Mouse Monoclonal Antibody to CDK2
货号:
30341
别名:
p33
应用:
WB,IHC,IF,FCM
反应种属:
Human,Mouse
抗体类型:
Primary antibody
Swissprot:
P24941
规格:
目录价
在线咨询
Description |
|---|
The protein encoded by this gene is a member of the Ser/Thr protein kinase family. This protein kinase is highly similar to the gene products of S. cerevisiae cdc28, and S. pombe cdc2. It is a catalytic subunit of the cyclin-dependent protein kinase complex, whose activity is restricted to the G1-S phase, and essential for cell cycle G1/S phase transition. This protein associates with and regulated by the regulatory subunits of the complex including cyclin A or E, CDK inhibitor p21Cip1 (CDKN1A) and p27Kip1 (CDKN1B). Its activity is also regulated by its protein phosphorylation. Two alternatively spliced variants and multiple transcription initiation sites of this gene have been reported. |
References |
|---|
| Eur Arch Otorhinolaryngol. 2009 Oct;266(10):1501-7. Cell Cycle. 2009 Jun 15;8(12):1952-63. |
Specification |
|
|---|---|
| Aliases | p33 |
| Entrez GeneID | 1017 |
| Swissprot | P24941 |
| clone | 1A6 |
| WB Predicted band size | 33.9kDa |
| Host/Isotype | Mouse IgG1 |
| Antibody Type | Primary antibody |
| Storage | Store at 4°C short term. Aliquot and store at -20°C long term. Avoid freeze/thaw cycles. |
| Species Reactivity | Human,Mouse |
| Immunogen | Purified recombinant fragment of human CDK2 expressed in E. Coli. |
| Formulation | Purified antibody in PBS with 0.05% sodium azide |
Application |
|
|---|---|
| WB | 1/500 - 1/2000 |
| IHC | 1/200 - 1/1000 |
| IF | 1/200 - 1/1000 |
| FCM | 1/200 - 1/400 |
| ELISA | 1/10000 |
Product Image
-
Black line: Control Antigen (100 ng); Purple line: Antigen(10ng); Blue line: Antigen (50 ng); Red line: Antigen (100 ng);

-
Western blot analysis using CDK2 mouse mAb against Jurkat (1), HL-60 (2), K562(3), A431(4), HeLa(5), and NIH3T3 (6) cell lysate.

-
Immunofluorescence analysis of HeLa cells using CDK2 mouse mAb (green). Red: Actin filaments have been labeled with Alexa Fluor-555 phalloidin.

-
Flow cytometric analysis of Jurkat cells using CDK2 mouse mAb (green) and negative control (red).

-
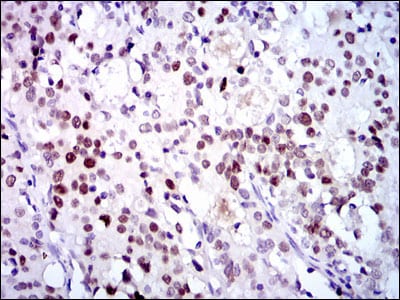
Immunohistochemical analysis of paraffin-embedded human cervical cancer tissues using CDK2 mouse mAb with DAB staining.

-
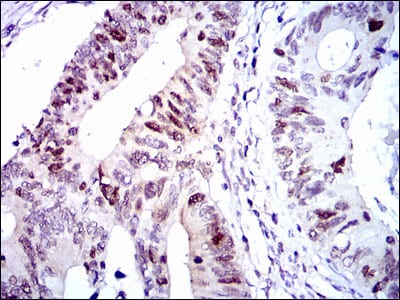
Immunohistochemical analysis of paraffin-embedded human colon cancer tissues using CDK2 mouse mAb with DAB staining.







鄂公网安备42018502007531号

