Mouse Monoclonal Antibody to NOS2
货号:
30368
别名:
NOS; INOS; NOS2A; HEP-NOS
应用:
WB,IHC,FCM
反应种属:
Human,Mouse,Rat,Monkey
抗体类型:
Primary antibody
Swissprot:
P35228
规格:
目录价
在线咨询
Description |
|---|
Nitric oxide is a reactive free radical which acts as a biologic mediator in several processes, including neurotransmission and antimicrobial and antitumoral activities. This gene encodes a nitric oxide synthase which is expressed in liver and is inducible by a combination of lipopolysaccharide and certain cytokines. Three related pseudogenes are located within the Smith-Magenis syndrome region on chromosome 17. |
References |
|---|
| 1. Pediatr Allergy Immunol. 2010 Dec;21(8):1151-6. 2. J Biol Chem. 2010 Dec 31;285(53):41422-31. |
Specification |
|
|---|---|
| Aliases | NOS; INOS; NOS2A; HEP-NOS |
| Entrez GeneID | 4843 |
| Swissprot | P35228 |
| clone | 4E5 |
| WB Predicted band size | 131kDa |
| Host/Isotype | Mouse IgG1 |
| Antibody Type | Primary antibody |
| Storage | Store at 4°C short term. Aliquot and store at -20°C long term. Avoid freeze/thaw cycles. |
| Species Reactivity | Human,Mouse,Rat,Monkey |
| Immunogen | Purified recombinant fragment of human NOS2 expressed in E. Coli. |
| Formulation | Purified antibody in PBS with 0.05% sodium azide |
Application |
|
|---|---|
| WB | 1/500 - 1/2000 |
| IHC | 1/200 - 1/1000 |
| FCM | 1/200 - 1/400 |
| ELISA | 1/10000 |
Product Image
-
Black line: Control Antigen (100 ng); Purple line: Antigen(10ng); Blue line: Antigen (50 ng); Red line: Antigen (100 ng);

-
Western blot analysis using NOS2 mouse mAb against Jurkat (1), Jurkat (2), A549 (3), HeLa (4), NIH3T3 (5)and MCF-7 (6) cell lysate.

-
Flow cytometric analysis of MCF-7 cells using NOS2 mouse mAb (green) and negative control (red).

-
Flow cytometric analysis of Hela cells using NOS2 mouse mAb (green) and negative control (red).

-
Flow cytometric analysis of C6 cells using NOS2 mouse mAb (green) and negative control (red).

-
Flow cytometric analysis of NIH/3T3 cells using NOS2 mouse mAb (green) and negative control (red).

-
Flow cytometric analysis of COS7 cells using NOS2 mouse mAb (green) and negative control (red).

-
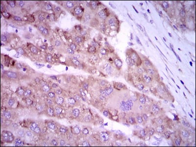
Immunohistochemical analysis of paraffin-embedded human liver cancer tissues using NOS2 mouse mAb with DAB staining.

-
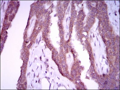
Immunohistochemical analysis of paraffin-embedded human breast cancer tissues using NOS2 mouse mAb with DAB staining.










鄂公网安备42018502007531号

