Mouse Monoclonal Antibody to ALPL
货号:
30337
别名:
HOPS; TNAP; APTNAP; TNSALP; AP-TNAP
应用:
WB,IHC,FCM
反应种属:
Human,Mouse,Rat,Rabbit
抗体类型:
Primary antibody
Swissprot:
P05186
规格:
目录价
在线咨询
Description |
|---|
There are at least four distinct but related alkaline phosphatases: intestinal, placental, placental-like, and liver/bone/kidney (tissue non-specific). The first three are located together on chromosome 2, while the tissue non-specific form is located on chromosome 1. The product of this gene is a membrane bound glycosylated enzyme that is not expressed in any particular tissue and is, therefore, referred to as the tissue-nonspecific form of the enzyme. The exact physiological function of the alkaline phosphatases is not known. A proposed function of this form of the enzyme is matrix mineralization; however, mice that lack a functional form of this enzyme show normal skeletal development. This enzyme has been linked directly to hypophosphatasia, a disorder that is characterized by hypercalcemia and includes skeletal defects. The character of this disorder can vary, however, depending on the specific mutation since this determines age of onset and severity of symptoms. Alternatively spliced transcript variants have been described. |
References |
|---|
| J Rheumatol. 2009 Dec;36(12):2758-65. Calcif Tissue Int. 2009 Sep;85(3):228-34. |
Specification |
|
|---|---|
| Aliases | HOPS; TNAP; APTNAP; TNSALP; AP-TNAP |
| Entrez GeneID | 249 |
| Swissprot | P05186 |
| clone | 2F4 |
| WB Predicted band size | 57.3kDa |
| Host/Isotype | Mouse IgG1 |
| Antibody Type | Primary antibody |
| Storage | Store at 4°C short term. Aliquot and store at -20°C long term. Avoid freeze/thaw cycles. |
| Species Reactivity | Human,Mouse,Rat,Rabbit |
| Immunogen | Purified recombinant fragment of human ALPL expressed in E. Coli. |
| Formulation | Purified antibody in PBS with 0.05% sodium azide |
Application |
|
|---|---|
| WB | 1/500 - 1/2000 |
| IHC | 1/200 - 1/1000 |
| FCM | 1/200 - 1/400 |
| ELISA | 1/10000 |
Product Image
-
Black line: Control Antigen (100 ng); Purple line: Antigen(10ng); Blue line: Antigen (50 ng); Red line: Antigen (100 ng);

-
Western blot analysis using ALPL mouse mAb against HeLa (1), and NTERA-2 (4) cell lysate.

-
Flow cytometric analysis of MCF-7 cells using ALPL mouse mAb (green) and negative control (red).

-
Immunohistochemical analysis of paraffin-embedded human ovarian cancer tissues using ALPL mouse mAb with DAB staining.

-
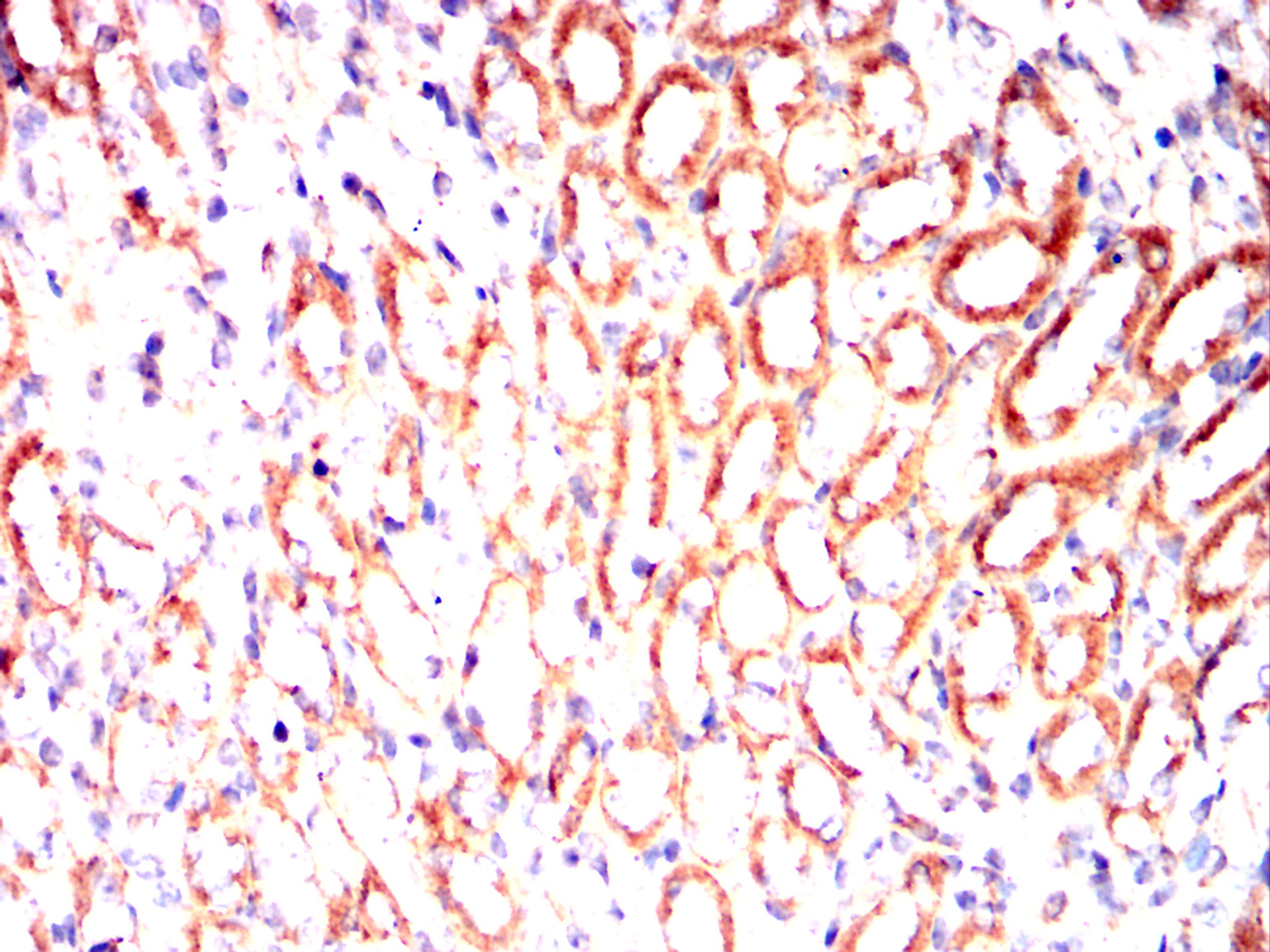
Immunohistochemical analysis of paraffin-embedded Mouse kidney using ALPL mouse mAb with DAB staining.

