Mouse Monoclonal Antibody to NEDD8
货号:
30315
别名:
NEDD-8
应用:
WB,IHC,IF,FCM
反应种属:
Human
抗体类型:
Primary antibody
Swissprot:
Q15843
规格:
目录价
在线咨询
Description |
|---|
Ubiquitin-like protein which plays an important role in cell cycle control and embryogenesis. Covalent attachment to its substrates requires prior activation by the E1 complex UBE1C-APPBP1 and linkage to the E2 enzyme UBE2M. Attachment of NEDD8 to cullins activates their associated E3 ubiquitin ligase activity, and thus promotes polyubiquitination and proteasomal degradation of cyclins and other regulatory proteins.Tissue specificity: Highly expressed in heart, skeletal muscle, spleen, thymus, prostate, testis, ovary, colon and leukocytes. |
References |
|---|
| 1. Cell. 2009 Jul 23;138(2):389-403. 2. Biochem Biophys Res Commun. 2009 Apr 10;381(3):443-7. |
Specification |
|
|---|---|
| Aliases | NEDD-8 |
| Entrez GeneID | 4738 |
| Swissprot | Q15843 |
| clone | 5B8 |
| WB Predicted band size | 9kDa |
| Host/Isotype | Mouse IgG1 |
| Antibody Type | Primary antibody |
| Storage | Store at 4°C short term. Aliquot and store at -20°C long term. Avoid freeze/thaw cycles. |
| Species Reactivity | Human |
| Immunogen | Purified recombinant fragment of human NEDD8 expressed in E. Coli. |
| Formulation | Purified antibody in PBS with 0.05% sodium azide |
Application |
|
|---|---|
| WB | 1/500 - 1/2000 |
| IHC | 1/200 - 1/1000 |
| IF | 1/200 - 1/1000 |
| FCM | 1/200 - 1/400 |
| ELISA | 1/10000 |
Product Image
-
Black line: Control Antigen (100 ng); Purple line: Antigen(10ng); Blue line: Antigen (50 ng); Red line: Antigen (100 ng);

-
Western blot analysis using NEDD8 mouse mAb against C6 (1) and Hela (2) cell lysate.

-
Immunofluorescence analysis of Hela cells using NEDD8 mouse mAb (green). Red: Actin filaments have been labeled with Alexa Fluor-555 phalloidin.

-
Flow cytometric analysis of Hela cells using NEDD8 mouse mAb (green) and negative control (red).

-
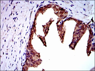
Immunohistochemical analysis of paraffin-embedded human prostate cancer tissues using NEDD8 mouse mAb with DAB staining.






鄂公网安备42018502007531号

