Mouse Monoclonal Antibody to SPIB
货号:
30404
别名:
SPI-B
应用:
WB,IHC,IF,FCM
反应种属:
Human,Mouse
抗体类型:
Primary antibody
Swissprot:
Q01892
规格:
目录价
在线咨询
Description |
|---|
The protein encoded by this gene is a transcriptional activator that binds to the PU-box (5'-GAGGAA-3') and acts as a lymphoid-specific enhancer. Four transcript variants encoding different isoforms have been found for this gene. |
References |
|---|
| 1.J Gen Virol. 2010 Dec;91(Pt 12):3042-52. 2.Eur J Immunol. 2008 Sep;38(9):2389-400. |
Specification |
|
|---|---|
| Aliases | SPI-B |
| Entrez GeneID | 6689 |
| Swissprot | Q01892 |
| clone | 4G5 |
| WB Predicted band size | 28.8kDa |
| Host/Isotype | Mouse IgG1 |
| Antibody Type | Primary antibody |
| Storage | Store at 4°C short term. Aliquot and store at -20°C long term. Avoid freeze/thaw cycles. |
| Species Reactivity | Human,Mouse |
| Immunogen | Purified recombinant fragment of human SPIB (AA: 200-252) expressed in E. Coli. |
| Formulation | Purified antibody in PBS with 0.05% sodium azide. |
Application |
|
|---|---|
| WB | 1/500 - 1/2000 |
| IHC | 1/200 - 1/1000 |
| IF | 1/200 - 1/1000 |
| FCM | 1/200 - 1/400 |
| ELISA | 1/10000 |
Product Image
-
Black line: Control Antigen (100 ng); Purple line: Antigen(10ng); Blue line: Antigen (50 ng); Red line: Antigen (100 ng);

-
Western blot analysis using SPIB mouse mAb against A549 (1), PC-3 (2), and NIH3T3 (3) cell lysate.

-
Immunofluorescence analysis of HeLa cells using SPIB mouse mAb (green). Blue: DRAQ5 fluorescent DNA dye. Red: Actin filaments have been labeled with Alexa Fluor-555 phalloidin.

-
Flow cytometric analysis of NIH3T3 cells using SPIB mouse mAb (green) and negative control (red).

-
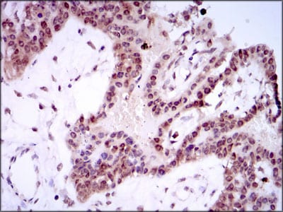
Immunohistochemical analysis of paraffin-embedded human ovarian cancer tissues using SPIB mouse mAb with DAB staining.

-
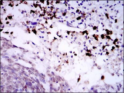
Immunohistochemical analysis of paraffin-embedded human esophageal cancerwith DAB staining.







鄂公网安备42018502007531号

