Mouse Monoclonal Antibody to PCNA
货号:
30453P
别名:
应用:
WB,IHC,FCM
反应种属:
Human,Mouse,Rat,Rabbit,Monkey
抗体类型:
Loading Control Antibody
Swissprot:
P12004
规格:
目录价
在线咨询
Description |
|---|
The protein encoded by this gene is found in the nucleus and is a cofactor of DNA polymerase delta. The encoded protein acts as a homotrimer and helps increase the processivity of leading strand synthesis during DNA replication. In response to DNA damage, this protein is ubiquitinated and is involved in the RAD6-dependent DNA repair pathway. Two transcript variants encoding the same protein have been found for this gene. Pseudogenes of this gene have been described on chromosome 4 and on the X chromosome. |
References |
|---|
| 1.Cancer Res. 2012 Jul 1;72(13):3217-27. 2.PLoS One. 2012;7(1):e29416. |
Specification |
|
|---|---|
| Entrez GeneID | 5111 |
| Swissprot | P12004 |
| clone | 7H4F8 |
| WB Predicted band size | 28.7kDa |
| Host/Isotype | Mouse IgG1 |
| Antibody Type | Loading Control Antibody |
| Storage | Store at 4°C short term. Aliquot and store at -20°C long term. Avoid freeze/thaw cycles. |
| Species Reactivity | Human,Mouse,Rat,Rabbit,Monkey |
| Immunogen | Purified recombinant fragment of human PCNA (AA: 53-196 ) expressed in E. Coli. |
| Formulation | Purified antibody in PBS with 0.05% sodium azide |
Application |
|
|---|---|
| WB | 1/500 - 1/2000 |
| IHC | 1/100 - 1/500 |
| FCM | 1/200 - 1/400 |
| ELISA | 1/10000 |
Product Image
-
Black line: Control Antigen (100 ng); Purple line: Antigen(10ng); Blue line: Antigen (50 ng); Red line: Antigen (100 ng);

-
Western blot analysis using PCNA mouse mAb against A431 (1), HeLa (2), HepG2 (3), Raji (4), and MOLT4 (5) cell lysate.

-
Western blot analysis using PCNA mouse mAb against 81505(1),KO-SF(2),RSC-96(3),NIH/3T3(4) cell lysate.

-
Flow cytometric analysis of MOLT4 cells using PCNA mouse mAb (green) and negative control (purple).

-
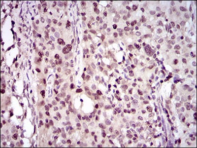
Immunohistochemical analysis of paraffin-embedded human cervical cancer tissues using PCNA mouse mAb with DAB staining.

-
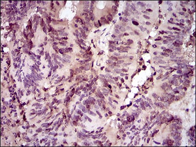
Immunohistochemical analysis of paraffin-embedded human colon cancer tissues using PCNA mouse mAb with DAB staining.

-
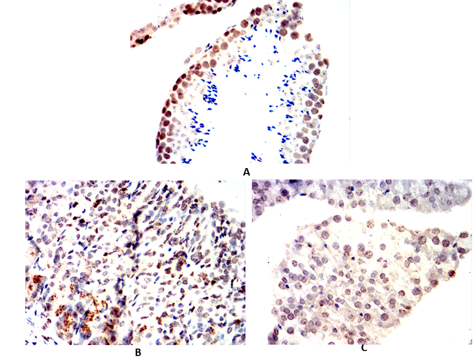
Immunohistochemical analysis of paraffin-embedded Mouse testis(A)Mouse stomach(B)Mouse pancreas(C) using PCNA mouse mAb with DAB staining.

-
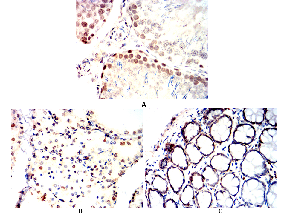
Immunohistochemical analysis of paraffin-embedded Rat testis(A)Rat thyroid(B)Rat colon(C) using PCNA mouse mAb with DAB staining.

-
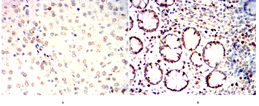
Immunohistochemical analysis of paraffin-embedded Rabbit liver(A)Rabbit colon(B) using PCNA mouse mAb with DAB staining.










鄂公网安备42018502007531号

