Mouse Monoclonal Antibody to FOXO1
货号:
30327
别名:
FKH1; FKHR; FOXO1A
应用:
WB,IHC,IF,FCM
反应种属:
Human,Mouse,Rat,Rabbit,Monkey
抗体类型:
Primary antibody
Swissprot:
Q12778
规格:
目录价
在线咨询
Description |
|---|
This gene belongs to the forkhead family of transcription factors which are characterized by a distinct forkhead domain. The specific function of this gene has not yet been determined; however, it may play a role in myogenic growth and differentiation. Translocation of this gene with PAX3 has been associated with alveolar rhabdomyosarcoma. |
References |
|---|
| Int J Oncol. 2009 Nov;35(5):1045-51 Cancer Res. 2009 Jul 1;69(13):5433-40. |
Specification |
|
|---|---|
| Aliases | FKH1; FKHR; FOXO1A |
| Entrez GeneID | 2308 |
| Swissprot | Q12778 |
| clone | 3B6 |
| WB Predicted band size | 69.7kDa |
| Host/Isotype | Mouse IgG1 |
| Antibody Type | Primary antibody |
| Storage | Store at 4°C short term. Aliquot and store at -20°C long term. Avoid freeze/thaw cycles. |
| Species Reactivity | Human,Mouse,Rat,Rabbit,Monkey |
| Immunogen | Purified recombinant fragment of human FOXO1 expressed in E. Coli. |
| Formulation | Purified antibody in PBS with 0.05% sodium azide |
Application |
|
|---|---|
| WB | 1/500 - 1/2000 |
| IHC | 1/200 - 1/1000 |
| IF | 1/200 - 1/1000 |
| FCM | 1/200 - 1/400 |
| ELISA | 1/10000 |
Product Image
-
Black line: Control Antigen (100 ng); Purple line: Antigen(10ng); Blue line: Antigen (50 ng); Red line: Antigen (100 ng);

-
Western blot analysis using FOXO1 mouse mAb against Hela (1), HEK293 (2), MCF-7(3), and C6 (4) cell lysate.

-
Immunofluorescence analysis of Hela cells using FOXO1 mouse mAb (green). Blue: DRAQ5 fluorescent DNA dye.

-
Flow cytometric analysis of C6 cells using FOXO1 mouse mAb (green) and negative control (red).

-
Flow cytometric analysis of NIH/3T3 cells using FOXO1 mouse mAb (green) and negative control (red).

-
Flow cytometric analysis of COS7 cells using FOXO1 mouse mAb (green) and negative control (red).

-
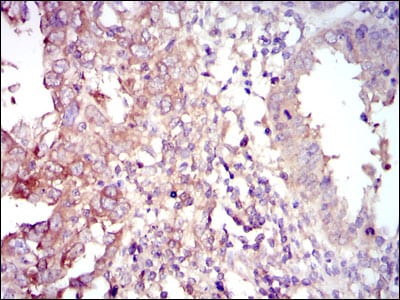
Immunohistochemical analysis of paraffin-embedded human intima cancer tissues using FOXO1 mouse mAb with DAB staining.

-
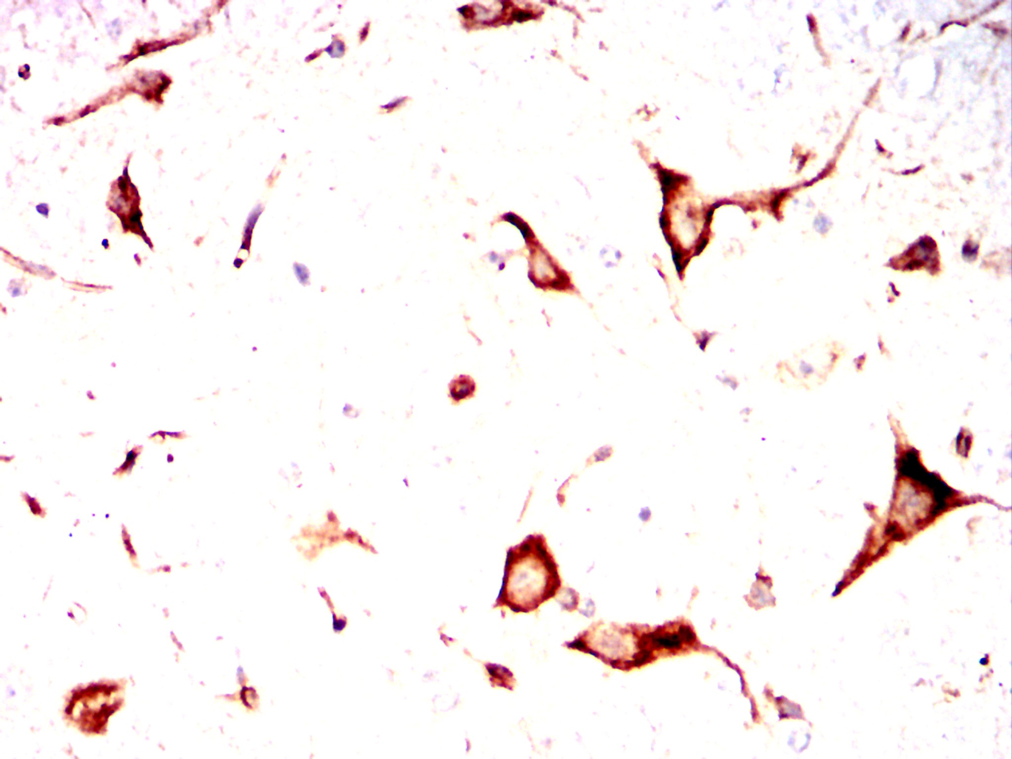
Immunohistochemical analysis of paraffin-embedded Mouse cerebellum using FOXO1 mouse mAb with DAB staining.

