Mouse Monoclonal Antibody to SST
货号:
30416
别名:
SMST
应用:
IHC,FCM
反应种属:
Human,Mouse,Rat
抗体类型:
Primary antibody
Swissprot:
P61278
规格:
目录价
在线咨询
Description |
|---|
The preproprotein encoded by this gene. Somatostatin is expressed throughout the body and inhibits the release of numerous secondary hormones by binding to high-affinity G-protein-coupled somatostatin receptors. This hormone is an important regulator of the endocrine system through its interactions with pituitary growth hormone, thyroid stimulating hormone, and most hormones of the gastrointestinal tract. Somatostatin also affects rates of neurotransmission in the central nervous system and proliferation of both normal and tumorigenic cells. |
References |
|---|
| 1.Acta Neurol Scand. 2010 Apr;121(4):225-9. 2.Endocrinology. 2009 May;150(5):2254-63. |
Specification |
|
|---|---|
| Aliases | SMST |
| Entrez GeneID | 6750 |
| Swissprot | P61278 |
| clone | 7G5 |
| WB Predicted band size | 12.7kDa |
| Host/Isotype | Mouse IgG1 |
| Antibody Type | Primary antibody |
| Storage | Store at 4°C short term. Aliquot and store at -20°C long term. Avoid freeze/thaw cycles. |
| Species Reactivity | Human,Mouse,Rat |
| Immunogen | Purified recombinant fragment of human SST (AA: 1-116) expressed in E. Coli. |
| Formulation | Purified antibody in PBS with 0.05% sodium azide |
Application |
|
|---|---|
| IHC | 1/200 - 1/1000 |
| FCM | 1/200 - 1/400 |
| ELISA | 1/10000 |
Product Image
-
Black line: Control Antigen (100 ng); Purple line: Antigen(10ng); Blue line: Antigen (50 ng); Red line: Antigen (100 ng);

-
Flow cytometric analysis of HepG2 cells using SST mouse mAb (green) and negative control (red).

-
Immunohistochemical analysis of paraffin-embedded human pancreas tissues using SST mouse mAb with DAB staining.

-
Immunohistochemical analysis of paraffin-embedded human lung cancer tissues using SST mouse mAb with DAB staining.

-
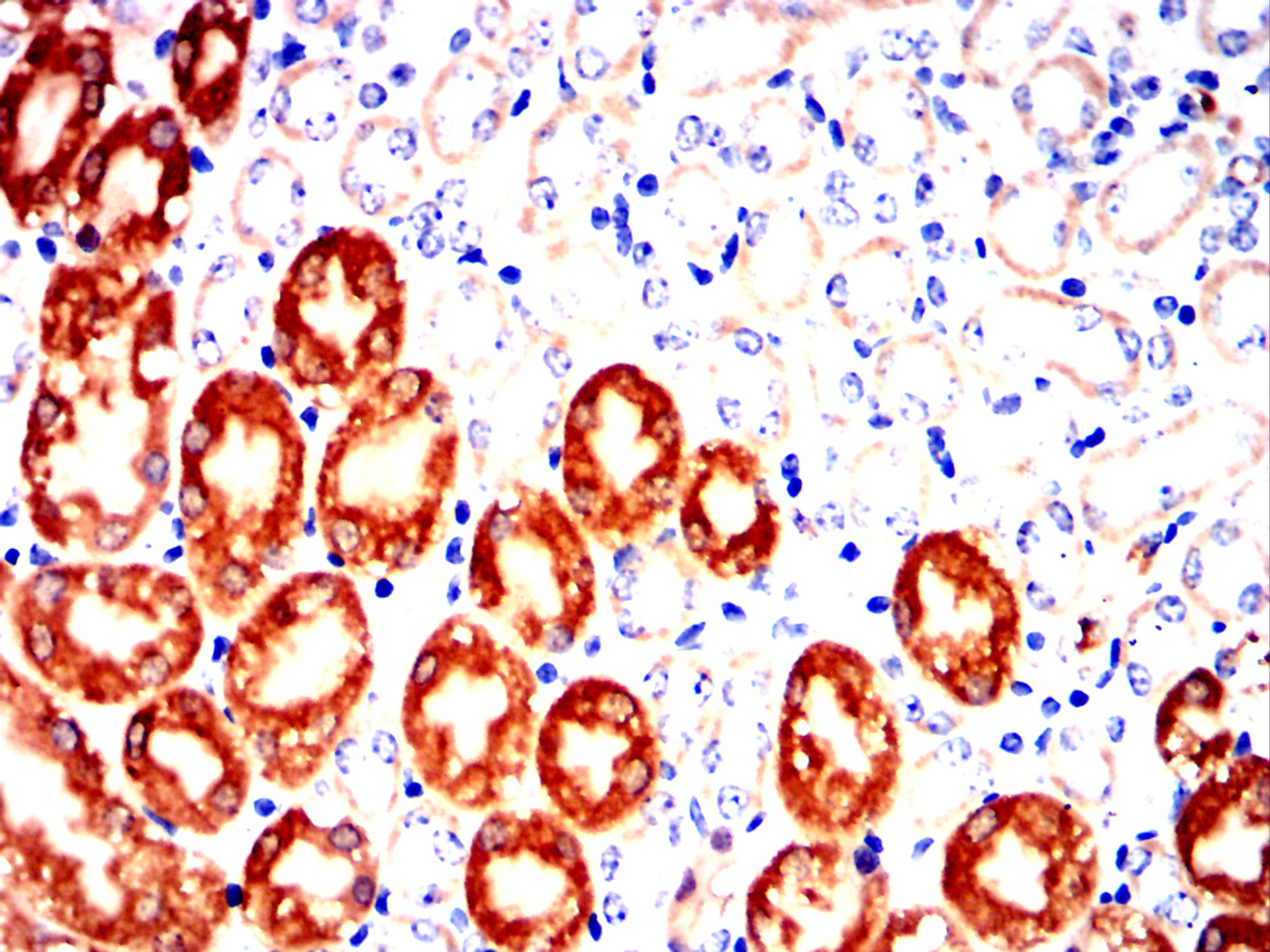
Immunohistochemical analysis of paraffin-embedded Mouse kidney using SST mouse mAb with DAB staining.

