Mouse Monoclonal Antibody to DKK3
货号:
30436
别名:
RIG; REIC
应用:
WB,IHC,FCM
反应种属:
Human,Mouse,Rat,Rabbit,Monkey
抗体类型:
Primary antibody
Swissprot:
Q9UBP4
规格:
目录价
在线咨询
Description |
|---|
This gene encodes a protein that is a member of the dickkopf family. The secreted protein contains two cysteine rich regions and is involved in embryonic development through its interactions with the Wnt signaling pathway. The expression of this gene is decreased in a variety of cancer cell lines and it may function as a tumor suppressor gene. Alternative splicing results in multiple transcript variants encoding the same protein. |
References |
|---|
| 1.Exp Dermatol. 2011 Mar;20(3):273-7. 2.Thromb Haemost. 2011 Jan;105(1):72-80. |
Specification |
|
|---|---|
| Aliases | RIG; REIC |
| Entrez GeneID | 27122 |
| Swissprot | Q9UBP4 |
| clone | 8A5C6 |
| WB Predicted band size | 38.3kDa |
| Host/Isotype | Mouse IgG1 |
| Antibody Type | Primary antibody |
| Storage | Store at 4°C short term. Aliquot and store at -20°C long term. Avoid freeze/thaw cycles. |
| Species Reactivity | Human,Mouse,Rat,Rabbit,Monkey |
| Immunogen | Purified recombinant fragment of human DKK3 (AA: 91-350 ) expressed in E. Coli. |
| Formulation | Purified antibody in PBS with 0.05% sodium azide |
Application |
|
|---|---|
| WB | 1/500-1/1000 |
| IHC | 1/200 - 1/1000 |
| FCM | 1/200 - 1/400 |
| ELISA | 1/10000 |
Product Image
-
Black line: Control Antigen (100 ng); Purple line: Antigen(10ng); Blue line: Antigen (50 ng); Red line: Antigen (100 ng);

-
Western blot analysis using Desmin mouse mAb against PC-12(1),NIH/3T3(2),NRK(3),C2C12(4),C6(5), cell lysate.

-
Flow cytometric analysis of Hela cells using DKK3 mouse mAb (green) and negative control (red).

-
Flow cytometric analysis of C6 cells using DKK3 mouse mAb (green) and negative control (red).

-
Flow cytometric analysis of NIH/3T3 cells using DKK3 mouse mAb (green) and negative control (red).

-
Flow cytometric analysis of COS7 cells using DKK3 mouse mAb (green) and negative control (red).

-
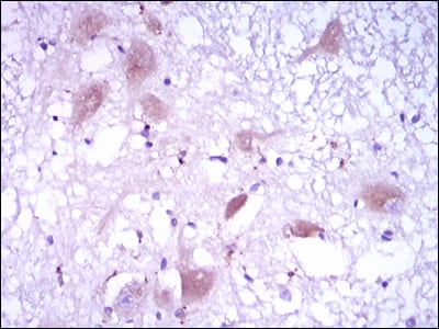
Immunohistochemical analysis of paraffin-embedded human brain tissues using DKK3 mouse mAb with DAB staining.

-
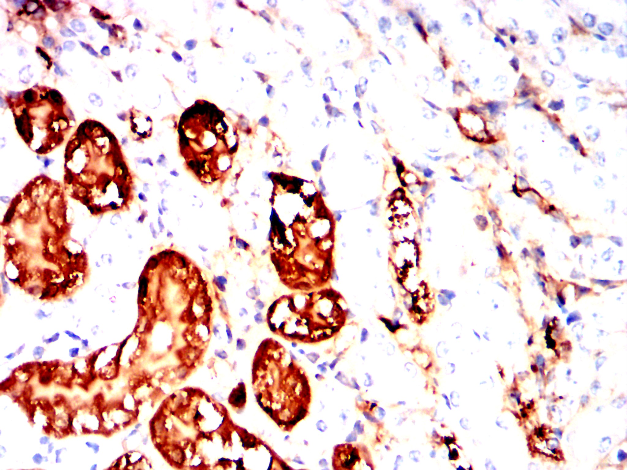
Immunohistochemical analysis of paraffin-embedded Mouse kidney using DKK3 mouse mAb with DAB staining.

