Mouse Monoclonal Antibody to CSNK2A2
货号:
30405
别名:
CK2A2; CSNK2A1; FLJ43934
应用:
WB,IHC,FCM
反应种属:
Human,Mouse,Rat,Monkey,Rabbit
抗体类型:
Primary antibody
Swissprot:
P19784
规格:
目录价
在线咨询
Description |
|---|
Casein kinase II (CK2) is a constitutively active, ubiquitously expressed serine/threonine protein kinase that is thought to have a regulatory function in cell proliferation, cell differentiation and apoptosis. CK2 functions as a tetrameric complex consisting of two regulatory beta-subunits and two catalytic units (alpha and alpha') in a homomeric or heteromeric conformation. Whilst the alpha- and alpha'-subunits are catalytically identical, proteins that regulate CK2, such as cdc2 and Hsp90, preferentially bind to the alpha and not the alpha'-subunit. CK2 can phosphorylate a number of key intracellular signaling proteins implicated in tumor suppression (p53 and PTEN) and tumorigenesis (myc, jun, NF-kappaB). CK2 is also thought to influence Wnt signaling via beta-catenin phosphorylation and the PI 3-K signaling pathway via the phosphorylation of Akt. |
References |
|---|
| 1.Eur J Immunol. 2009 Jan;39(1):267-79. 2.Cell Mol Life Sci. 2009 Jan;66(2):339-49. |
Specification |
|
|---|---|
| Aliases | CK2A2; CSNK2A1; FLJ43934 |
| Entrez GeneID | 1459 |
| Swissprot | P19784 |
| clone | 1E1 |
| WB Predicted band size | 41.2kDa |
| Host/Isotype | Mouse IgG1 |
| Antibody Type | Primary antibody |
| Storage | Store at 4°C short term. Aliquot and store at -20°C long term. Avoid freeze/thaw cycles. |
| Species Reactivity | Human,Mouse,Rat,Monkey,Rabbit |
| Immunogen | Purified recombinant fragment of human CSNK2A2 (AA: 194-350) expressed in E. Coli. |
| Formulation | Purified antibody in PBS with 0.05% sodium azide. |
Application |
|
|---|---|
| WB | 1/500 - 1/2000 |
| IHC | 1/100 - 1/500 |
| FCM | 1/200 - 1/400 |
| ELISA | 1/10000 |
Product Image
-
Black line: Control Antigen (100 ng); Purple line: Antigen(10ng); Blue line: Antigen (50 ng); Red line: Antigen (100 ng);

-
Western blot analysis using CSNK2A2 mouse mAb against HeLa (1), MCF-7 (2), HepG2 (3), Jurkat (4), NIH3T3 (5), and PC-12 (6) cell lysate.

-
Western blot analysis using CSNK2A2 mouse mAb against mouse liver(1)PC-12(2)Raw264.7(3)NIH/3T3(4)NRK(5)C2C12(6)C6(7)L1210(8)F9(9)COS-7(10)CHO3D10(11) cell lysate.

-
Flow cytometric analysis of HepG2 cells using CSNK2A2 mouse mAb (green) and negative control (red).

-
Flow cytometric analysis of COS7 cells using CSNK2A2 mouse mAb (green) and negative control (red).

-
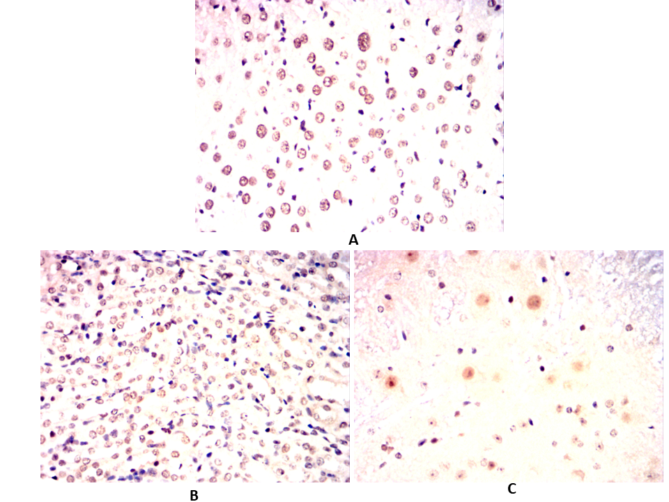
Immunohistochemical analysis of paraffin-embedded Mouse kidney(A)Mouse kidney(B)Mouse cerebellum(C) using CSNK2A2 mouse mAb with DAB staining.

