Mouse Monoclonal Antibody to mouse Splunc2
货号:
30359
别名:
应用:
IHC,IF,FCM
反应种属:
Human
抗体类型:
Primary antibody
Swissprot:
P07743
规格:
目录价
在线咨询
Description |
|---|
N/A |
Specification |
|
|---|---|
| Entrez GeneID | 19194 |
| Swissprot | P07743 |
| clone | 1F12 |
| Host/Isotype | Mouse IgG1 |
| Antibody Type | Primary antibody |
| Storage | Store at 4°C short term. Aliquot and store at -20°C long term. Avoid freeze/thaw cycles. |
| Species Reactivity | Human |
| Immunogen | Purified recombinant fragment of mouse Splunc2 expressed in E. Coli. |
| Formulation | Purified antibody in PBS with 0.05% sodium azide |
Application |
|
|---|---|
| IHC | 1/200 - 1/1000 |
| IF | 1/200 - 1/1000 |
| FCM | 1/200 - 1/400 |
| ELISA | 1/10000 |
Product Image
-
Black line: Control Antigen (100 ng); Purple line: Antigen(10ng); Blue line: Antigen (50 ng); Red line: Antigen (100 ng);

-
Immunofluorescence analysis of HepG2 cells. Blue: DRAQ5 fluorescent DNA dye. Red: Actin filaments have been labeled with Alexa Fluor-555 phalloidin.

-
Immunofluorescence analysis of HepG2 cells using mouse Splunc2 mouse mAb (green). Red: Actin filaments have been labeled with Alexa Fluor-555 phalloidin.

-
Flow cytometric analysis of HeLa cells using mouse Splunc2 mouse mAb (green) and negative control (red).

-
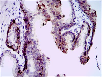
Immunohistochemical analysis of paraffin-embedded human prostate tissues using mouse Splunc2 mouse mAb with DAB staining.

-
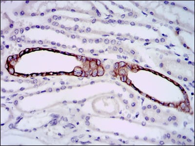
Immunohistochemical analysis of paraffin-embedded human kidney tissues using mouse Splunc2 mouse mAb with DAB staining.







鄂公网安备42018502007531号

