Mouse Monoclonal Antibody to GUCY1A3
货号:
30467A
别名:
GUCA3; GC-SA3; GUC1A3; GUCSA3; GUCY1A1
应用:
WB,IHC,IF,FCM
反应种属:
Human
抗体类型:
Primary antibody
Swissprot:
Q02108
规格:
目录价
在线咨询
Description |
|---|
Soluble guanylate cyclases are heterodimeric proteins that catalyze the conversion of GTP to 3',5'-cyclic GMP and pyrophosphate. The protein encoded by this gene is an alpha subunit of this complex and it interacts with a beta subunit to form the guanylate cyclase enzyme, which is activated by nitric oxide. Several transcript variants encoding a few different isoforms have been found for this gene. |
References |
|---|
| 1.Mol Endocrinol. 2012 Feb;26(2):292-307. 2.J Biol Inorg Chem. 2011 Dec;16(8):1227-39. |
Specification |
|
|---|---|
| Aliases | GUCA3; GC-SA3; GUC1A3; GUCSA3; GUCY1A1 |
| Entrez GeneID | 2982 |
| Swissprot | Q02108 |
| clone | 3G6B2 |
| WB Predicted band size | 77.5kDa |
| Host/Isotype | Mouse IgG1 |
| Antibody Type | Primary antibody |
| Storage | Store at 4°C short term. Aliquot and store at -20°C long term. Avoid freeze/thaw cycles. |
| Species Reactivity | Human |
| Immunogen | Purified recombinant fragment of human GUCY1A3 (AA: 22-214) expressed in E. Coli. |
| Formulation | Ascitic fluid containing 0.03% sodium azide. |
Application |
|
|---|---|
| WB | 1/500 - 1/2000 |
| IHC | 1/200 - 1/1000 |
| IF | 1/200 - 1/1000 |
| FCM | 1/200 - 1/400 |
| ELISA | 1/10000 |
Product Image
-
Black line: Control Antigen (100 ng); Purple line: Antigen(10ng); Blue line: Antigen (50 ng); Red line: Antigen (100 ng);

-
Western blot analysis using GUCY1A3 mouse mAb against HEK293 (1) and Jurkat (2) cell lysate.

-
Immunofluorescence analysis of HepG2 cells using GUCY1A3 mouse mAb (green). Blue: DRAQ5 fluorescent DNA dye.

-
Flow cytometric analysis of HEK293 cells using GUCY1A3 mouse mAb (green) and negative control (purple).

-
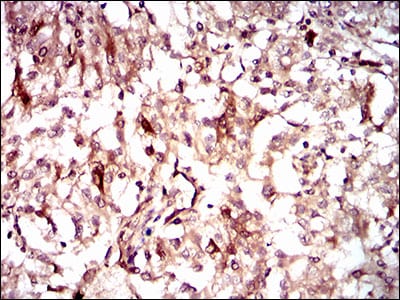
Immunohistochemical analysis of paraffin-embedded human renal cancer tissues using GUCY1A3 mouse mAb with DAB staining.

-
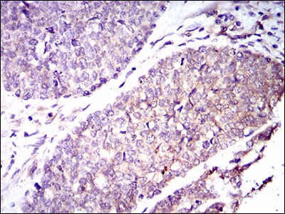
Immunohistochemical analysis of paraffin-embedded human esophageal cancer tissues using GUCY1A3 mouse mAb with DAB staining.







鄂公网安备42018502007531号

