Mouse Monoclonal Antibody to SLC27A5
货号:
30454A
别名:
BAL; ACSB; BACS; FATP5; ACSVL6; FACVL3; FATP-5; VLACSR; VLCSH2; VLCS-H2
应用:
WB,IHC,FCM
反应种属:
Human,Mouse,Monkey
抗体类型:
Primary antibody
Swissprot:
Q9Y2P5
规格:
目录价
在线咨询
Description |
|---|
The protein encoded by this gene is an isozyme of very long-chain acyl-CoA synthetase (VLCS). It is capable of activating very long-chain fatty-acids containing 24- and 26-carbons. It is expressed in liver and associated with endoplasmic reticulum but not with peroxisomes. Its primary role is in fatty acid elongation or complex lipid synthesis rather than in degradation. This gene has a mouse ortholog. |
References |
|---|
| 1.Horm Metab Res. 2010 Nov;42(12):854-9. 2.Mol Nutr Food Res. 2007 Feb;51(2):185-91. |
Specification |
|
|---|---|
| Aliases | BAL; ACSB; BACS; FATP5; ACSVL6; FACVL3; FATP-5; VLACSR; VLCSH2; VLCS-H2 |
| Entrez GeneID | 10998 |
| Swissprot | Q9Y2P5 |
| clone | 4B11C10 |
| WB Predicted band size | 75.4kDa |
| Host/Isotype | Mouse IgG1 |
| Antibody Type | Primary antibody |
| Storage | Store at 4°C short term. Aliquot and store at -20°C long term. Avoid freeze/thaw cycles. |
| Species Reactivity | Human,Mouse,Monkey |
| Immunogen | Purified recombinant fragment of human SLC27A5 (AA: 508-570 ) expressed in E. Coli. |
| Formulation | Ascitic fluid containing 0.03% sodium azide. |
Application |
|
|---|---|
| WB | 1/500 - 1/2000 |
| IHC | 1/200 - 1/1000 |
| FCM | 1/200 - 1/400 |
| ELISA | 1/10000 |
Product Image
-
Black line: Control Antigen (100 ng); Purple line: Antigen(10ng); Blue line: Antigen (50 ng); Red line: Antigen (100 ng);

-
Western blot analysis using SLC27A5 mouse mAb against 3T3-L1 (1) and COS7 (2) cell lysate.

-
Flow cytometric analysis of SK-N-SH cells using SLC27A5 mouse mAb (green) and negative control (purple).

-
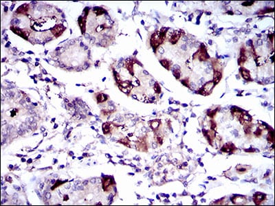
Immunohistochemical analysis of paraffin-embedded human liver cancer tissues using SLC27A5 mouse mAb with DAB staining.

-
Immunohistochemical analysis of paraffin-embedded human stomach tissues using SLC27A5 mouse mAb with DAB staining.






鄂公网安备42018502007531号