-
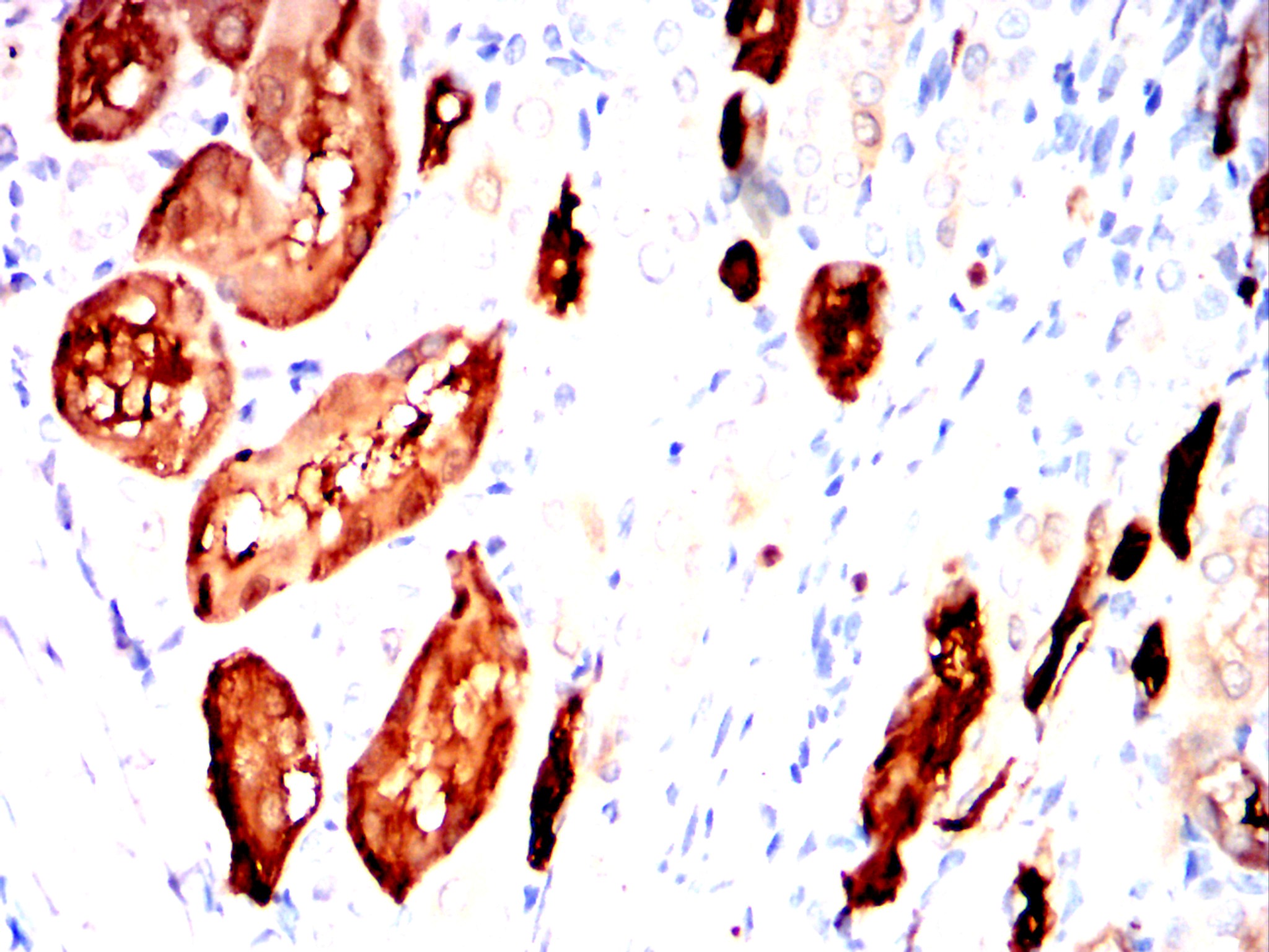
Immunohistochemical analysis of paraffin-embedded Rat kidney using DKK3 mouse mAb with DAB staining.

-
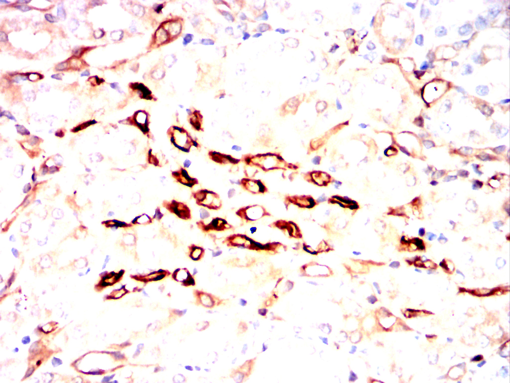
Immunohistochemical analysis of paraffin-embedded Rabbit kidney using DKK3 mouse mAb with DAB staining.











鄂公网安备42018502007531号

