Mouse Monoclonal Antibody to STAT5A
货号:
30423
别名:
MGF; STAT5
应用:
WB,IHC,IF,FCM
反应种属:
Human
抗体类型:
Primary antibody
Swissprot:
P42229
规格:
目录价
在线咨询
Description |
|---|
The protein encoded by this gene is a member of the STAT family of transcription factors. In response to cytokines and growth factors, STAT family members are phosphorylated by the receptor associated kinases, and then form homo- or heterodimers that translocate to the cell nucleus where they act as transcription activators. This protein is activated by, and mediates the responses of many cell ligands, such as IL2, IL3, IL7 GM-CSF, erythropoietin, thrombopoietin, and different growth hormones. Activation of this protein in myeloma and lymphoma associated with a TEL/JAK2 gene fusion is independent of cell stimulus and has been shown to be essential for the tumorigenesis. The mouse counterpart of this gene is found to induce the expression of BCL2L1/BCL-X(L), which suggests the antiapoptotic function of this gene in cells. |
References |
|---|
| 1.Cancer Res. 2011 May 15;71(10):3720-31. 2.Blood. 2011 Mar 24;117(12):3409-20. |
Specification |
|
|---|---|
| Aliases | MGF; STAT5 |
| Entrez GeneID | 6776 |
| Swissprot | P42229 |
| clone | 6D4 |
| WB Predicted band size | 90.6kDa |
| Host/Isotype | Mouse IgG1 |
| Antibody Type | Primary antibody |
| Storage | Store at 4°C short term. Aliquot and store at -20°C long term. Avoid freeze/thaw cycles. |
| Species Reactivity | Human |
| Immunogen | Purified recombinant fragment of human STAT5A (AA: 583-794 ) expressed in E. Coli. |
| Formulation | Purified antibody in PBS with 0.05% sodium azide |
Application |
|
|---|---|
| WB | 1/500 - 1/2000 |
| IHC | 1/200 - 1/1000 |
| IF | 1/50 |
| FCM | 1/200 - 1/400 |
| ELISA | 1/10000 |
Product Image
-
Black line: Control Antigen (100 ng); Purple line: Antigen(10ng); Blue line: Antigen (50 ng); Red line: Antigen (100 ng);

-
Western blot analysis using STAT5A mouse mAb against K562 (1), MOLT4 (2), HeLa (3), Jurkat (4), and A431 (5) cell lysate.

-
Immunofluorescence analysis of Hela cells using STAT5A mouse mAb (green). Blue: DRAQ5 fluorescent DNA dye.

-
Flow cytometric analysis of K562 cells using STAT5A mouse mAb (green) and negative control (red).

-
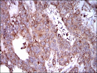
Immunohistochemical analysis of paraffin-embedded human ovarian cancer tissues using STAT5A mouse mAb with DAB staining.

-
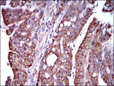
Immunohistochemical analysis of paraffin-embedded human rectum cancer tissues using STAT5A mouse mAb with DAB staining.







鄂公网安备42018502007531号

