Mouse Monoclonal Antibody to SERPINE1
货号:
30306
别名:
PAI; PAI1; PAI-1; PLANH1
应用:
IHC,FCM
反应种属:
Human,Mouse,Rat,Rabbit
抗体类型:
Primary antibody
Swissprot:
P05121
规格:
目录价
在线咨询
Description |
|---|
This gene encodes a member of the serine proteinase inhibitor (serpin) superfamily. This member is the principal inhibitor of tissue plasminogen activator (tPA) and urokinase (uPA), and hence is an inhibitor of fibrinolysis. Defects in this gene are the cause of plasminogen activator inhibitor-1 deficiency (PAI-1 deficiency), and high concentrations of the gene product are associated with thrombophilia. Alternatively spliced transcript variants encoding different isoforms have been found for this gene. |
References |
|---|
| 1. Biol Pharm Bull. 2009 Apr;32(4):573-7. 2. Clin Chim Acta. 2009 Apr;402(1-2):189-92. |
Specification |
|
|---|---|
| Aliases | PAI; PAI1; PAI-1; PLANH1 |
| Entrez GeneID | 5054 |
| Swissprot | P05121 |
| clone | 1D5 |
| WB Predicted band size | 45kDa |
| Host/Isotype | Mouse IgG1 |
| Antibody Type | Primary antibody |
| Storage | Store at 4°C short term. Aliquot and store at -20°C long term. Avoid freeze/thaw cycles. |
| Species Reactivity | Human,Mouse,Rat,Rabbit |
| Immunogen | Purified recombinant fragment of human SERPINE1 expressed in E. Coli. |
| Formulation | Purified antibody in PBS with 0.05% sodium azide |
Application |
|
|---|---|
| IHC | 1/200 - 1/1000 |
| FCM | 1/200 - 1/400 |
| ELISA | 1/10000 |
Product Image
-
Black line: Control Antigen (100 ng); Purple line: Antigen(10ng); Blue line: Antigen (50 ng); Red line: Antigen (100 ng);

-
Flow cytometric analysis of NIH/3T3 cells using SERPINE1 mouse mAb (green) and negative control (red).

-
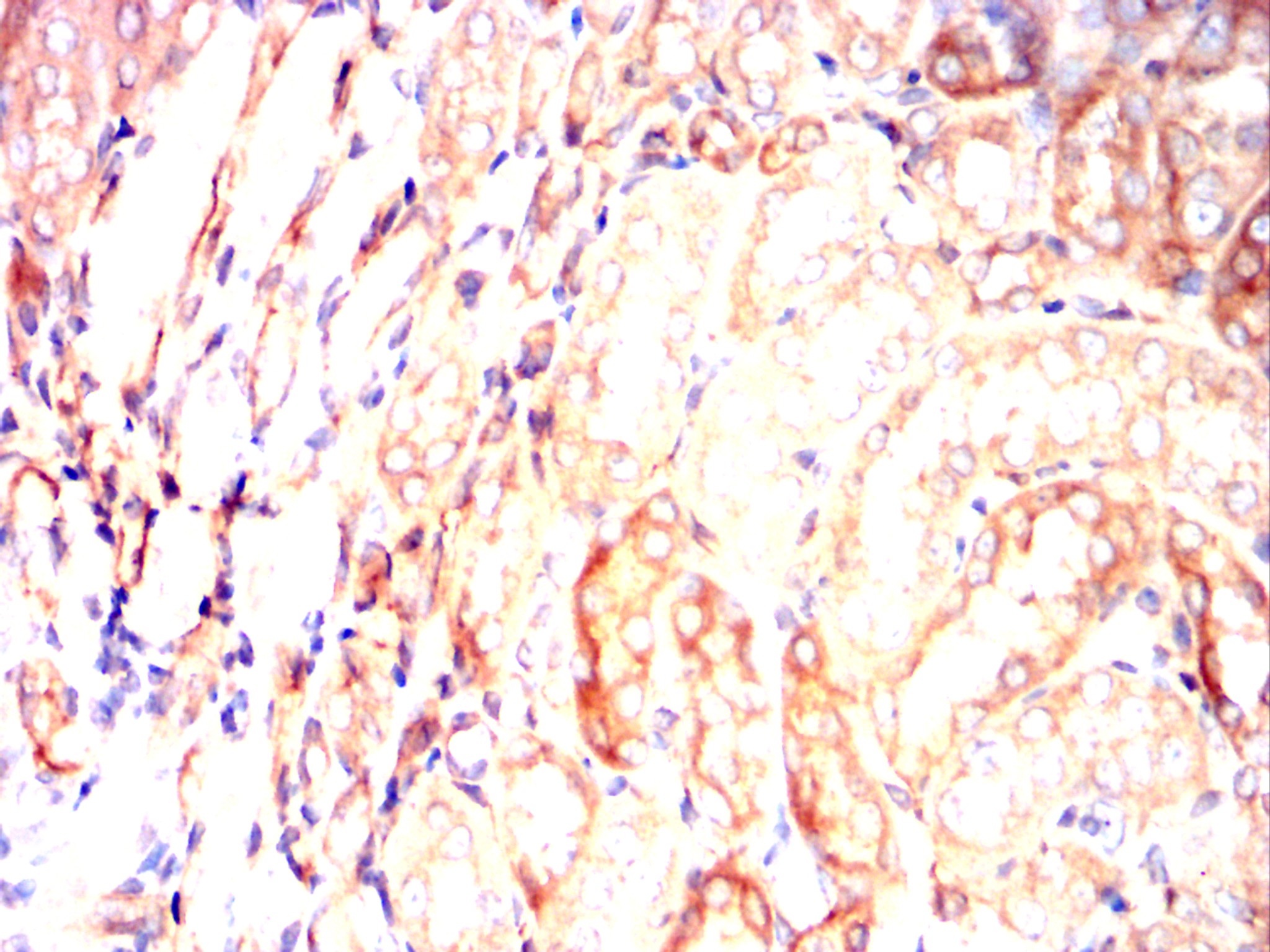
Immunohistochemical analysis of paraffin-embedded human lung cancer tissues using SERPINE1 mouse mAb with DAB staining.

