrial, can be distinguished by their electrophoretic mobilities, kinetic properties, and subcellular localizations. Most Caucasians have two major isozymes, while approximately 50% of Orientals have the cytosolic isozyme but not the mitochondrial isozyme. A remarkably higher frequency of acute alcohol intoxication among Orientals than among Caucasians could be related to the absence of a catalytically active form of the mitochondrial isozyme. The increased exposure to acetaldehyde in individuals with the catalytically inactive form may also confer greater susceptibility to many types of cancer. This gene encodes a mitochondrial isoform, which has a low Km for acetaldehydes, and is localized in mitochondrial matrix. Alternative splicing results in multiple transcript variants encoding distinct isoforms. |
References |
|---|
| 1.Eur Heart J. 2012 Jul;33(13):1606-14. 2.Clin Toxicol (Phila). 2012 Apr;50(4):242-9. |
Specification |
|
|---|---|
| Aliases | ALDM; ALDHI; ALDH-E2 |
| Entrez GeneID | 217 |
| Swissprot | P05091 |
| clone | 4G6A3 |
| WB Predicted band size | 56.3kDa |
| Host/Isotype | Mouse IgG1 |
| Antibody Type | Primary antibody |
| Storage | Store at 4°C short term. Aliquot and store at -20°C long term. Avoid freeze/thaw cycles. |
| Species Reactivity | Human,Mouse,Rat,Monkey,Rabbit |
| Immunogen | Purified recombinant fragment of human ALDH2 (AA: 317-517) expressed in E. Coli. |
| Formulation | Purified antibody in PBS with 0.05% sodium azide |
Application |
|
|---|---|
| WB | 1/500 - 1/2000 |
| IHC | 1/100 - 1/500 |
| IF | 1/50 - 1/500 |
| FCM | 1/200 - 1/400 |
| ELISA | 1/10000 |
Product Image
-
Western blot analysis usingALDH2 mouse mAb against HepG2(1), A549 (2) cell lysatell and Rat liver(3), Mouse liver (4), Mouse brain (5)tissue lysate.

-
Western blot analysis using ALDH2 mouse mAb against mouse liver(1)Raw264.7(2)NIH/3T3(3)NRK(4)C2C12(5)C6(6)F9(7)COS-7(8)CHO3D10(9)cell lysate.

-
Immunofluorescence analysis of HepG2 cells using ALDH2 mouse mAb (green). Blue: DRAQ5 fluorescentDNA dve. Red: Actin filaments havebeen labeled with Alexa Fluor-555phalloidin.

-
Immunofluorescence analysis of NIH/3T3 cells using ALDH2 mouse mAb (green). Blue: DRAQ5 fluorescent DNA dye. Red: Actin filaments have been labeled with Alexa Fluor- 555 phalloidin.

-
Flow cvtometric analvsis ofHeLa cells using ALDH2 mouse mAb(green) and negative control (purple).

-
Flow cytometric analysis of NIH/3T3 cells using ALDH2 mouse mAb (green) and negative control (red).

-
Flow cytometric analysis of PC-12 cells using ALDH2 mouse mAb (green) and negative control (red).

-
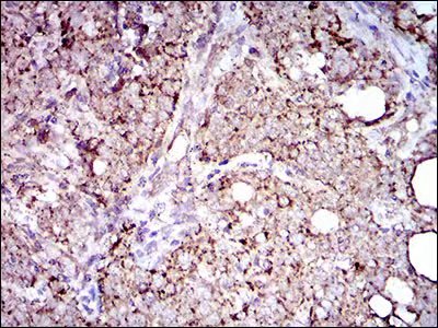
Immunohistochemical analysis of paraffin-embedded cervical cancer tissues using ALDH2 mouse mAb with DAB staining.

-
Immunohistochemical analysis of paraffin-embedded rectum cancer tissues using ALDH2 mouse mAb with DAB staining.

-
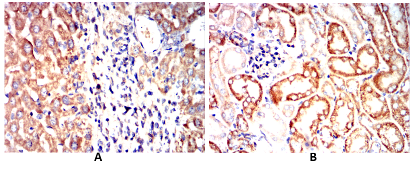
Immunohistochemical analysis of paraffin-embedded Mouse liver(A) Mouse kidney(B) using ALDH2 mouse mAb with DAB staining.

-
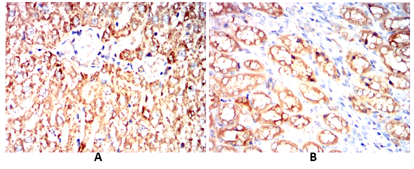
Immunohistochemical analysis of paraffin-embedded Rat liver(A) Rat kidney(B) using ALDH2 mouse mAb with DAB staining.

-
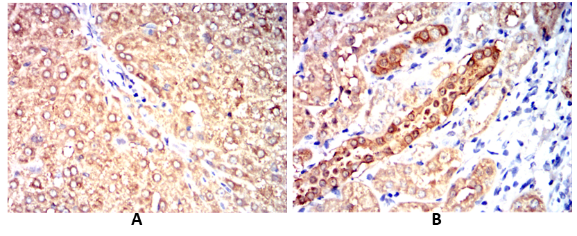
Immunohistochemical analysis of paraffin-embedded Rabbit liver(A) Rabbit kidney(B) using ALDH2 mouse mAb with DAB staining.













鄂公网安备42018502007531号

