Mouse Monoclonal Antibody to ABCB5
货号:
30432
别名:
ABCB5beta; EST422562; ABCB5alpha
应用:
WB,IHC,IF,FCM
反应种属:
Human
抗体类型:
Primary antibody
Swissprot:
Q2M3G0
规格:
目录价
在线咨询
Description |
|---|
ABCB5 belongs to the ATP-binding cassette (ABC) transporter superfamily of integral membrane proteins. These proteins participate in ATP-dependent transmembrane transport of structurally diverse molecules ranging from small ions, sugars, and peptides to more complex organic molecules |
References |
|---|
| 1.Gastroenterology. 2011 Jan;140(1):344-55. 2.Cancer Res. 2011 Aug 1;71(15):5307-16. |
Specification |
|
|---|---|
| Aliases | ABCB5beta; EST422562; ABCB5alpha |
| Entrez GeneID | 340273 |
| Swissprot | Q2M3G0 |
| clone | 5H3C6 |
| WB Predicted band size | 89.8kDa |
| Host/Isotype | Mouse IgG1 |
| Antibody Type | Primary antibody |
| Storage | Store at 4°C short term. Aliquot and store at -20°C long term. Avoid freeze/thaw cycles. |
| Species Reactivity | Human |
| Immunogen | Purified recombinant fragment of human ABCB5 (AA: 481-674) expressed in E. Coli. |
| Formulation | Purified antibody in PBS with 0.05% sodium azide |
Application |
|
|---|---|
| IHC | 1/200 - 1/1000 |
| IF | 1/200 - 1/1000 |
| FCM | 1/200 - 1/400 |
| ELISA | 1/10000 |
Product Image
-
Black line: Control Antigen (100 ng); Purple line: Antigen(10ng); Blue line: Antigen (50 ng); Red line: Antigen (100 ng);

-
Western blot analysis using ABCB5 mouse mAb against A431 (1) cell lysate.

-
Immunofluorescence analysis of HepG2 cells using ABCB5 mouse mAb (green). Blue: DRAQ5 fluorescent DNA dye. Red: Actin filaments have been labeled with Alexa Fluor-555 phalloidin.

-
Flow cytometric analysis of HepG2 cells using ABCB5 mouse mAb (green) and negative control (purple).

-
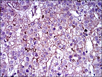
Immunohistochemical analysis of paraffin-embedded human liver cancer tissues using ABCB5 mouse mAb with DAB staining.

-
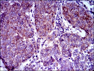
Immunohistochemical analysis of paraffin-embedded human breast cancer tissues using ABCB5 mouse mAb with DAB staining.







鄂公网安备42018502007531号

