Mouse Monoclonal Antibody to MAP1LC3B
货号:
30363
别名:
LC3B; ATG8F; MAP1A/1BLC3
应用:
IHC,IF,FCM
反应种属:
Human,Mouse,Rat,Monkey
抗体类型:
Primary antibody
Swissprot:
Q9GZQ8
规格:
目录价
在线咨询
Description |
|---|
The product of this gene is a subunit of neuronal microtubule-associated MAP1A and MAP1B proteins, which are involved in microtubule assembly and important for neurogenesis. Studies on the rat homolog implicate a role for this gene in autophagy, a process that involves the bulk degradation of cytoplasmic component. |
References |
|---|
| 1. J Clin Lab Anal. 2009;23(4):249-58. 2. Ai Zheng. 2008 Jan;27(1):25-9. |
Specification |
|
|---|---|
| Aliases | LC3B; ATG8F; MAP1A/1BLC3 |
| Entrez GeneID | 81631 |
| Swissprot | Q9GZQ8 |
| clone | 5H12 |
| WB Predicted band size | 14.6kDa |
| Host/Isotype | Mouse IgG1 |
| Antibody Type | Primary antibody |
| Storage | Store at 4°C short term. Aliquot and store at -20°C long term. Avoid freeze/thaw cycles. |
| Species Reactivity | Human,Mouse,Rat,Monkey |
| Immunogen | Purified recombinant fragment of human MAP1LC3B expressed in E. Coli. |
| Formulation | Ascitic fluid containing 0.03% sodium azide. |
Application |
|
|---|---|
| IHC | 1/50-1/100 |
| IF | 1/50-1/100 |
| FCM | 1/200 - 1/400 |
| ELISA | 1/10000 |
Product Image
-
Black line: Control Antigen (100 ng); Purple line: Antigen(10ng); Blue line: Antigen (50 ng); Red line: Antigen (100 ng);

-
Immunofluorescence analysis of Hela cells using MAP1LC3B mouse mAb (green). Blue: DRAQ5 fluorescent DNA dye. Red: Actin filaments have been labeled with Alexa Fluor- 555 phalloidin.

-
Flow cytometric analysis of HeLa cells using MAP1LC3B mouse mAb (green) and negative control (red).

-
Flow cytometric analysis of C6 cells using MAP1LC3B mouse mAb (green) and negative control (red).

-
Flow cytometric analysis of NIH/3T3 cells using MAP1LC3B mouse mAb (green) and negative control (red).

-
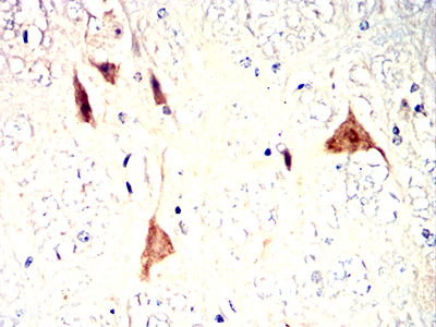
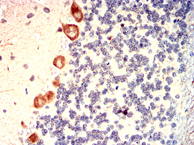
Immunohistochemical analysis of paraffin-embedded Mouse cerebellum using MAP1LC3B mouse mAb with DAB staining.

-
Immunohistochemical analysis of paraffin-embedded Rat cerebellum using MAP1LC3B mouse mAb with DAB staining.








鄂公网安备42018502007531号

