Mouse Monoclonal Antibody to DCX
货号:
30381
别名:
DC; DBCN; LISX; SCLH; XLIS
应用:
WB,IHC,IF,FCM
反应种属:
Human,Mouse,Rat,Rabbit,Monkey
抗体类型:
Primary antibody
Swissprot:
O43602
规格:
目录价
在线咨询
Description |
|---|
This gene encodes a member of the doublecortin family. The protein encoded by this gene is a cytoplasmic protein and contains two doublecortin domains, which bind microtubules. In the developing cortex, cortical neurons must migrate over long distances to reach the site of their final differentiation. The encoded protein appears to direct neuronal migration by regulating the organization and stability of microtubules. In addition, the encoded protein interacts with LIS1, the regulatory gamma subunit of platelet activating factor acetylhydrolase, and this interaction is important to proper microtubule function in the developing cortex. Mutations in this gene cause abnormal migration of neurons during development and disrupt the layering of the cortex, leading to epilepsy, mental retardation, subcortical band heterotopia ("double cortex" syndrome) in females and lissencephaly ("smooth brain" syndrome) in males. Multiple transcript variants encoding different isoforms have been found for this gene. |
References |
|---|
| 1.FASEB J. 2009 Dec;23(12):4276-87. 2.J Cell Biol. 2010 Nov 1;191(3):463-70. |
Specification |
|
|---|---|
| Aliases | DC; DBCN; LISX; SCLH; XLIS |
| Entrez GeneID | 1641 |
| Swissprot | O43602 |
| clone | 2G5 |
| WB Predicted band size | 49.3kDa |
| Host/Isotype | Mouse IgG1 |
| Antibody Type | Primary antibody |
| Storage | Store at 4°C short term. Aliquot and store at -20°C long term. Avoid freeze/thaw cycles. |
| Species Reactivity | Human,Mouse,Rat,Rabbit,Monkey |
| Immunogen | Purified recombinant fragment of human DCX (AA: 362-411) expressed in E. Coli. |
| Formulation | Purified antibody in PBS with 0.05% sodium azide |
Application |
|
|---|---|
| WB | 1/500 - 1/2000 |
| IHC | 1/200 - 1/1000 |
| IF | 1/200 - 1/1000 |
| FCM | 1/200 - 1/400 |
| ELISA | 1/10000 |
Product Image
-
Black line: Control Antigen (100 ng); Purple line: Antigen(10ng); Blue line: Antigen (50 ng); Red line: Antigen (100 ng);

-
Western blot analysis using DCX mouse mAb against Mouse heart (1) lysate.

-
Immunofluorescence analysis of HepG2 cells using DCX mouse mAb (green). Blue: DRAQ5 fluorescent DNA dye.

-
Immunofluorescence analysis of NIH/3T3 cells using DCX mouse mAb (green). Blue: DRAQ5 fluorescent DNA dye. Red: Actin filaments have been labeled with Alexa Fluor- 555 phalloidin.

-
Immunofluorescence analysis of RSC-96 cells using DCX mouse mAb (green). Blue: DRAQ5 fluorescent DNA dye. Red: Actin filaments have been labeled with Alexa Fluor- 555 phalloidin.

-
Flow cytometric analysis of SK-N-SH cells using DCX mouse mAb (green) and negative control (red).

-
Flow cytometric analysis of Hela cells using DCX mouse mAb (green) and negative control (red).

-
Flow cytometric analysis of C6 cells using DCX mouse mAb (green) and negative control (red).

-
Flow cytometric analysis of NIH/3T3 cells using DCX mouse mAb (green) and negative control (red).

-
Flow cytometric analysis of COS7 cells using DCX mouse mAb (green) and negative control (red).

-
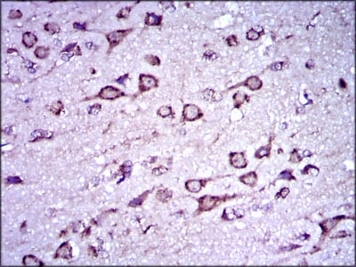
Immunohistochemical analysis of paraffin-embedded human brain tissue tissues using DCX mouse mAb with DAB staining.

-
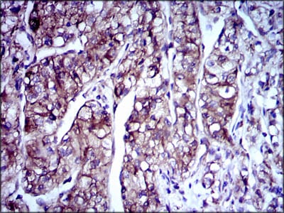
Immunohistochemical analysis of paraffin-embedded human kidney cancer tissues using DCX mouse mAb with DAB staining.

