Mouse Monoclonal Antibody to WHSC2
货号:
30474P
别名:
NELFA; NELF-A; P/OKcl.15
应用:
WB,IHC,IF,FCM
反应种属:
Human,Rat
抗体类型:
Primary antibody
Swissprot:
Q9H3P2
规格:
目录价
在线咨询
Description |
|---|
This gene is expressed ubiquitously with higher levels in fetal than in adult tissues. It encodes a protein sharing 93% sequence identity with the mouse protein. Wolf-Hirschhorn syndrome (WHS) is a malformation syndrome associated with a hemizygous deletion of the distal short arm of chromosome 4. This gene is mapped to the 165 kb WHS critical region, and may play a role in the phenotype of the WHS or Pitt-Rogers-Danks syndrome. The encoded protein is found to be capable of reacting with HLA-A2-restricted and tumor-specific cytotoxic T lymphocytes, suggesting a target for use in specific immunotherapy for a large number of cancer patients. This protein has also been shown to be a member of the NELF (negative elongation factor) protein complex that participates in the regulation of RNA polymerase II transcription elongation. |
References |
|---|
| 1.Hum Mol Genet. 2012 May 15;21(10):2181-93. 2.Exp Cell Res. 2009 Jun 10;315(10):1693-705. |
Specification |
|
|---|---|
| Aliases | NELFA; NELF-A; P/OKcl.15 |
| Entrez GeneID | 7469 |
| Swissprot | Q9H3P2 |
| clone | 6B11H8 |
| WB Predicted band size | 57.3kDa |
| Host/Isotype | Mouse IgG2b |
| Antibody Type | Primary antibody |
| Storage | Store at 4°C short term. Aliquot and store at -20°C long term. Avoid freeze/thaw cycles. |
| Species Reactivity | Human,Rat |
| Immunogen | Purified recombinant fragment of human WHSC2 (AA: 280-511) expressed in E. Coli. |
| Formulation | Purified antibody in PBS with 0.05% sodium azide |
Application |
|
|---|---|
| WB | 1/500 - 1/2000 |
| IHC | 1/200 - 1/1000 |
| IF | 1/200 - 1/1000 |
| FCM | 1/200 - 1/400 |
| ELISA | 1/10000 |
Product Image
-
Red: Control Antigen (100ng),Purple: Antigen (10ng),Green: Antigen (50ng),Blue: Antigen (100ng)

-
Western blot analysis usingwsC2 mouse mAb against Jurkat(1), HeLa (2), HEK293 (3), 4549 (51SPC-A-1 (6) cell lysate, and Rat brain4) fissue lysate.

-
Immunofluorescence analysis of Hela calls using WHSC2 mouse mAb (green). Blue: DAA05 fuorescentDNA dye.

-
Fow cytometric analysis ofHEK293 cells using WHSC2 mouse mAb (green) and negative contro(purple).

-
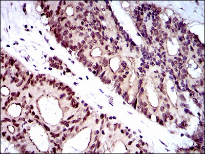
Immunohistochemical analysis of oaraffn-embedded colon cancer tissues using WHSC2 mouse mAb with DAB staining

-
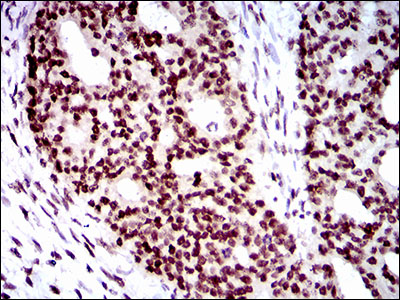
Immunohistochemical analysis of paraffn-embedded ovarian cancer tissues using WHSC2 mouse mAb with DAB staining







鄂公网安备42018502007531号

