Mouse Monoclonal Antibody to TWF1
货号:
30407
别名:
A6; PTK9; MGC23788; MGC41876
应用:
IHC,IF,FCM
反应种属:
Human
抗体类型:
Primary antibody
Swissprot:
Q12792
规格:
目录价
在线咨询
Description |
|---|
This gene encodes twinfilin, an actin monomer-binding protein conserved from yeast to mammals. Studies of the mouse counterpart suggest that this protein may be an actin monomer-binding protein, and its localization to cortical G-actin-rich structures may be regulated by the small GTPase RAC1. |
References |
|---|
| 1.Cancer Epidemiol Biomarkers Prev. 2010 May;19(5):1356-61. 2.Cancer Epidemiol Biomarkers Prev. 2009 May;18(5):1651-8. |
Specification |
|
|---|---|
| Aliases | A6; PTK9; MGC23788; MGC41876 |
| Entrez GeneID | 5756 |
| Swissprot | Q12792 |
| clone | 7C11 |
| WB Predicted band size | 40.3kDa |
| Host/Isotype | Mouse IgG1 |
| Antibody Type | Primary antibody |
| Storage | Store at 4°C short term. Aliquot and store at -20°C long term. Avoid freeze/thaw cycles. |
| Species Reactivity | Human |
| Immunogen | Purified recombinant fragment of human TWF1 (AA: 335-384 ) expressed in E. Coli. |
| Formulation | Purified antibody in PBS with 0.05% sodium azide |
Application |
|
|---|---|
| IHC | 1/200 - 1/1000 |
| IF | 1/100 |
| FCM | 1/200 - 1/400 |
| ELISA | 1/10000 |
Product Image
-
Black line: Control Antigen (100 ng); Purple line: Antigen(10ng); Blue line: Antigen (50 ng); Red line: Antigen (100 ng);

-
Immunofluorescence analysis of HeLa cells using TWF1 mouse mAb (green). Blue: DRAQ5 fluorescent DNA dye.

-
Flow cytometric analysis of HeLa cells using TWF1 mouse mAb (green) and negative control (red).

-
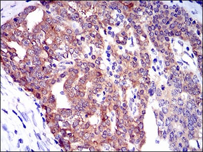
Immunohistochemical analysis of paraffin-embedded human bladder cancer tissues using TWF1 mouse mAb with DAB staining.

-
Immunohistochemical analysis of paraffin-embedded human ovarian cancer tissues using TWF1 mouse mAb with DAB staining.






鄂公网安备42018502007531号

