Mouse Monoclonal Antibody to RAB4A
货号:
30370
别名:
RAB4; HRES-1/RAB4
应用:
WB,IHC,FCM
反应种属:
Human,Mouse,Monkey
抗体类型:
Primary antibody
Swissprot:
P20338
规格:
目录价
在线咨询
Description |
|---|
The protein encoded by this gene belongs to the rab family. Rab4A protein is involved in the regulation of procathepsin L secretion, it was either inhibited by expression of a Rab4A dominant-negative mutant or increased by overexpression of the wild-type Rab4A in human melanoma cells. |
References |
|---|
| 1. Biochem J. 2011 Jul 1;437(1):97-107. 2. Int J Cancer. 2011 Jan 1;128(1):192-205. |
Specification |
|
|---|---|
| Aliases | RAB4; HRES-1/RAB4 |
| Entrez GeneID | 5867 |
| Swissprot | P20338 |
| clone | 4E11 |
| WB Predicted band size | 23.8kDa |
| Host/Isotype | Mouse IgG1 |
| Antibody Type | Primary antibody |
| Storage | Store at 4°C short term. Aliquot and store at -20°C long term. Avoid freeze/thaw cycles. |
| Species Reactivity | Human,Mouse,Monkey |
| Immunogen | Purified recombinant fragment of human RAB4A expressed in E. Coli. |
| Formulation | Purified antibody in PBS with 0.05% sodium azide |
Application |
|
|---|---|
| WB | 1/500 - 1/2000 |
| IHC | 1/200 - 1/1000 |
| FCM | 1/200 - 1/400 |
| ELISA | 1/10000 |
Product Image
-
Black line: Control Antigen (100 ng); Purple line: Antigen(10ng); Blue line: Antigen (50 ng); Red line: Antigen (100 ng);

-
Western blot analysis using RAB4A mouse mAb against Jurkat (1), HeLa (2), A549 (3), HEK293 (4), K562 (5), NIH3T3 (6), PC-12 (7), and COS7 (8) cell lysate.

-
Flow cytometric analysis of MCF-7 cells using RAB4A mouse mAb (green) and negative control (red).

-
Immunohistochemical analysis of paraffin-embedded human lung cancer tissues using RAB4A mouse mAb with DAB staining.

-
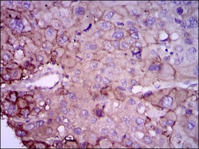
Immunohistochemical analysis of paraffin-embedded human liver cancer tissues using RAB4A mouse mAb with DAB staining.






鄂公网安备42018502007531号