-
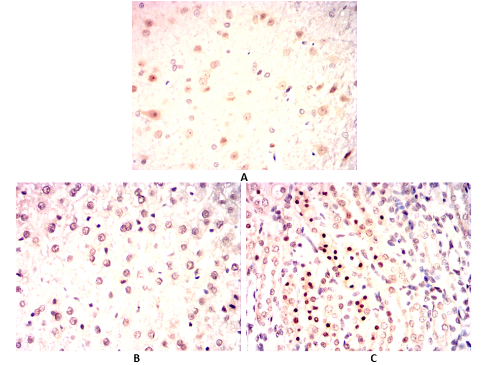
Immunohistochemical analysis of paraffin-embedded Rat kidney(A)Rat kidney(B)Rat brain(C) using CSNK2A2 mouse mAb with DAB staining.

-
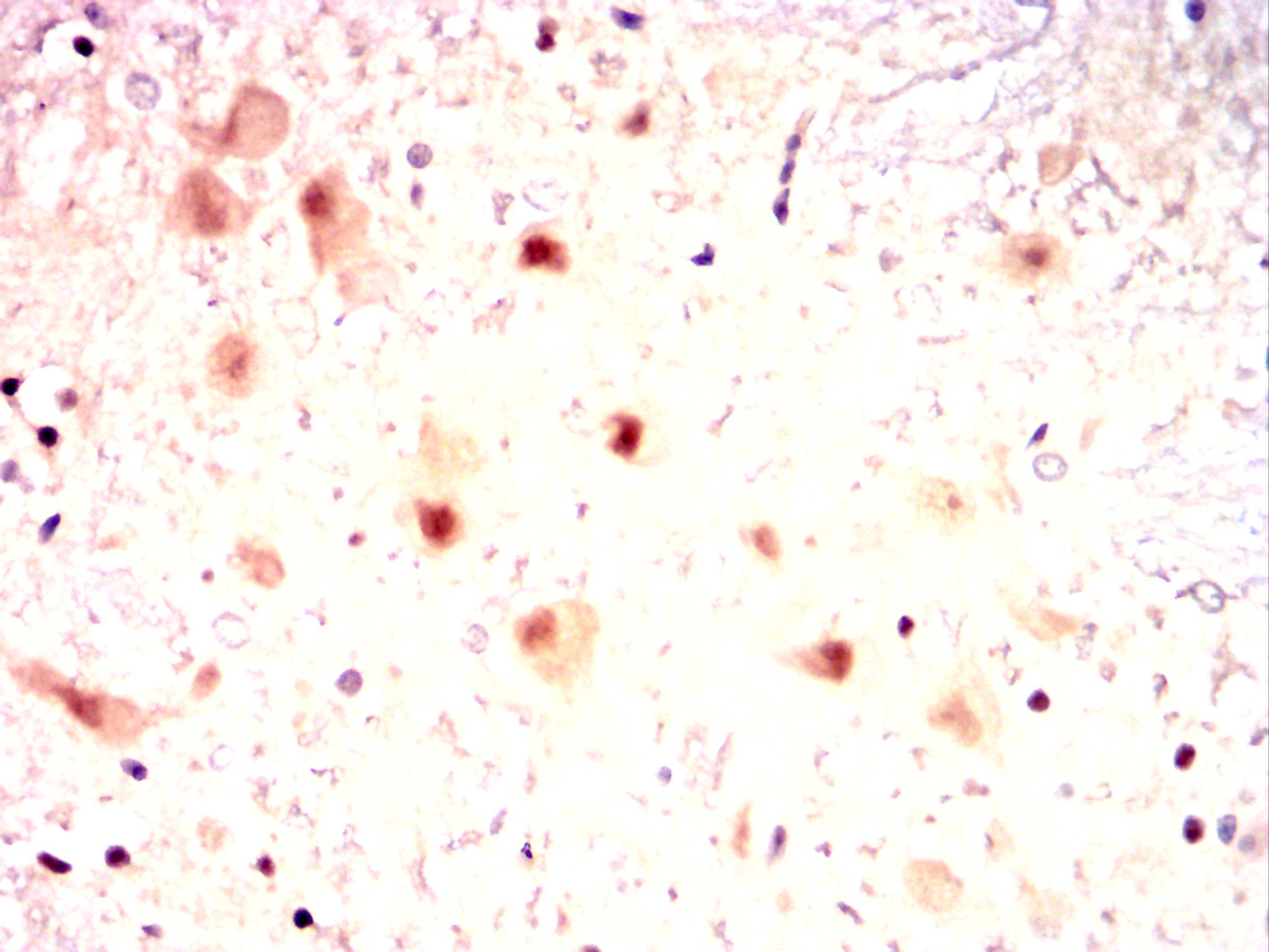
Immunohistochemical analysis of paraffin-embedded Rabbit spinal cord using CSNK2A2 mouse mAb with DAB staining.









鄂公网安备42018502007531号