-
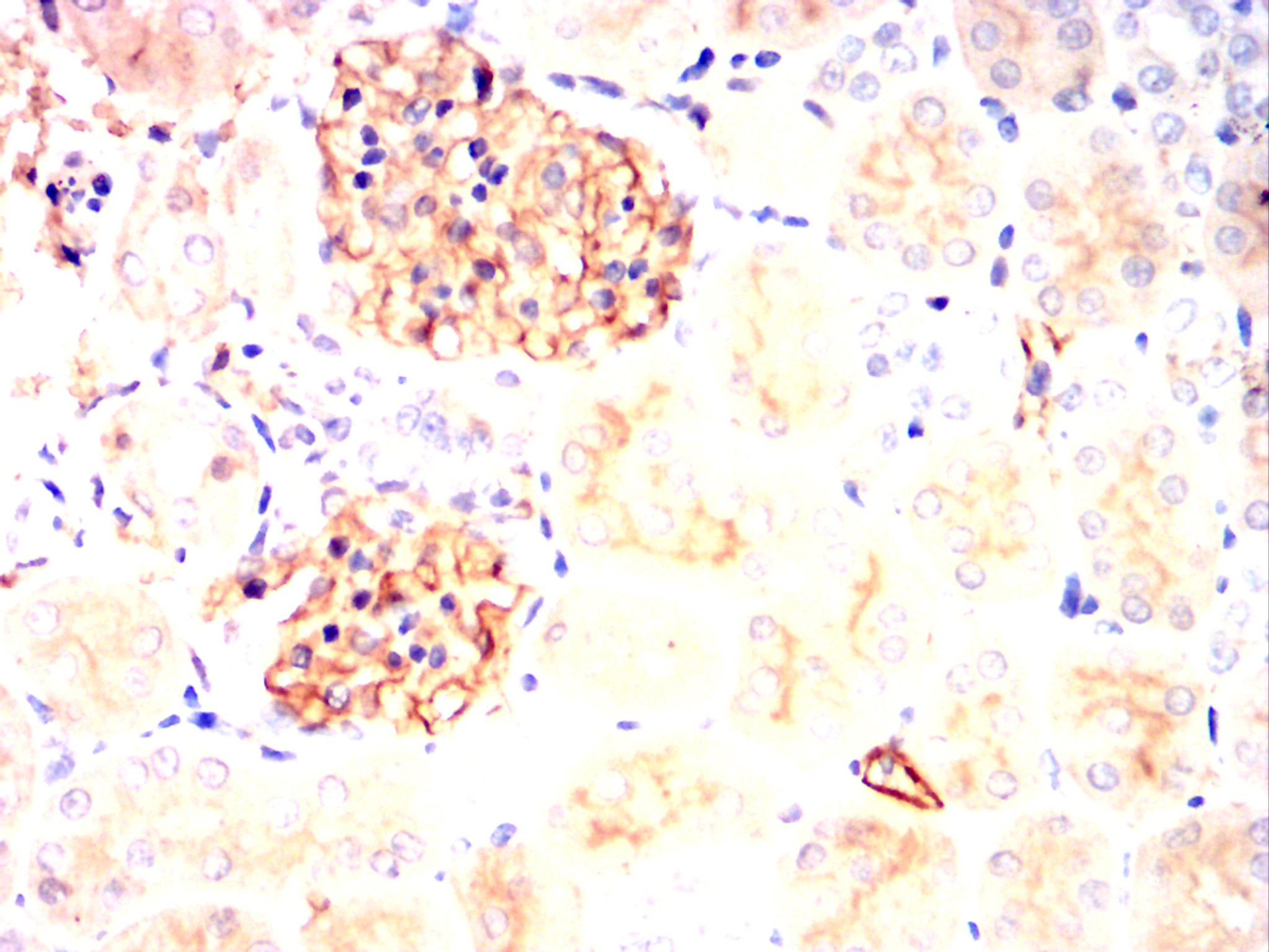
Immunohistochemical analysis of paraffin-embedded human kidney cancer tissues using SERPINE1 mouse mAb with DAB staining.

-
Immunohistochemical analysis of paraffin-embedded Rat kidney using SERPINE1 mouse mAb with DAB staining.

-
Immunohistochemical analysis of paraffin-embedded Rabbit kidney using SERPINE1 mouse mAb with DAB staining.







鄂公网安备42018502007531号

