Mouse Monoclonal Antibody to SLC2A4
货号:
30445A
别名:
GLUT4
应用:
WB,IHC,IF,FCM
反应种属:
Human,Mouse
抗体类型:
Primary antibody
Swissprot:
P14672
规格:
目录价
在线咨询
Description |
|---|
This gene is a member of the solute carrier family 2 (facilitated glucose transporter) family and encodes a protein that functions as an insulin-regulated facilitative glucose transporter. In the absence of insulin, this integral membrane protein is sequestered within the cells of muscle and adipose tissue. Within minutes of insulin stimulation, the protein moves to the cell surface and begins to transport glucose across the cell membrane. Mutations in this gene have been associated with noninsulin-dependent diabetes mellitus (NIDDM). |
References |
|---|
| 1.J Biol Chem. 2011 May 13;286(19):16541-5. 2.PLoS One. 2010 Dec 20;5(12):e15560. |
Specification |
|
|---|---|
| Aliases | GLUT4 |
| Entrez GeneID | 6517 |
| Swissprot | P14672 |
| clone | 3G10A3 |
| WB Predicted band size | 54.8kDa |
| Host/Isotype | Mouse IgG2b |
| Antibody Type | Primary antibody |
| Storage | Store at 4°C short term. Aliquot and store at -20°C long term. Avoid freeze/thaw cycles. |
| Species Reactivity | Human,Mouse |
| Immunogen | Purified recombinant fragment of human SLC2A4 (AA: 224-353 ) expressed in E. Coli. |
| Formulation | Ascitic fluid containing 0.03% sodium azide. |
Application |
|
|---|---|
| WB | 1/500 - 1/2000 |
| IHC | 1/200 - 1/1000 |
| IF | 1/200 - 1/1000 |
| FCM | 1/200 - 1/400 |
| ELISA | 1/10000 |
Product Image
-
Black line: Control Antigen (100 ng); Purple line: Antigen(10ng); Blue line: Antigen (50 ng); Red line: Antigen (100 ng);

-
Western blot analysis using SLC2A4 mouse mAb against NIH3T3 (1), 3T3L1 (2), MCF-7 (4) cell lysate and Mouse heart (3) tissue lysate.

-
Immunofluorescence analysis of HeLa cells using SLC2A4 mouse mAb (green). Blue: DRAQ5 fluorescent DNA dye. Red: Actin filaments have been labeled with Alexa Fluor-555 phalloidin.

-
Immunofluorescence analysis of HepG2 cells using SLC2A4 mouse mAb (green). Blue: DRAQ5 fluorescent DNA dye. Red: Actin filaments have been labeled with Alexa Fluor-555 phalloidin.

-
Flow cytometric analysis of HeLa cells using SLC2A4 mouse mAb (green) and negative control (purple).

-
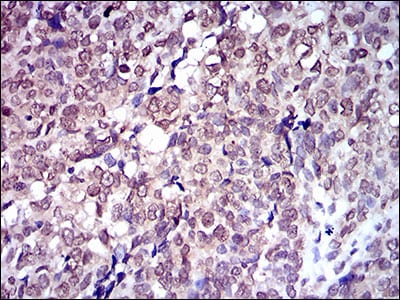
Immunohistochemical analysis of paraffin-embedded human bladder cancer tissues using SLC2A4 mouse mAb with DAB staining.

-
Immunohistochemical analysis of paraffin-embedded human cardiac muscle tissues using SLC2A4 mouse mAb with DAB staining.








鄂公网安备42018502007531号

