Mouse Monoclonal Antibody to EIF4B
货号:
30365
别名:
EIF-4B; PRO1843
应用:
WB,IHC,IF,FCM
反应种属:
Human,Mouse
抗体类型:
Primary antibody
Swissprot:
P23588
规格:
目录价
在线咨询
Description |
|---|
The eukaryotic translation initiation factor 4B (eIF4B) plays a critical role in recruiting the 40S ribosomal subunit to the mRNA.It functions in close association with eIF4F and eIF4A. It binds near the 5'-terminal cap of mRNA in the presence of eIF4F and ATP. It promotes the ATPase activity and the ATP-dependent RNA unwinding activity of both eIF4A and eIF4F |
References |
|---|
| 1. Mol Biol Cell. 2009 Jun;20(11):2673-83. 2. EMBO J. 2006 Jun 21;25(12):2781-91. |
Specification |
|
|---|---|
| Aliases | EIF-4B; PRO1843 |
| Entrez GeneID | 1975 |
| Swissprot | P23588 |
| clone | 1F5 |
| WB Predicted band size | 80kDa |
| Host/Isotype | Mouse IgG2b |
| Antibody Type | Primary antibody |
| Storage | Store at 4°C short term. Aliquot and store at -20°C long term. Avoid freeze/thaw cycles. |
| Species Reactivity | Human,Mouse |
| Immunogen | Purified recombinant fragment of human EIF4B expressed in E. Coli. |
| Formulation | Purified antibody in PBS with 0.05% sodium azide |
Application |
|
|---|---|
| WB | 1/500 - 1/2000 |
| IHC | 1/200 - 1/1000 |
| IF | 1/200 - 1/1000 |
| FCM | 1/200 - 1/400 |
| ELISA | 1/10000 |
Product Image
-
Black line: Control Antigen (100 ng); Purple line: Antigen(10ng); Blue line: Antigen (50 ng); Red line: Antigen (100 ng);

-
Western blot analysis using EIF4B mouse mAb against A549 (1), A431 (2), HepG2 (3), HEK293 (4), HeLa (5), Jurkat (6), K562 (7), NIH3T3 (8), and MCF-7 (9) cell lysate.

-
Immunofluorescence analysis of NIH3T3 cells using EIF4B mouse mAb (green). Blue: DRAQ5 fluorescent DNA dye. Red: Actin filaments have been labeled with Alexa Fluor-555 phalloidin.

-
Flow cytometric analysis of HeLa cells using EIF4B mouse mAb (green) and negative control (red).

-
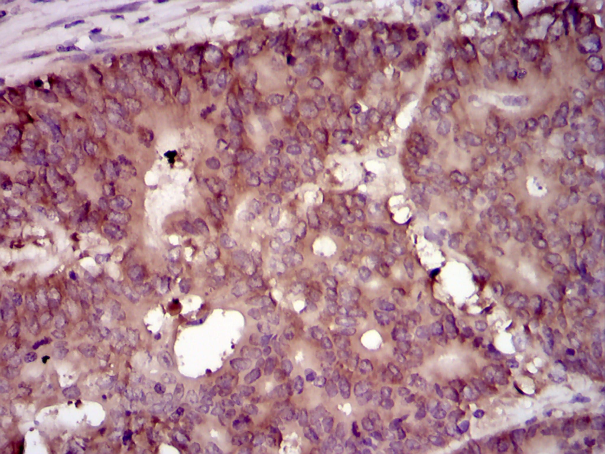
Immunohistochemical analysis of paraffin-embedded human colon cancer tissues using EIF4B mouse mAb with DAB staining.






鄂公网安备42018502007531号

