Mouse Monoclonal Antibody to ACLY
货号:
30437
别名:
ACL; ATPCL; CLATP
应用:
WB,IHC,IF,FCM
反应种属:
Human,Mouse,Rat,Monkey,Rabbit
抗体类型:
Primary antibody
Swissprot:
P53396
规格:
目录价
在线咨询
Description |
|---|
ATP citrate lyase is the primary enzyme responsible for the synthesis of cytosolic acetyl-CoA in many tissues. The enzyme is a tetramer (relative molecular weight approximately 440,000) of apparently identical subunits. It catalyzes the formation of acetyl-CoA and oxaloacetate from citrate and CoA with a concomitant hydrolysis of ATP to ADP and phosphate. The product, acetyl-CoA, serves several important biosynthetic pathways, including lipogenesis and cholesterogenesis. In nervous tissue, ATP citrate-lyase may be involved in the biosynthesis of acetylcholine. Two transcript variants encoding distinct isoforms have been identified for this gene. |
References |
|---|
| 1.J Biol Chem. 2010 Oct 15;285(42):32606-15. 2.Int J Cancer. 2010 May 15;126(10):2282-95. |
Specification |
|
|---|---|
| Aliases | ACL; ATPCL; CLATP |
| Entrez GeneID | 47 |
| Swissprot | P53396 |
| clone | 5F8D11 |
| WB Predicted band size | 125kDa |
| Host/Isotype | Mouse IgG1 |
| Antibody Type | Primary antibody |
| Storage | Store at 4°C short term. Aliquot and store at -20°C long term. Avoid freeze/thaw cycles. |
| Species Reactivity | Human,Mouse,Rat,Monkey,Rabbit |
| Immunogen | Purified recombinant fragment of human ACLY (AA: 306-502 ) expressed in E. Coli. |
| Formulation | Purified antibody in PBS with 0.05% sodium azide |
Application |
|
|---|---|
| WB | 1/500 - 1/2000 |
| IHC | 1/100 - 1/500 |
| IF | 1/50 - 1/500 |
| FCM | 1/200 - 1/400 |
| ELISA | 1/10000 |
Product Image
-
Black line: Control Antigen (100 ng); Purple line: Antigen(10ng); Blue line: Antigen (50 ng); Red line: Antigen (100 ng);

-
Western blot analysis using ACLY mouse mAb against HeLa (1), NIH3T3 (2), C6 (3), COS7 (4), and Raji (5) cell lysate.

-
Western blot analysis using ACLY mouse mAb against PC-12(1)Raw264.7(2)NIH/3T3(3)NRK(4)C6(5)F9(6)COS-7(7)CHO3D10(8)cell lysate.

-
Immunofluorescence analysis of HeLa cells using ACLY mouse mAb (green). Blue: DRAQ5 fluorescent DNA dye. Red: Actin filaments have been labeled with Alexa Fluor-555 phalloidin.

-
Immunofluorescence analysis of NIH/3T3 cells using ACLY mouse mAb (green). Blue: DRAQ5 fluorescent DNA dye. Red: Actin filaments have been labeled with Alexa Fluor- 555 phalloidin.

-
Flow cytometric analysis of HeLa cells using ACLY mouse mAb (green) and negative control (purple).

-
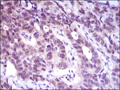
Immunohistochemical analysis of paraffin-embedded human esophageal cancer tissues using ACLY mouse mAb with DAB staining.

-
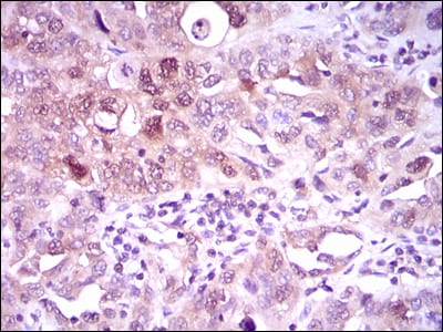
Immunohistochemical analysis of paraffin-embedded human endometrial cancer tissues using ACLY mouse mAb with DAB staining.

-
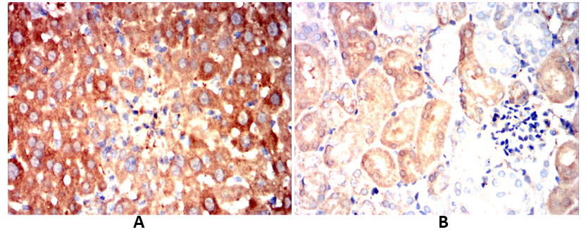
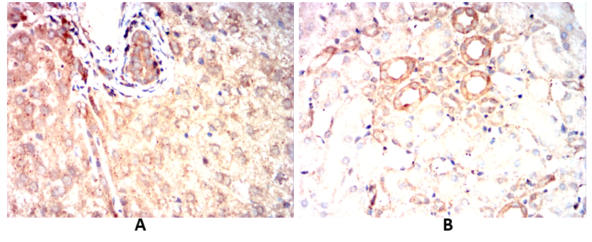
Immunohistochemical analysis of paraffin-embedded Mouse liver(A) Mouse kidney(B) using ACLY mouse mAb with DAB staining.

-
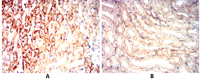
Immunohistochemical analysis of paraffin-embedded Rat liver(A) Rat kidney(B) using ACLY mouse mAb with DAB staining.

-
Immunohistochemical analysis of paraffin-embedded Rabbit liver(A) Rabbit kidney(B) using ACLY mouse mAb with DAB staining.












鄂公网安备42018502007531号