-
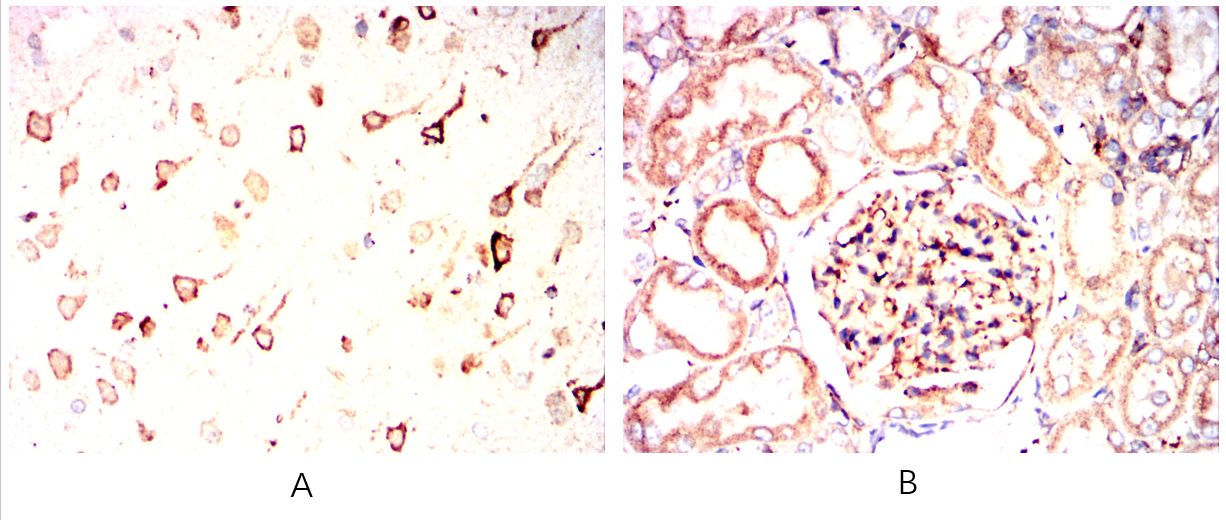
Immunohistochemical analysis of paraffin-embedded Rat brain(A)Rat kidney(B) using FOXO1 mouse mAb with DAB staining.

-
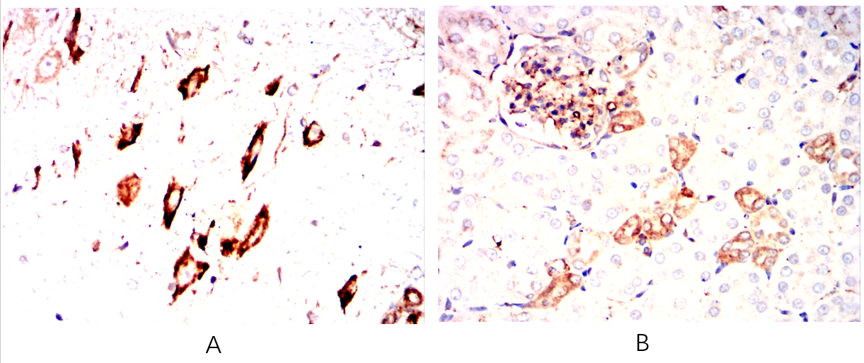
Immunohistochemical analysis of paraffin-embedded Rabbit spinal cord(A)Rabbit kidney(B) using FOXO1 mouse mAb with DAB staining.











鄂公网安备42018502007531号

