Mouse Monoclonal Antibody to KEAP1
货号:
30435
别名:
INrf2; KLHL19
应用:
IHC,FCM
反应种属:
Human,Mouse,Rat,Rabbit,Monkey
抗体类型:
Primary antibody
Swissprot:
Q14145
规格:
目录价
在线咨询
Description |
|---|
This gene encodes a protein containing KELCH-1 like domains, as well as a BTB/POZ domain. Kelch-like ECH-associated protein 1 interacts with NF-E2-related factor 2 in a redox-sensitive manner and the dissociation of the proteins in the cytoplasm is followed by transportation of NF-E2-related factor 2 to the nucleus. This interaction results in the expression of the catalytic subunit of gamma-glutamylcysteine synthetase. Two alternatively spliced transcript variants encoding the same isoform have been found for this gene. |
References |
|---|
| 1.Epigenetics. 2011 Mar;6(3):317-25. 2.Cell Death Differ. 2011 Mar;18(3):439-51. |
Specification |
|
|---|---|
| Aliases | INrf2; KLHL19 |
| Entrez GeneID | 9817 |
| Swissprot | Q14145 |
| clone | 7G4B10 |
| WB Predicted band size | 69.7kDa |
| Host/Isotype | Mouse IgG1 |
| Antibody Type | Primary antibody |
| Storage | Store at 4°C short term. Aliquot and store at -20°C long term. Avoid freeze/thaw cycles. |
| Species Reactivity | Human,Mouse,Rat,Rabbit,Monkey |
| Immunogen | Purified recombinant fragment of human KEAP1 (AA: 380-624 ) expressed in E. Coli. |
| Formulation | Purified antibody in PBS with 0.05% sodium azide |
Application |
|
|---|---|
| IHC | 1/200 - 1/1000 |
| FCM | 1/200 - 1/400 |
| ELISA | 1/10000 |
Product Image
-
Black line: Control Antigen (100 ng); Purple line: Antigen(10ng); Blue line: Antigen (50 ng); Red line: Antigen (100 ng);

-
Flow cytometric analysis of HeLa cells using KEAP1 mouse mAb (green) and negative control (red).

-
Flow cytometric analysis of NIH/3T3 cells using KEAP1 mouse mAb (green) and negative control (red).

-
Flow cytometric analysis of COS7 cells using KEAP1 mouse mAb (green) and negative control (red).

-
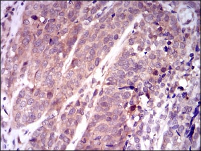
Immunohistochemical analysis of paraffin-embedded human bladder cancer tissues using KEAP1 mouse mAb with DAB staining.

-
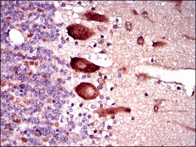
Immunohistochemical analysis of paraffin-embedded human cerebellum tissues using KEAP1 mouse mAb with DAB staining.

