Mouse Monoclonal Antibody to DCTN4
货号:
30469A
别名:
P62; DYN4
应用:
WB,IHC,IF,FCM
反应种属:
Human,Mouse
抗体类型:
Primary antibody
Swissprot:
Q9UJW0
规格:
目录价
在线咨询
Description |
|---|
Dynactin 4 could have a dual role in dynein targeting and in ACTR1A/Arp1 subunit of dynactin pointed-end capping. Could be involved in ACTR1A pointed-end binding and in additional roles in linking dynein and dynactin to the cortical cytoskeleton.The dynactin complex binds cargo, such as vesicles and organelles, to cytoplasmic dynein for retrograde microtubule-mediated trafficking and could feasibly be involved in the copper-regulated trafficking of ATP7B. |
References |
|---|
| Cell. 2008 Dec 26;135(7):1189-200. J Biol Chem. 2006 May 19;281(20):14006-14. |
Specification |
|
|---|---|
| Aliases | P62; DYN4 |
| Entrez GeneID | 51164 |
| Swissprot | Q9UJW0 |
| clone | 3G9D7 |
| WB Predicted band size | 52.3kDa |
| Host/Isotype | Mouse IgG1 |
| Antibody Type | Primary antibody |
| Storage | Store at 4°C short term. Aliquot and store at -20°C long term. Avoid freeze/thaw cycles. |
| Species Reactivity | Human,Mouse |
| Immunogen | Purified recombinant fragment of human DCTN4 (AA: 57-298) expressed in E. Coli. |
| Formulation | Ascitic fluid containing 0.03% sodium azide. |
Application |
|
|---|---|
| WB | 1/500 - 1/2000 |
| IHC | 1/200 - 1/1000 |
| IF | 1/200 - 1/1000 |
| FCM | 1/200 - 1/400 |
| ELISA | 1/10000 |
Product Image
-
Black line: Control Antigen (100 ng); Purple line: Antigen(10ng); Blue line: Antigen (50 ng); Red line: Antigen (100 ng);

-
Western blot analysis using DCTN4 mouse mAb against Raw264.7 (1) and NIH3T3 (2) cell lysate.

-
Immunofluorescence analysis of HepG2 cells using DCTN4 mouse mAb (green). Blue: DRAQ5 fluorescent DNA dye.

-
Flow cytometric analysis of HEK293 cells using DCTN4 mouse mAb (green) and negative control (red).

-
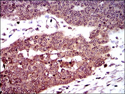
Immunohistochemical analysis of paraffin-embedded human cervical cancer tissues using DCTN4 mouse mAb with DAB staining.

-
Immunohistochemical analysis of paraffin-embedded human ovarian cancer tissues using DCTN4 mouse mAb with DAB staining.







鄂公网安备42018502007531号