-
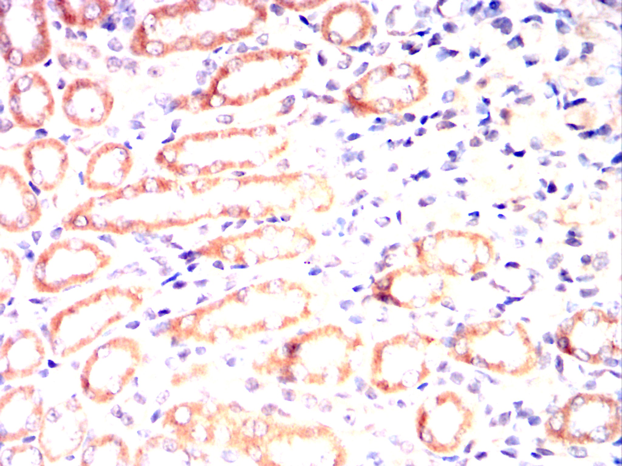
Immunohistochemical analysis of paraffin-embedded Rat kidney using ALPL mouse mAb with DAB staining.

-
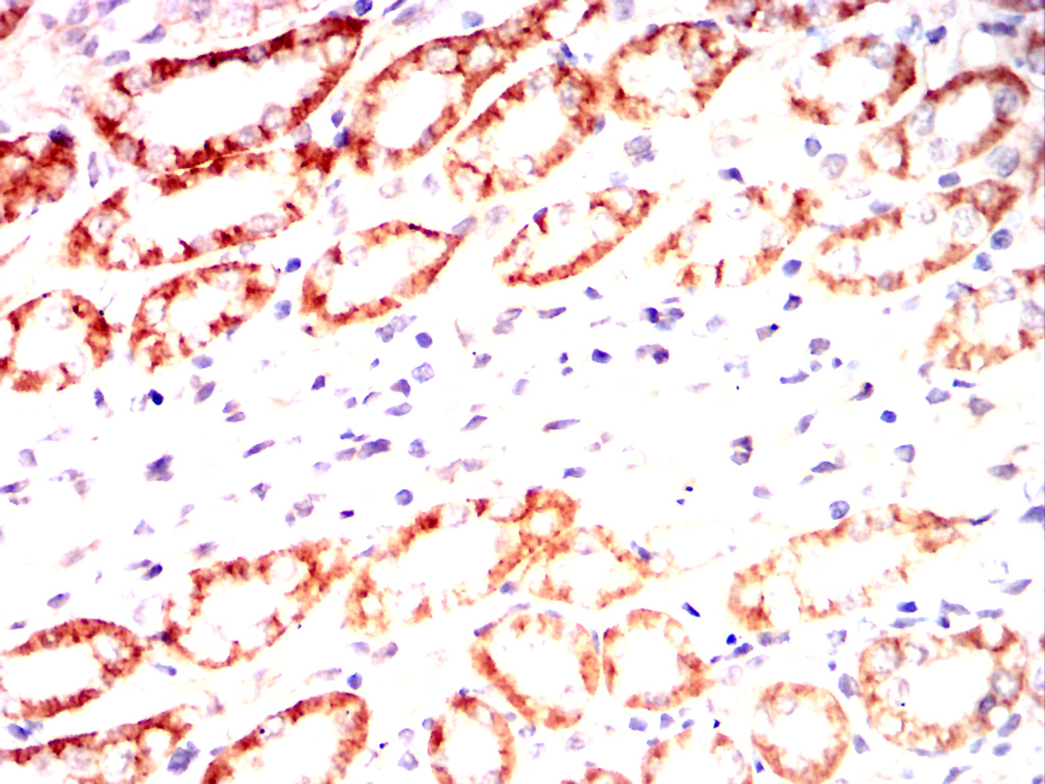
Immunohistochemical analysis of paraffin-embedded Rabbit kidney using ALPL mouse mAb with DAB staining.








鄂公网安备42018502007531号