-
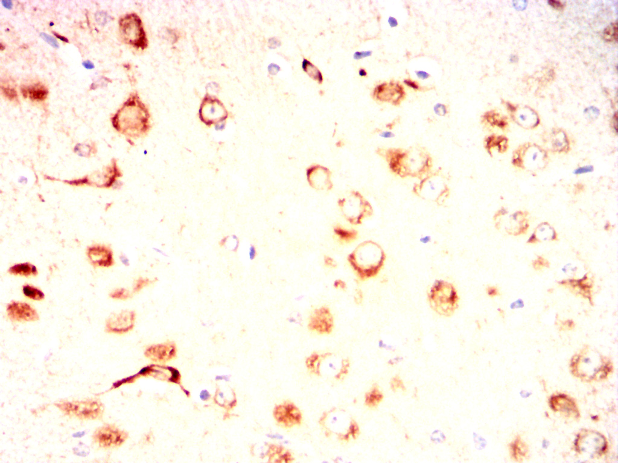
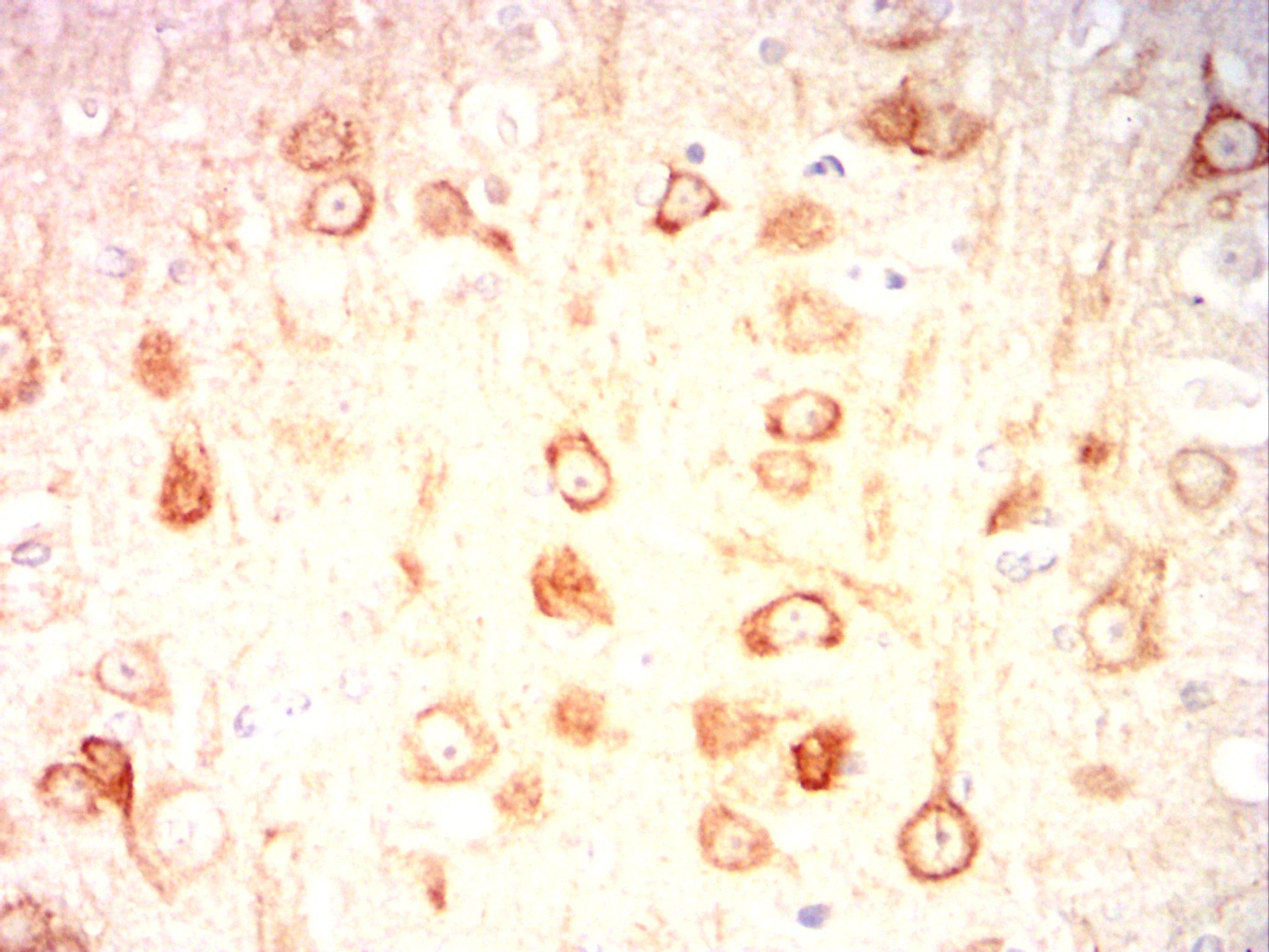
Immunohistochemical analysis of paraffin-embedded Mouse brain using KEAP1 mouse mAb with DAB staining.

-
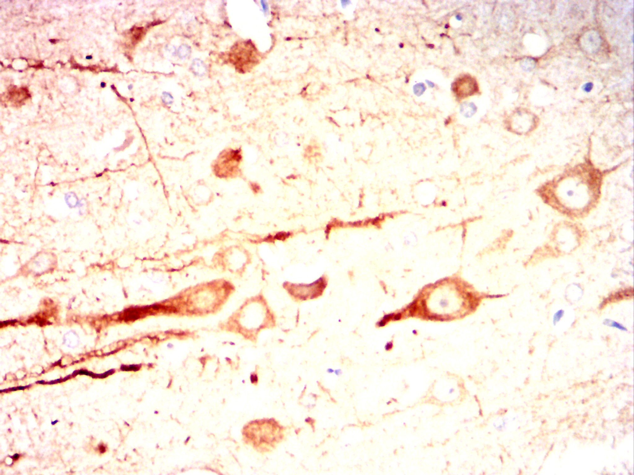
Immunohistochemical analysis of paraffin-embedded Rat brain using KEAP1 mouse mAb with DAB staining.

-
Immunohistochemical analysis of paraffin-embedded Rat muscle using KEAP1 mouse mAb with DAB staining.

-
Immunohistochemical analysis of paraffin-embedded Rabbit brain using KEAP1 mouse mAb with DAB staining.

-
Immunohistochemical analysis of paraffin-embedded Rabbit muscle using KEAP1 mouse mAb with DAB staining.












鄂公网安备42018502007531号

