Mouse Monoclonal Antibody to PLK1
货号:
30396
别名:
PLK;STPK13
应用:
WB,IHC,FCM
反应种属:
Human,Mouse,Rat,Monkey
抗体类型:
Primary antibody
Swissprot:
P53350
规格:
目录价
在线咨询
Description |
|---|
Polo-like kinase 1 (Plk1) plays key roles in many aspects of mitosis. Suppression of Plk1 by p21(Waf1) is responsible for p53-dependent protection against adriamycin-induced caspase-independent mitotic death. |
References |
|---|
| 1.Cell Signal. 2011 Nov;23(11):1816-23. 2.Biochem Biophys Res Commun. 2011 Jun 24;410(1):57-61. |
Specification |
|
|---|---|
| Aliases | PLK;STPK13 |
| Entrez GeneID | 5347 |
| Swissprot | P53350 |
| clone | 3C11 |
| WB Predicted band size | 68kDa |
| Host/Isotype | Mouse IgG1 |
| Antibody Type | Primary antibody |
| Storage | Store at 4°C short term. Aliquot and store at -20°C long term. Avoid freeze/thaw cycles. |
| Species Reactivity | Human,Mouse,Rat,Monkey |
| Immunogen | Purified recombinant fragment of human PLK1 (AA: 331-508) expressed in E. Coli. |
| Formulation | Purified antibody in PBS with 0.05% sodium azide |
Application |
|
|---|---|
| WB | 1/500 - 1/2000 |
| IHC | 1/100 - 1/500 |
| FCM | 1/200 - 1/400 |
| ELISA | 1/10000 |
Product Image
-
Black line: Control Antigen (100 ng); Purple line: Antigen(10ng); Blue line: Antigen (50 ng); Red line: Antigen (100 ng);

-
Western blot analysis using PLK1 mouse mAb against K562 (1) and Raji (2) cell lysate.

-
Western blot analysis using PLK1 mouse mAb against NIH/3T3(1)NRK(2)C6(3)COS-7(4)CHO3D10(5) cell lysate.

-
Flow cytometric analysis of NIH3T3 cells using PLK1 mouse mAb (green) and negative control (red).

-
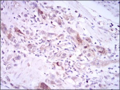
Immunohistochemical analysis of paraffin-embedded human stomach cancer tissues using PLK1 mouse mAb with DAB staining.

-
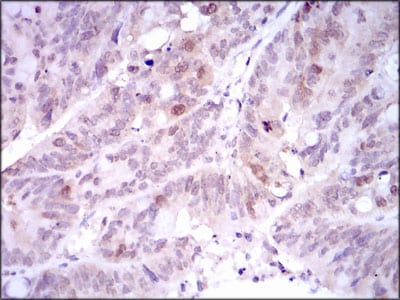
Immunohistochemical analysis of paraffin-embedded human rectum cancer tissues using PLK1 mouse mAb with DAB staining.







鄂公网安备42018502007531号

