Mouse Monoclonal Antibody to PIK3R1
货号:
30402
别名:
p85; GRB1; p85-ALPHA
应用:
IHC,IF,FCM
反应种属:
Human,Mouse
抗体类型:
Primary antibody
Swissprot:
P27986
规格:
目录价
在线咨询
Description |
|---|
Phosphatidylinositol 3-kinase phosphorylates the inositol ring of phosphatidylinositol at the 3-prime position. The enzyme comprises a 110 kD catalytic subunit and a regulatory subunit of either 85, 55, or 50 kD. This gene encodes the 85 kD regulatory subunit. Phosphatidylinositol 3-kinase plays an important role in the metabolic actions of insulin, and a mutation in this gene has been associated with insulin resistance. Alternative splicing of this gene results in four transcript variants encoding different isoforms. |
References |
|---|
| 1.Cancer Epidemiol Biomarkers Prev. 2011 May;20(5):923-33. 2.Cancer Res. 2010 Jul 1;70(13):5305-15. |
Specification |
|
|---|---|
| Aliases | p85; GRB1; p85-ALPHA |
| Entrez GeneID | 5295 |
| Swissprot | P27986 |
| clone | 6G10 |
| WB Predicted band size | 83.6kDa |
| Host/Isotype | Mouse IgG1 |
| Antibody Type | Primary antibody |
| Storage | Store at 4°C short term. Aliquot and store at -20°C long term. Avoid freeze/thaw cycles. |
| Species Reactivity | Human,Mouse |
| Immunogen | Purified recombinant fragment of human PIK3R1 (AA: 159-388) expressed in E. Coli. |
| Formulation | Purified antibody in PBS with 0.05% sodium azide |
Application |
|
|---|---|
| IHC | 1/200 - 1/1000 |
| IF | 1/100 |
| FCM | 1/200 - 1/400 |
| ELISA | 1/10000 |
Product Image
-
Black line: Control Antigen (100 ng); Purple line: Antigen(10ng); Blue line: Antigen (50 ng); Red line: Antigen (100 ng);

-
Immunofluorescence analysis of HeLa cells using PIK3R1 mouse mAb (green). Blue: DRAQ5 fluorescent DNA dye. Red: Actin filaments have been labeled with Alexa Fluor-555 phalloidin.

-
Immunofluorescence analysis of HepG2 cells using PIK3R1 mouse mAb (green). Blue: DRAQ5 fluorescent DNA dye. Red: Actin filaments have been labeled with Alexa Fluor-555 phalloidin.

-
Flow cytometric analysis of NIH3T3 cells using PIK3R1 mouse mAb (green) and negative control (red).

-
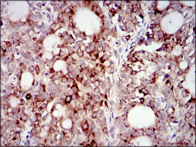
Immunohistochemical analysis of paraffin-embedded human cervical cancer tissues using PIK3R1 mouse mAb with DAB staining.

-
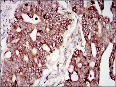
Immunohistochemical analysis of paraffin-embedded human rectum cancer tissues using PIK3R1 mouse mAb with DAB staining.







鄂公网安备42018502007531号

