Mouse Monoclonal Antibody to GSTM1
货号:
30296
别名:
MU; H-B; GST1; GTH4; GTM1; MU-1; GSTM1-1; MGC26563; GSTM1a-1a; GSTM1b-1b
应用:
WB,IHC,FCM
反应种属:
Human,Rat
抗体类型:
Primary antibody
Swissprot:
P09488
规格:
目录价
在线咨询
Description |
|---|
Cytosolic and membrane-bound forms of glutathione S-transferase are encoded by two distinct supergene families. At present, eight distinct classes of the soluble cytoplasmic mammalian glutathione S-transferases have been identified: alpha, kappa, mu, omega, pi, sigma, theta and zeta. This gene encodes a glutathione S-transferase that belongs to the mu class. The mu class of enzymes functions in the detoxification of electrophilic compounds, including carcinogens, therapeutic drugs, environmental toxins and products of oxidative stress, by conjugation with glutathione. The genes encoding the mu class of enzymes are organized in a gene cluster on chromosome 1p13.3 and are known to be highly polymorphic. These genetic variations can change an individual's susceptibility to carcinogens and toxins as well as affect the toxicity and efficacy of certain drugs. Null mutations of this class mu gene have been linked with an increase in a number of cancers, likely due to an increased susceptibility to environmental toxins and carcinogens. Multiple protein isoforms are encoded by transcript variants of this gene. |
References |
|---|
| 1. J Exp Clin Cancer Res. 2009 Apr 1;28:46. 2. Cancer Prev Res (Phila). 2009 Apr;2(4):345-52. |
Specification |
|
|---|---|
| Aliases | MU; H-B; GST1; GTH4; GTM1; MU-1; GSTM1-1; MGC26563; GSTM1a-1a; GSTM1b-1b |
| Entrez GeneID | 2944 |
| Swissprot | P09488 |
| clone | 1H4F2 |
| WB Predicted band size | 26kDa |
| Host/Isotype | Mouse IgG1 |
| Antibody Type | Primary antibody |
| Storage | Store at 4°C short term. Aliquot and store at -20°C long term. Avoid freeze/thaw cycles. |
| Species Reactivity | Human,Rat |
| Immunogen | Purified recombinant fragment of human GSTM1 expressed in E. Coli. |
| Formulation | Ascitic fluid containing 0.03% sodium azide. |
Application |
|
|---|---|
| WB | 1/500 - 1/2000 |
| IHC | 1/200 - 1/1000 |
| FCM | 1/200 - 1/400 |
| ELISA | 1/10000 |
Product Image
-
Black line: Control Antigen (100 ng); Purple line: Antigen(10ng); Blue line: Antigen (50 ng); Red line: Antigen (100 ng);

-
Western blot analysis using GSTM1 mouse mAb against MCF-7 (1), PC-12 (2), Jurkat (3), Hela (4), HL7702 (5) and HepG2 (6) cell lysate.

-
Flow cytometric analysis of Hela cells using GSTM1 mouse mAb (green) and negative control (red).

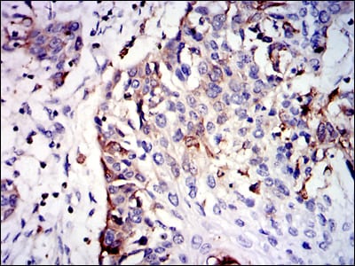
-
Immunohistochemical analysis of paraffin-embedded human stomach cancer tissues using GSTM1 mouse mAb with DAB staining.

-
Immunohistochemical analysis of paraffin-embedded human esophageal cancer tissues using GSTM1 mouse mAb with DAB staining.






鄂公网安备42018502007531号

