Mouse Monoclonal Antibody to YAP1
货号:
30323
别名:
YAP; YKI; YAP2; YAP65
应用:
WB,IHC,FCM
反应种属:
Human,Mouse,Rat,Monkey,Rabbit
抗体类型:
Primary antibody
Swissprot:
P46937
规格:
目录价
在线咨询
Description |
|---|
This gene encodes the human ortholog of chicken YAP protein which binds to the SH3 domain of the Yes proto-oncogene product. This protein contains a WW domain that is found in various structural, regulatory and signaling molecules in yeast, nematode, and mammals, and may be involved in protein-protein interaction. |
References |
|---|
| 1. Genes Dev. 2009 Dec 1;23(23):2729-41. 2. Nat Cell Biol. 2009 Dec;11(12):1444-50. |
Specification |
|
|---|---|
| Aliases | YAP; YKI; YAP2; YAP65 |
| Entrez GeneID | 10413 |
| Swissprot | P46937 |
| clone | 1A12 |
| Host/Isotype | Mouse IgG1 |
| Antibody Type | Primary antibody |
| Storage | Store at 4°C short term. Aliquot and store at -20°C long term. Avoid freeze/thaw cycles. |
| Species Reactivity | Human,Mouse,Rat,Monkey,Rabbit |
| Immunogen | Purified recombinant fragment of human YAP1 expressed in E. Coli. |
| Formulation | Purified antibody in PBS with 0.05% sodium azide |
Application |
|
|---|---|
| WB | 1/500 - 1/2000 |
| IHC | 1/100 - 1/500 |
| FCM | 1/200 - 1/400 |
| ELISA | 1/10000 |
Product Image
-
Black line: Control Antigen (100 ng); Purple line: Antigen(10ng); Blue line: Antigen (50 ng); Red line: Antigen (100 ng);

-
Western blot analysis using YAP1 mouse mAb against Hela (1), C6 (2) and Cos7 (3) cell lysate.

-
Western blot analysis using YAP1 mouse mAb against mouse liver(1)PC-12 (2) NIH/3T3(3)NRK (4) C2C12(5)C6(6)F9(7) COS-7(8)MCF-7(9) cell lysate.

-
Flow cytometric analysis of Hela cells using YAP1 mouse mAb (green) and negative control (red).

-
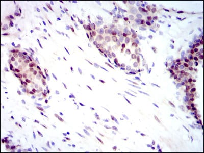
Immunohistochemical analysis of paraffin-embedded human prostate cancer tissues using YAP1 mouse mAb with DAB staining.

-
Immunohistochemical analysis of paraffin-embedded human rectum cancer tissues using YAP1 mouse mAb with DAB staining.

-
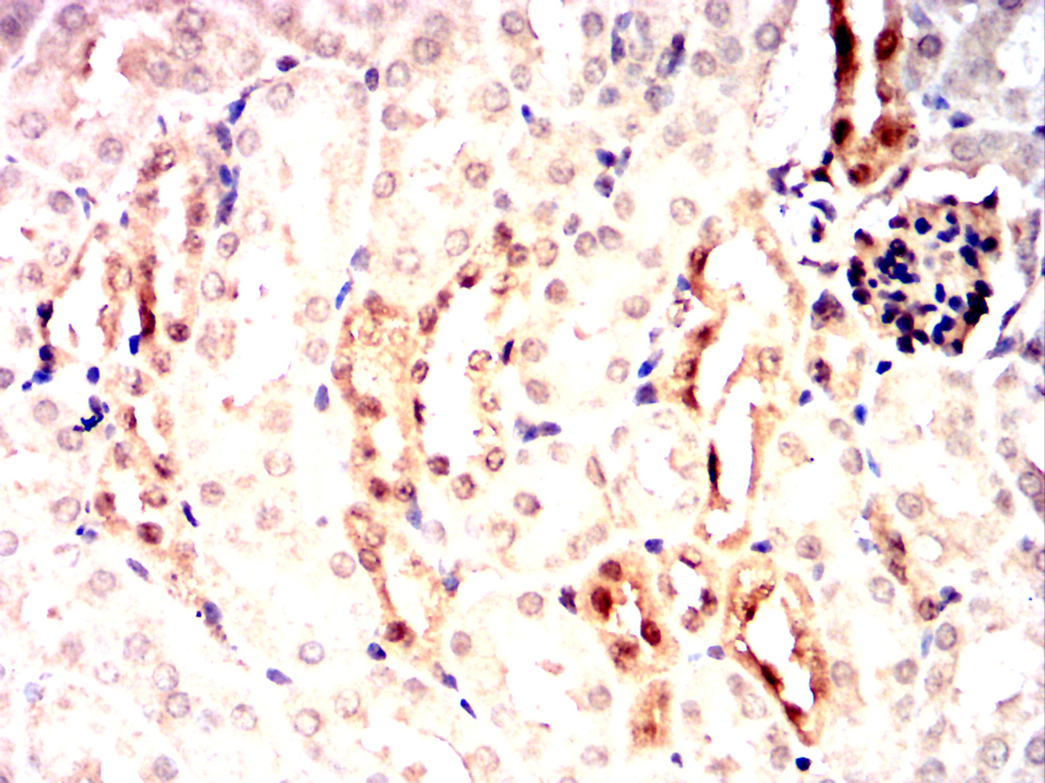
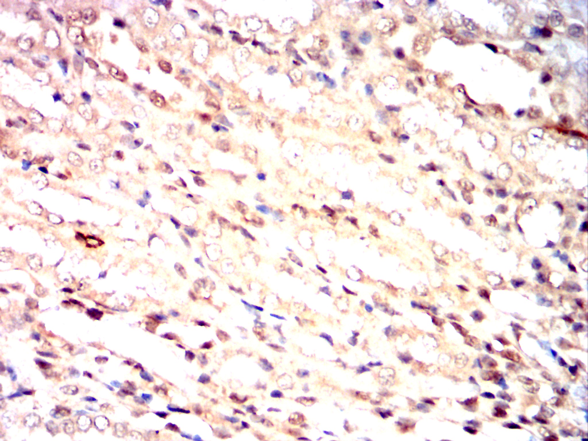
Immunohistochemical analysis of paraffin-embedded Mouse kidney,Rat kidney,Rabbit kidney using YAP1 mouse mAb with DAB staining.

-
Immunohistochemical analysis of paraffin-embedded Rat kidney using YAP1 mouse mAb with DAB staining.

-
Immunohistochemical analysis of paraffin-embedded Rabbit kidney using YAP1 mouse mAb with DAB staining.










鄂公网安备42018502007531号

