Mouse Monoclonal Antibody to NR6A1
货号:
30392
别名:
RTR; GCNF; NR61; GCNF1
应用:
WB,IHC,IF,FCM
反应种属:
Human
抗体类型:
Primary antibody
Swissprot:
Q15406
规格:
目录价
在线咨询
Description |
|---|
This gene encodes an orphan nuclear receptor which is a member of the nuclear hormone receptor family. Its expression pattern suggests that it may be involved in neurogenesis and germ cell development. The protein can homodimerize and bind DNA, but in vivo targets have not been identified. The gene expresses at least alternatively spliced transcript variants. |
References |
|---|
| 1.Biochem Biophys Res Commun. 2010 Dec 10;403(2):178-83. 2.Cell. 2005 Sep 23;122(6):957-68. |
Specification |
|
|---|---|
| Aliases | RTR; GCNF; NR61; GCNF1 |
| Entrez GeneID | 2649 |
| Swissprot | Q15406 |
| clone | 4G8 |
| WB Predicted band size | 54.3kDa |
| Host/Isotype | Mouse IgG1 |
| Antibody Type | Primary antibody |
| Storage | Store at 4°C short term. Aliquot and store at -20°C long term. Avoid freeze/thaw cycles. |
| Species Reactivity | Human |
| Immunogen | Purified recombinant fragment of human NR6A1 (AA: 65-118) expressed in E. Coli. |
| Formulation | Purified antibody in PBS with 0.05% sodium azide |
Application |
|
|---|---|
| WB | 1/500 - 1/2000 |
| IHC | 1/200 - 1/1000 |
| IF | 1/400 |
| FCM | 1/200 - 1/400 |
| ELISA | 1/10000 |
Product Image
-
Black line: Control Antigen (100 ng); Purple line: Antigen(10ng); Blue line: Antigen (50 ng); Red line: Antigen (100 ng);

-
Western blot analysis using NR6A1 mouse mAb against K562 (1), NTERA-2 (2), HEK293 (3), HUVE-12 (4), and HeLa (5) cell lysate.

-
Immunofluorescence analysis of HepG2 cells using NR6A1 mouse mAb (green). Blue: DRAQ5 fluorescent DNA dye.

-
Flow cytometric analysis of K562 cells using NR6A1 mouse mAb (green) and negative control (red).

-
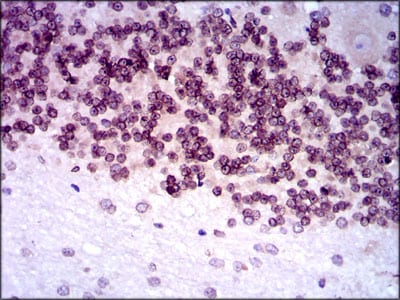
Immunohistochemical analysis of paraffin-embedded human cerebellum tissues using NR6A1 mouse mAb with DAB staining.

-
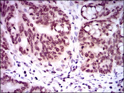
Immunohistochemical analysis of paraffin-embedded human rectum cancer tissues using NR6A1 mouse mAb with DAB staining.







鄂公网安备42018502007531号

