Mouse Monoclonal Antibody to PBK
货号:
30329
别名:
SPK; CT84; TOPK; Nori-3
应用:
WB,IHC,IF,FCM
反应种属:
Human
抗体类型:
Primary antibody
Swissprot:
Q96KB5
规格:
目录价
在线咨询
Description |
|---|
This genes encodes a serine/threonine kinase related to the dual specific mitogen-activated protein kinase kinase (MAPKK) family. Evidence suggests that mitotic phosphorylation is required for its catalytic activity. This mitotic kinase may be involved in the activation of lymphoid cells and support testicular functions, with a suggested role in the process of spermatogenesis. |
References |
|---|
| Cancer Res. 2007 Jun 1;67(11):5186-94 Cancer Sci. 2010 Feb;101(2):403-11 |
Specification |
|
|---|---|
| Aliases | SPK; CT84; TOPK; Nori-3 |
| Entrez GeneID | 55872 |
| Swissprot | Q96KB5 |
| clone | 2C8 |
| WB Predicted band size | 36kDa |
| Host/Isotype | Mouse IgG2b |
| Antibody Type | Primary antibody |
| Storage | Store at 4°C short term. Aliquot and store at -20°C long term. Avoid freeze/thaw cycles. |
| Species Reactivity | Human |
| Immunogen | Purified recombinant fragment of human PBK expressed in E. Coli. |
| Formulation | Ascitic fluid containing 0.03% sodium azide. |
Application |
|
|---|---|
| WB | 1/500 - 1/2000 |
| IHC | 1/200 - 1/1000 |
| IF | 1/200 - 1/1000 |
| FCM | 1/200 - 1/400 |
| ELISA | 1/10000 |
Product Image
-
Black line: Control Antigen (100 ng); Purple line: Antigen(10ng); Blue line: Antigen (50 ng); Red line: Antigen (100 ng);

-
Western blot analysis using PBK mouse mAb against A431 (1) cell lysate.

-
Immunofluorescence analysis of Hela cells using PBK mouse mAb (green). Blue: DRAQ5 fluorescent DNA dye. Red: Actin filaments have been labeled with Alexa Fluor-555 phalloidin.

-
Flow cytometric analysis of Hela cells using PBK mouse mAb (green) and negative control (red).

-
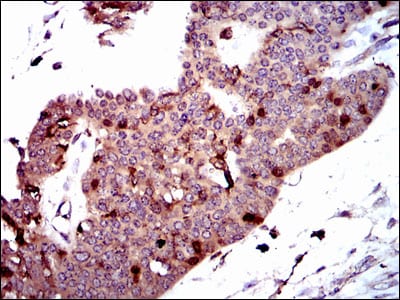
Immunohistochemical analysis of paraffin-embedded human ovarian cancer tissues using PBK mouse mAb with DAB staining.

-
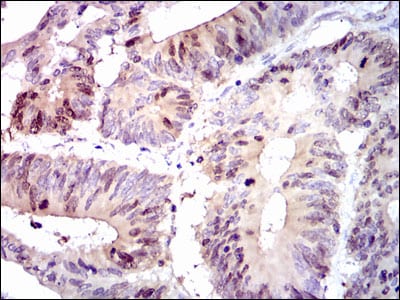
Figure5: Immunohistochemical analysis of paraffin-embedded human colon cancer tissues using PBK mouse mAb with DAB staining.







鄂公网安备42018502007531号