-
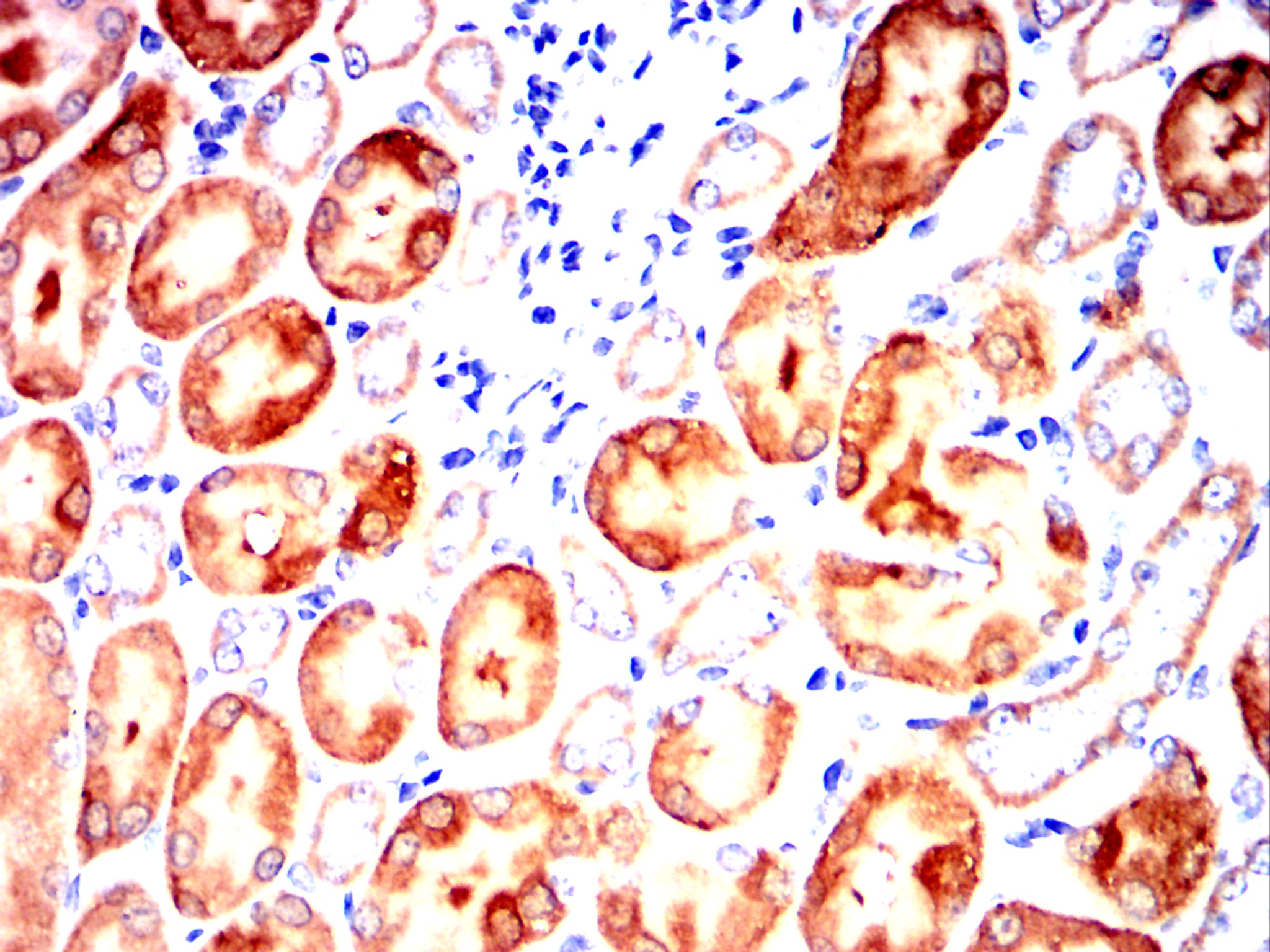
Immunohistochemical analysis of paraffin-embedded Rat kidney using SST mouse mAb with DAB staining.







鄂公网安备42018502007531号