-
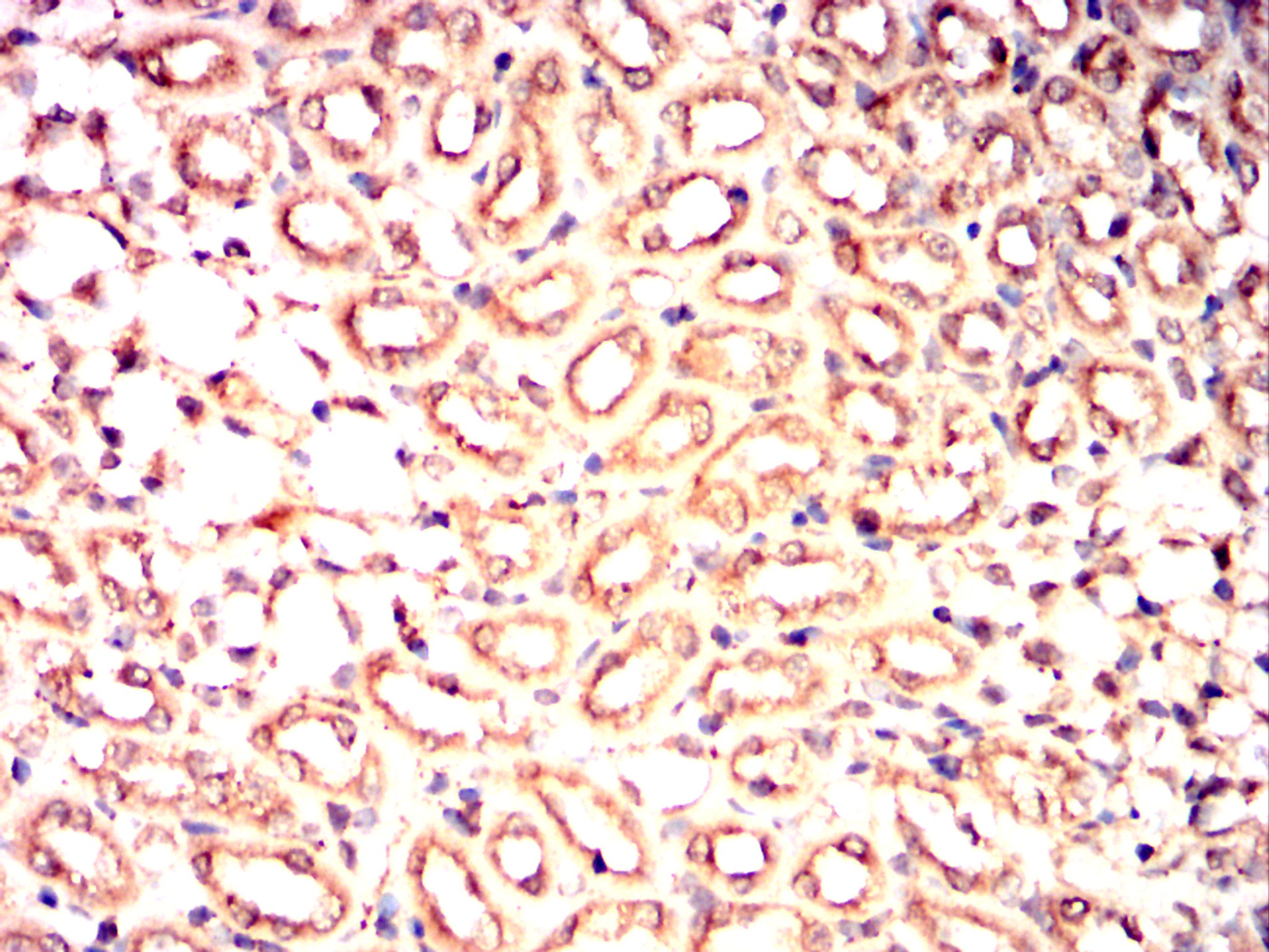
Immunohistochemical analysis of paraffin-embedded Mouse kidney using DCX mouse mAb with DAB staining.

-
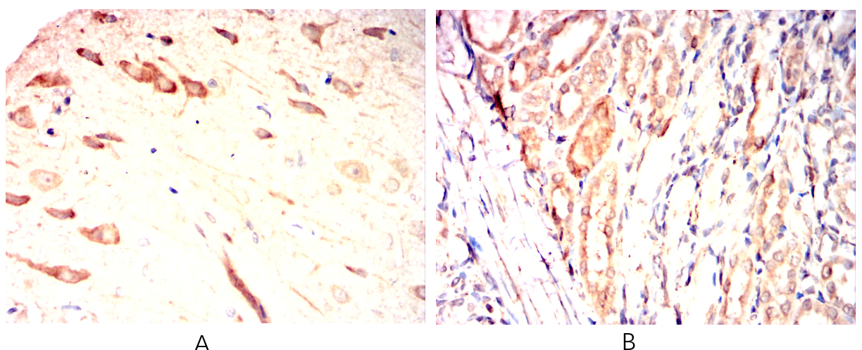
Immunohistochemical analysis of paraffin-embedded Rat brain(A)Rat kidney(B) using DCX mouse mAb with DAB staining.

-
Immunohistochemical analysis of paraffin-embedded Rabbit brain(A)Rabbit kidney(B) using DCX mouse mAb with DAB staining.
















鄂公网安备42018502007531号

