Mouse Monoclonal Antibody to PIWIL4
货号:
30470P
别名:
HIWI2; MIWI2
应用:
WB,IHC,FCM
反应种属:
Human
抗体类型:
Primary antibody
Swissprot:
Q7Z3Z4
规格:
目录价
在线咨询
Description |
|---|
PIWIL4 belongs to the Argonaute family of proteins, which function in development and maintenance of germline stem cells |
References |
|---|
| 1.FEBS Lett. 2012 May 7;586(9):1356-62. 2.Hum Reprod. 2010 Dec;25(12):2955-61. |
Specification |
|
|---|---|
| Aliases | HIWI2; MIWI2 |
| Entrez GeneID | 143689 |
| Swissprot | Q7Z3Z4 |
| clone | 10G9B11 |
| WB Predicted band size | 96.6kDa |
| Host/Isotype | Mouse IgG1 |
| Antibody Type | Primary antibody |
| Storage | Store at 4°C short term. Aliquot and store at -20°C long term. Avoid freeze/thaw cycles. |
| Species Reactivity | Human |
| Immunogen | Purified recombinant fragment of human PIWIL4 (AA: 304-434) expressed in E. Coli. |
| Formulation | Purified antibody in PBS with 0.05% sodium azide |
Application |
|
|---|---|
| WB | 1/500 - 1/2000 |
| IHC | 1/200 - 1/1000 |
| FCM | 1/200 - 1/400 |
| ELISA | 1/10000 |
Product Image
-
Red: Control Antigen (100ng); Purple: Antigen (10ng); Green: Antigen (50ng); Blue: Antigen (100ng);

-
Western blot analysis usingPIWIL4 mouse mAb against PC-3 (1)and PANC-1 (2) cell lysate.

-
Flow cytometric analysis ofHeLa cells using PIWIL4 mouse mAb(green) and negative control (purple)

-
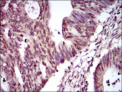
Immunohistochemical analysis of paraffin-embedded ovarian cancer tissues using PIWIL4 mouse mAb with DAB staining.

-
Immunohistochemical analysis of paraffin-embedded rectum cancer tissues using PIWIL4 mouse mAb with DAB staining.






鄂公网安备42018502007531号

